ARG45639
anti-GLUT5 antibody
anti-GLUT5 antibody for Flow cytometry,ICC/IF,IHC-Formalin-fixed paraffin-embedded sections,IHC-Frozen sections,Western blot and Human,Rat
概述
| 产品描述 | Rabbit Polyclonal antibody recognizes GLUT5 |
|---|---|
| 反应物种 | Hu, Rat |
| 应用 | FACS, ICC/IF, IHC-Fr, IHC-P, WB |
| 宿主 | Rabbit |
| 克隆 | Polyclonal |
| 同位型 | IgG |
| 靶点名称 | GLUT5 |
| 抗原物种 | Human |
| 抗原 | Synthetic peptide corresponding to middle region of human GLUT5. |
| 偶联标记 | Un-conjugated |
| 別名 | SLC2A5; solute carrier family 2 (facilitated glucose/fructose transporter), member 5; GLUT5; Glucose transporter type 5, small intestine; Solute carrier family 2, facilitated glucose transporter member 5; GLUT-5; Fructose transporter |
应用说明
| 应用建议 |
|
||||||||||||
|---|---|---|---|---|---|---|---|---|---|---|---|---|---|
| 应用说明 | * The dilutions indicate recommended starting dilutions and the optimal dilutions or concentrations should be determined by the scientist. | ||||||||||||
| 实际分子量 | 55 kDa |
属性
| 形式 | Liquid |
|---|---|
| 纯化 | Affinity purified |
| 缓冲液 | 0.9% NaCl, 0.2% Na2HPO4, 0.05% Sodium azide and 5% BSA. |
| 抗菌剂 | 0.05% Sodium azide |
| 稳定剂 | 5% BSA |
| 浓度 | 0.5 mg/ml |
| 存放说明 | For continuous use, store undiluted antibody at 2-8°C for up to a week. For long-term storage, aliquot and store at -20°C or below. Storage in frost free freezers is not recommended. Avoid repeated freeze/thaw cycles. Suggest spin the vial prior to opening. The antibody solution should be gently mixed before use. |
| 注意事项 | For laboratory research only, not for drug, diagnostic or other use. |
生物信息
| 数据库连接 |
Swiss-port # P22732 Human Solute carrier family 2, facilitated glucose transporter member 5 Swiss-port # P43427 Rat Solute carrier family 2, facilitated glucose transporter member 5 |
|---|---|
| 基因名称 | SLC2A5 |
| 全名 | solute carrier family 2 (facilitated glucose/fructose transporter), member 5 |
| 背景介绍 | The protein encoded by this gene is a fructose transporter responsible for fructose uptake by the small intestine. The encoded protein also is necessary for the increase in blood pressure due to high dietary fructose consumption. [provided by RefSeq, Jun 2016] |
| 生物功能 | Cytochalasin B-sensitive carrier. Seems to function primarily as a fructose transporter. [UniProt] |
| 细胞定位 | Cell membrane. [UniProt] |
| 预测分子量 | 55 kDa |
| 翻译后修饰 | Acetylation; Glycoprotein. [UniProt] |
检测图片 (6) Click the Picture to Zoom In
-
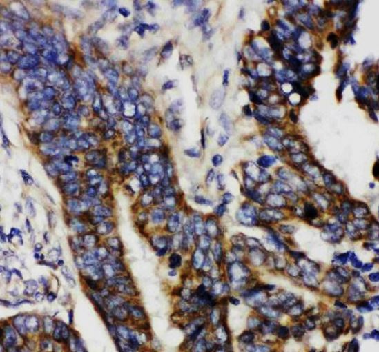
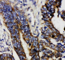
ARG45639 anti-GLUT5 antibody IHC-P image
Immunohistochemistry: Human intestinal cancer stained with ARG45639 anti-GLUT5 antibody at 2 μg/ml dilution.
-
ARG45639 anti-GLUT5 antibody ICC/IF image
Immunofluorescence: U2OS stained with ARG45639 anti-GLUT5 antibody at 5 μg/ml dilution.
-
ARG45639 anti-GLUT5 antibody WB image
Western blot: K562 stained with ARG45639 anti-GLUT5 antibody at 0.5 μg/ml dilution.
-
ARG45639 anti-GLUT5 antibody FACS image
Flow Cytometry: THP-1 stained with ARG45639 anti-GLUT5 antibody at 1 µg/10^6 cells dilution.
-
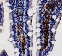
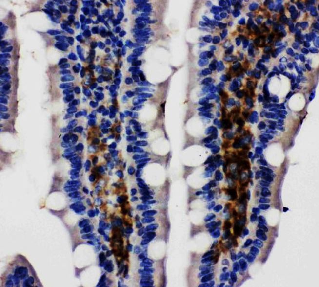
ARG45639 anti-GLUT5 antibody IHC-P image
Immunohistochemistry: Rat intestinal cancer stained with ARG45639 anti-GLUT5 antibody at 2 μg/ml dilution.
-
ARG45639 anti-GLUT5 antibody WB image
Western blot: Rat brain stained with ARG45639 anti-GLUT5 antibody at 0.5 μg/ml dilution.
