ARG41755
anti-GLUT1 antibody [GLUT1/2475]
anti-GLUT1 antibody [GLUT1/2475] for Flow cytometry,ICC/IF,IHC-Formalin-fixed paraffin-embedded sections,Western blot and Human
概述
| 产品描述 | Mouse Monoclonal antibody [GLUT1/2475] recognizes GLUT1 |
|---|---|
| 反应物种 | Hu |
| 应用 | FACS, ICC/IF, IHC-P, WB |
| 宿主 | Mouse |
| 克隆 | Monoclonal |
| 克隆号 | GLUT1/2475 |
| 同位型 | IgG2b, kappa |
| 靶点名称 | GLUT1 |
| 抗原物种 | Human |
| 抗原 | Synthetic peptide corresponding to aa. 203-305 of Human GLUT1. |
| 偶联标记 | Un-conjugated |
| 別名 | DYT17; HepG2 glucose transporter; CSE; GLUT-1; GLUT; GLUT1DS; DYT18; HTLVR; PED; Glucose transporter type 1, erythrocyte/brain; DYT9; EIG12; GLUT1; Solute carrier family 2, facilitated glucose transporter member 1 |
应用说明
| 应用建议 |
|
||||||||||
|---|---|---|---|---|---|---|---|---|---|---|---|
| 应用说明 | IHC-P: Antigen Retrieval: Boil tissue section in 10 mM Tris with 1 mM EDTA (pH 9.0) for 10-20 min, followed by cooling at RT for 20 min. * The dilutions indicate recommended starting dilutions and the optimal dilutions or concentrations should be determined by the scientist. |
属性
| 形式 | Liquid |
|---|---|
| 纯化 | Purification with Protein G. |
| 缓冲液 | PBS, 0.05% Sodium azide and 0.1 mg/ml BSA. |
| 抗菌剂 | 0.05% Sodium azide |
| 稳定剂 | 0.1 mg/ml BSA |
| 浓度 | 0.2 mg/ml |
| 存放说明 | For continuous use, store undiluted antibody at 2-8°C for up to a week. For long-term storage, aliquot and store at -20°C or below. Storage in frost free freezers is not recommended. Avoid repeated freeze/thaw cycles. Suggest spin the vial prior to opening. The antibody solution should be gently mixed before use. |
| 注意事项 | For laboratory research only, not for drug, diagnostic or other use. |
生物信息
| 数据库连接 |
Swiss-port # P11166 Human Solute carrier family 2, facilitated glucose transporter member 1 |
|---|---|
| 基因名称 | SLC2A1 |
| 全名 | solute carrier family 2 (facilitated glucose transporter), member 1 |
| 背景介绍 | This gene encodes a major glucose transporter in the mammalian blood-brain barrier. The encoded protein is found primarily in the cell membrane and on the cell surface, where it can also function as a receptor for human T-cell leukemia virus (HTLV) I and II. Mutations in this gene have been found in a family with paroxysmal exertion-induced dyskinesia. [provided by RefSeq, Apr 2013] |
| 生物功能 | Facilitative glucose transporter. This isoform may be responsible for constitutive or basal glucose uptake. Has a very broad substrate specificity; can transport a wide range of aldoses including both pentoses and hexoses. [UniProt] |
| 细胞定位 | Cell membrane; Multi-pass membrane protein. Melanosome. Note=Localizes primarily at the cell surface. Identified by mass spectrometry in melanosome fractions from stage I to stage IV. [UniProt] |
| 预测分子量 | 54 kDa |
检测图片 (5) Click the Picture to Zoom In
-
ARG41755 anti-GLUT1 antibody [GLUT1/2475] ICC/IF image
Immunofluorescence: K562 cells stained with ARG41755 anti-GLUT1 antibody [GLUT1/2475] (green). Reddot (red) for nuclear staining.
-
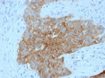
ARG41755 anti-GLUT1 antibody [GLUT1/2475] IHC-P image
Immunohistochemistry: Paraffin-embedded Human bladder carcinoma tissue. Antigen Retrieval: Boil tissue section in 10 mM Tris with 1 mM EDTA (pH 9.0) for 10-20 min, followed by cooling at RT for 20 min. The tissue section was stained with ARG41755 anti-GLUT1 antibody [GLUT1/2475].
-
ARG41755 anti-GLUT1 antibody [GLUT1/2475] WB image
Western blot: A431 cell lysate stained with ARG41755 anti-GLUT1 antibody [GLUT1/2475].
-
ARG41755 anti-GLUT1 antibody [GLUT1/2475] FACS image
Flow Cytometry: K562 cells stained with ARG41755 anti-GLUT1 antibody [GLUT1/2475] (blue) or isotype control antibody (red), followed by incubation with FITC labelled secondary antibody.
-
ARG41755 anti-GLUT1 antibody [GLUT1/2475] IHC-P image
Immunohistochemistry: Paraffin-embedded human tongue tissue. Antigen Retrieval: Boil tissue section in 10 mM Tris with 1 mM EDTA (pH 9.0) for 10-20 min, followed by cooling at RT for 20 min. The tissue section was stained with ARG41755 anti-GLUT1 antibody [GLUT1/2475].
