ARG41916
anti-GLMN antibody
anti-GLMN antibody for Flow cytometry,IHC-Formalin-fixed paraffin-embedded sections,Western blot and Human
概述
| 产品描述 | Rabbit Polyclonal antibody recognizes GLMN |
|---|---|
| 反应物种 | Hu |
| 应用 | FACS, IHC-P, WB |
| 宿主 | Rabbit |
| 克隆 | Polyclonal |
| 同位型 | IgG |
| 靶点名称 | GLMN |
| 抗原物种 | Human |
| 抗原 | KLH-conjugated synthetic peptide between aa. 498-525 of Human GLMN. |
| 偶联标记 | Un-conjugated |
| 別名 | VMGLOM; GVM; FAP; FKBP-associated protein; Glomulin; FAP48; FK506-binding protein-associated protein; FKBPAP; FAP68; GLML |
应用说明
| 应用建议 |
|
||||||||
|---|---|---|---|---|---|---|---|---|---|
| 应用说明 | * The dilutions indicate recommended starting dilutions and the optimal dilutions or concentrations should be determined by the scientist. | ||||||||
| 阳性对照 | MDA-MB-231 | ||||||||
| 实际分子量 | ~ 68 kDa |
属性
| 形式 | Liquid |
|---|---|
| 纯化 | Purification with Protein A and immunogen peptide. |
| 缓冲液 | PBS and 0.09% (W/V) Sodium azide. |
| 抗菌剂 | 0.09% (W/V) Sodium azide |
| 存放说明 | For continuous use, store undiluted antibody at 2-8°C for up to a week. For long-term storage, aliquot and store at -20°C or below. Storage in frost free freezers is not recommended. Avoid repeated freeze/thaw cycles. Suggest spin the vial prior to opening. The antibody solution should be gently mixed before use. |
| 注意事项 | For laboratory research only, not for drug, diagnostic or other use. |
生物信息
| 数据库连接 | |
|---|---|
| 基因名称 | GLMN |
| 全名 | glomulin, FKBP associated protein |
| 背景介绍 | This gene encodes a phosphorylated protein that is a member of a Skp1-Cullin-F-box-like complex. The protein is essential for normal development of the vasculature and mutations in this gene have been associated with glomuvenous malformations, also called glomangiomas. Alternatively spliced variants that encode different protein isoforms have been described but the full-length nature of only one has been determined. [provided by RefSeq, Jul 2008] |
| 生物功能 | Essential for normal development of the vasculature. May represent a naturally occurring ligand of the immunophilins FKBP59 and FKBP12. May function as an membrane anchoring protein. Isoform 1 may stimulate the p70S6K pathway. Isoform 2 may inhibit cell proliferation and increase IL2 production. [UniProt] |
| 预测分子量 | 68 kDa |
| 翻译后修饰 | Phosphorylated on tyrosine residues. [UniProt] |
检测图片 (3) Click the Picture to Zoom In
-
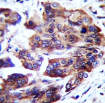
ARG41916 anti-GLMN antibody IHC-P image
Immunohistochemistry: Formalin-fixed and paraffin-embedded Human bladder carcinoma tissue stained with ARG41916 anti-GLMN antibody.
-
ARG41916 anti-GLMN antibody WB image
Western blot: 35 µg of MDA-MB-231 cell lysate stained with ARG41916 anti-GLMN antibody.
-
ARG41916 anti-GLMN antibody FACS image
Flow Cytometry: K562 cells stained with ARG41916 anti-GLMN antibody (right histogram) or without primary antibody as control (left histogram), followed by incubation with FITC labelled secondary antibody.
