ARG44083
anti-GLI2 antibody
anti-GLI2 antibody for Flow cytometry,ICC/IF,IHC-Formalin-fixed paraffin-embedded sections,Western blot and Human,Rat
概述
| 产品描述 | Rabbit Polyclonal recognizes GLI2 |
|---|---|
| 反应物种 | Hu, Rat |
| 应用 | FACS, ICC/IF, IHC-P, WB |
| 宿主 | Rabbit |
| 克隆 | Polyclonal |
| 同位型 | IgG |
| 靶点名称 | GLI2 |
| 抗原物种 | Human |
| 抗原 | Human GLI2 recombinant protein (Position: A46-A1398). |
| 偶联标记 | Un-conjugated |
| 別名 | Tax helper protein; PHS2; HPE9; Zinc finger protein GLI2; THP1; THP2; GLI family zinc finger protein 2; CJS |
应用说明
| 应用建议 |
|
||||||||||
|---|---|---|---|---|---|---|---|---|---|---|---|
| 应用说明 | The dilutions indicate recommended starting dilutions and the optimal dilutions or concentrations should be determined by the scientist. |
属性
| 形式 | Liquid |
|---|---|
| 纯化 | Affinity purification with immunogen. |
| 缓冲液 | 0.9% NaCl, 0.2% Na2HPO4, 0.05% Sodium azide and 4% Trehalose. |
| 抗菌剂 | 0.05% Sodium azide |
| 稳定剂 | 4% Trehalose |
| 浓度 | 0.5 mg/ml |
| 存放说明 | For continuous use, store undiluted antibody at 2-8°C for up to a week. For long-term storage, aliquot and store at -20°C or below. Storage in frost free freezers is not recommended. Avoid repeated freeze/thaw cycles. Suggest spin the vial prior to opening. The antibody solution should be gently mixed before use. |
| 注意事项 | For laboratory research only, not for drug, diagnostic or other use. |
生物信息
| 数据库连接 | |
|---|---|
| 基因名称 | GLI2 |
| 全名 | GLI family zinc finger 2 |
| 背景介绍 | This gene encodes a protein which belongs to the C2H2-type zinc finger protein subclass of the Gli family. Members of this subclass are characterized as transcription factors which bind DNA through zinc finger motifs. These motifs contain conserved H-C links. Gli family zinc finger proteins are mediators of Sonic hedgehog (Shh) signaling and they are implicated as potent oncogenes in the embryonal carcinoma cell. The protein encoded by this gene localizes to the cytoplasm and activates patched Drosophila homolog (PTCH) gene expression. It is also thought to play a role during embryogenesis. The encoded protein is associated with several phenotypes- Greig cephalopolysyndactyly syndrome, Pallister-Hall syndrome, preaxial polydactyly type IV, postaxial polydactyly types A1 and B. [provided by RefSeq, Jul 2008] |
| 生物功能 | Functions as transcription regulator in the hedgehog (Hh) pathway. Functions as transcriptional activator. May also function as transcriptional repressor (By similarity). Requires STK36 for full transcriptional activator activity. Required for normal embryonic development. Isoform 1, isoform 2, isoform 3 and isoform 4: Act as transcriptional activators in T-cell leukemia virus type 1 (HTLV-1)-infected cells in a Tax-dependent manner. Bind to the DNA sequence 5'-GAACCACCCA-3' which is part of the Tax-responsive element (TRE-2S) regulatory element that augments the Tax-dependent enhancer of HTLV-1. Are involved in the smoothened (SHH) signaling pathway. Isoform 5: Acts as a transcriptional repressor. [UniProt] |
| 细胞定位 | Nucleus. Cytoplasm. Note=In keratinocytes, it is sequestered in the cytoplasm by SUFU. In the absence of SUFU, it translocates to the nucleus. Isoform 2: Nucleus |
| 预测分子量 | 168 kDa |
| 翻译后修饰 | Phosphorylated in vitro by ULK3. Phosphorylated by DYRK2; this inhibits GLI2 transcription factor activity and promotes proteasomal degradation of GLI2. Acetylation at Lys-757 inhibits Hh target gene expression, probably by impeding entry into chromatin thus preventing promoter occupancy. |
检测图片 (6) Click the Picture to Zoom In
-
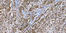
ARG44083 anti-GLI2 antibody IHC-P image
Immunohistochemistry: Human esophageal squamous carcinoma stained with ARG44083 anti-GLI2 antibody at 2 μg/ml dilution.
-
ARG44083 anti-GLI2 antibody ICC/IF image
Immunofluorescence: U2OS stained with ARG44083 anti-GLI2 antibody at 5 μg/ml dilution.
-
ARG44083 anti-GLI2 antibody WB image
Western blot: 293T, A549 and U20S stained with ARG44083 anti-GLI2 antibody at 0.5 μg/mL dilution.
-
ARG44083 anti-GLI2 antibody FACS image
Flow Cytometry: U2OS stained with ARG44083 anti-GLI2 antibody at 1 µg/10^6 cells dilution.
-
ARG44083 anti-GLI2 antibody WB image
Western blot: Rat brain stained with ARG44083 anti-GLI2 antibody at 0.5 μg/mL dilution.
-
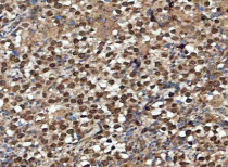
ARG44083 anti-GLI2 antibody IHC-P image
Immunohistochemistry: Human testicular germ cell tumors stained with ARG44083 anti-GLI2 antibody at 2 μg/ml dilution.
