ARG90005
anti-GLP1 Receptor antibody
anti-GLP1 Receptor antibody for ICC/IF,IHC-Formalin-fixed paraffin-embedded sections,Western blot and Human
概述
| 产品描述 | Rabbit Polyclonal antibody recognizes GLP1 Receptor | 
|---|---|
| 反应物种 | Hu | 
| 应用 | ICC/IF, IHC-P, WB | 
| 特异性 | Recognizes endogenous levels of GLP1 Receptor protein. | 
| 宿主 | Rabbit | 
| 克隆 | Polyclonal | 
| 同位型 | IgG | 
| 靶点名称 | GLP1 Receptor | 
| 抗原物种 | Human | 
| 抗原 | KLH-conjugated synthetic peptide around the center region of Human GLP1 Receptor. | 
| 偶联标记 | Un-conjugated | 
| 別名 | GLP-1 receptor; GLP-1-R; Glucagon-like peptide 1 receptor; GLP-1R | 
应用说明
| 应用建议 | 
 | ||||||||
|---|---|---|---|---|---|---|---|---|---|
| 应用说明 | IHC-P: Antigen Retrieval: Sodium citrate buffer (pH 6.0) * The dilutions indicate recommended starting dilutions and the optimal dilutions or concentrations should be determined by the scientist. | 
属性
| 形式 | Liquid | 
|---|---|
| 纯化 | Affinity purification with immunogen. | 
| 缓冲液 | 0.42% Potassium phosphate (pH 7.3), 0.87% NaCl, 0.01% Sodium azide and 30% Glycerol | 
| 抗菌剂 | 0.01% Sodium azide | 
| 稳定剂 | 30% Glycerol | 
| 存放说明 | For continuous use, store undiluted antibody at 2-8°C for up to a week. For long-term storage, aliquot and store at -20°C. Storage in frost free freezers is not recommended. Avoid repeated freeze/thaw cycles. Suggest spin the vial prior to opening. The antibody solution should be gently mixed before use. | 
| 注意事项 | For laboratory research only, not for drug, diagnostic or other use. | 
生物信息
| 数据库连接 | |
|---|---|
| 基因名称 | GLP1R | 
| 全名 | glucagon-like peptide 1 receptor | 
| 生物功能 | This is a receptor for glucagon-like peptide 1. The activity of this receptor is mediated by G proteins which activate adenylyl cyclase. [UniProt] | 
| 产品亮点 | Related news: Studying obesity and appetite control by quantifying orexigenic and anorexigenic hormones; | 
| 预测分子量 | 53 kDa | 
| 翻译后修饰 | N-glycosylation enhances cell surface expression and lengthens receptor half-life by preventing degradation in the ER. | 
检测图片 (3) Click the Picture to Zoom In
- 
								
								ARG90005 anti-GLP1 Receptor antibody ICC/IF image Immunocytochemistry: SKNSH cells stained with ARG90005 anti-GLP1 Receptor antibody (red). Formalin-fixed cells were permeabilized with 0.1% Triton X-100 in TBS for 5-10 minutes and blocked with 3% BSA-PBS for 30 minutes at RT. Cells were stained with the primary antibody in 3% BSA-PBS and incubated overnight at 4°C in a hidified chamber. DAPI was used to stain the cell nuclei (blue). 
- 
								
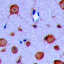
								ARG90005 anti-GLP1 Receptor antibody IHC-P image Immunohistochemistry: Formalin-fixed, paraffin embedded Human brain section stained with ARG90005 anti-GLP1 Receptor antibody. The section was pre-treated using heat mediated antigen retrieval with sodium citrate buffer (pH 6.0), then incubated with the antibody at RT and detected using an HRP conjugated compact polymer system. DAB was used as the chromogen. The section was then counterstained with haematoxylin and mounted with DPX. 
- 
								
								ARG90005 anti-GLP1 Receptor antibody WB image Western blot: SKNSH and HUVEC whole cell lysates stained with ARG90005 anti-GLP1 Receptor antibody. 
 
									 
									 
									 
									 
									 
									 
					 
					