ARG66912
anti-GLB1 / beta Galactosidase antibody
anti-GLB1 / beta Galactosidase antibody for IHC-Formalin-fixed paraffin-embedded sections,Western blot and Human,Mouse
概述
| 产品描述 | Rabbit Polyclonal antibody recognizes beta Galactosidase |
|---|---|
| 反应物种 | Hu, Ms |
| 应用 | IHC-P, WB |
| 宿主 | Rabbit |
| 克隆 | Polyclonal |
| 同位型 | IgG |
| 靶点名称 | GLB1 / beta Galactosidase |
| 抗原物种 | Human |
| 抗原 | Synthetic peptide corresponding to Human GLB1 / beta Galactosidase. |
| 偶联标记 | Un-conjugated |
| Protein Full name | Beta-galactosidase |
| 別名 | ELNR1; Lactase; MPS4B; EC 3.2.1.23; Elastin receptor 1; EBP; Acid beta-galactosidase; Beta-galactosidase |
应用说明
| 应用建议 |
|
||||||
|---|---|---|---|---|---|---|---|
| 应用说明 | * The dilutions indicate recommended starting dilutions and the optimal dilutions or concentrations should be determined by the scientist. | ||||||
| 实际分子量 | ~ 76 kDa |
属性
| 形式 | Liquid |
|---|---|
| 纯化 | Affinity purification with immunogen. |
| 缓冲液 | PBS, 0.02% Sodium azide, 50% Glycerol and 0.5% BSA. |
| 抗菌剂 | 0.02% Sodium azide |
| 稳定剂 | 50% Glycerol and 0.5% BSA |
| 浓度 | Batch dependent |
| 存放说明 | For continuous use, store undiluted antibody at 2-8°C for up to a week. For long-term storage, aliquot and store at -20°C or below. Storage in frost free freezers is not recommended. Avoid repeated freeze/thaw cycles. Suggest spin the vial prior to opening. The antibody solution should be gently mixed before use. |
| 注意事项 | For laboratory research only, not for drug, diagnostic or other use. |
生物信息
| 数据库连接 | |
|---|---|
| 基因名称 | GLB1 |
| 全名 | galactosidase, beta 1 |
| 背景介绍 | This gene encodes beta-galactosidase-1, a lysosomal enzyme that hydrolyzes the terminal beta-galactose from ganglioside substrates and other glycoconjugates. Defects in this gene are the cause of GM1-gangliosidosis and Morquio B syndrome. Multiple transcript variants encoding different isoforms have been found for this gene. [provided by RefSeq, Oct 2008] |
| 生物功能 | Isoform 1: Cleaves beta-linked terminal galactosyl residues from gangliosides, glycoproteins, and glycosaminoglycans. Isoform 2 has no beta-galactosidase catalytic activity, but plays functional roles in the formation of extracellular elastic fibers (elastogenesis) and in the development of connective tissue. Seems to be identical to the elastin-binding protein (EBP), a major component of the non-integrin cell surface receptor expressed on fibroblasts, smooth muscle cells, chondroblasts, leukocytes, and certain cancer cell types. In elastin producing cells, associates with tropoelastin intracellularly and functions as a recycling molecular chaperone which facilitates the secretions of tropoelastin and its assembly into elastic fibers. [UniProt] |
| 细胞定位 | Cytoplasm; Lysosome |
| 预测分子量 | 76 kDa |
| 翻译后修饰 | Disulfide bond; Glycoprotein; Zymogen |
检测图片 (3) Click the Picture to Zoom In
-
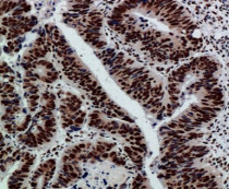
ARG66912 anti-GLB1 / beta Galactosidase antibody IHC-P image
Immunohistochemistry: Formalin-fixed and paraffin-embedded human colon-cancer tissue stained with ARG66912 anti-GLB1 / beta Galactosidase antibody at 1:200 dilution.
-
ARG66912 anti-GLB1 / beta Galactosidase antibody WB image
Western blot: 3T3 cell lysates stained withARG66912 anti-GLB1 / beta Galactosidase antibody at 1:20000 dilution
-
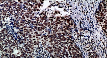
ARG66912 anti-GLB1 / beta Galactosidase antibody IHC-P image
Immunohistochemistry: Formalin-fixed and paraffin-embedded human breast-cancer tissue stained with ARG66912 anti-GLB1 / beta Galactosidase antibody at 1:200 dilution.
