ARG45702
anti-GLO2 antibody
anti-GLO2 antibody for Flow cytometry,IHC-Formalin-fixed paraffin-embedded sections,Western blot and Human,Mouse,Rat
概述
| 产品描述 | Rabbit Polyclonal antibody recognizes GLO2 |
|---|---|
| 反应物种 | Hu, Ms, Rat |
| 应用 | FACS, IHC-P, WB |
| 宿主 | Rabbit |
| 克隆 | Polyclonal |
| 同位型 | IgG |
| 靶点名称 | GLO2 |
| 抗原物种 | Human |
| 抗原 | Recombinant protein containing to human GLO2. |
| 偶联标记 | Un-conjugated |
| 別名 | HAGH; Hydroxyacylglutathione Hydrolase; HAGH1; GLO2; GLXII; Hydroxyacylglutathione Hydrolase, Mitochondrial; Glyoxalase II; EC 3.1.2.6 47; Hydroxyacylglutathione Hydroxylase; Hydroxyacyl Glutathione Hydrolase; Glx II; GLO2D; GLX2 |
应用说明
| 应用建议 |
|
||||||||
|---|---|---|---|---|---|---|---|---|---|
| 应用说明 | * The dilutions indicate recommended starting dilutions and the optimal dilutions or concentrations should be determined by the scientist. | ||||||||
| 实际分子量 | 29 kDa |
属性
| 形式 | Liquid |
|---|---|
| 纯化 | Affinity purified |
| 缓冲液 | 0.2% Na2HPO4, 0.9% NaCl and 4% Trehalose. |
| 稳定剂 | 4% Trehalose |
| 浓度 | 0.5 mg/ml |
| 存放说明 | For continuous use, store undiluted antibody at 2-8°C for up to a week. For long-term storage, aliquot and store at -20°C or below. Storage in frost free freezers is not recommended. Avoid repeated freeze/thaw cycles. Suggest spin the vial prior to opening. The antibody solution should be gently mixed before use. |
| 注意事项 | For laboratory research only, not for drug, diagnostic or other use. |
生物信息
| 数据库连接 | |
|---|---|
| 基因名称 | HAGH |
| 全名 | Hydroxyacylglutathione Hydrolase |
| 背景介绍 | The enzyme encoded by this gene is classified as a thiolesterase and is responsible for the hydrolysis of S-lactoyl-glutathione to reduced glutathione and D-lactate. Three transcript variants encoding different isoforms have been found for this gene. [provided by RefSeq, Oct 2013] |
| 生物功能 | Thiolesterase that catalyzes the hydrolysis of S-D-lactoyl-glutathione to form glutathione and D-lactic acid. [UniProt] |
| 细胞定位 | Cytoplasm; Mitochondrion. [UniProt] |
| 预测分子量 | 34 kDa |
| 翻译后修饰 | Acetylation. [UniProt] |
检测图片 (5) Click the Picture to Zoom In
-
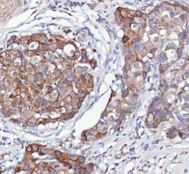
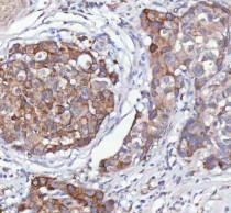
ARG45702 anti-GLO2 antibody IHC-P image
Immunohistochemistry: Human breast cancer stained with ARG45702 anti-GLO2 antibody at 2 μg/ml dilution.
-
ARG45702 anti-GLO2 antibody WB image
Western blot: MCF-7 stained with ARG45702 anti-GLO2 antibody at 0.5 μg/ml dilution.
-
ARG45702 anti-GLO2 antibody FACS image
Flow Cytometry: JK stained with ARG45702 anti-GLO2 antibody at 1 µg/10^6 cells dilution.
-
ARG45702 anti-GLO2 antibody WB image
Western blot: Rat brain stained with ARG45702 anti-GLO2 antibody at 0.5 μg/ml dilution.
-
ARG45702 anti-GLO2 antibody WB image
Western blot: Mouse liver stained with ARG45702 anti-GLO2 antibody at 0.5 μg/ml dilution.
