ARG57115
anti-GIPC antibody [1G10]
anti-GIPC antibody [1G10] for Flow cytometry,Western blot and Human
概述
| 产品描述 | Mouse Monoclonal antibody [1G10] recognizes GIPC |
|---|---|
| 反应物种 | Hu |
| 应用 | FACS, WB |
| 宿主 | Mouse |
| 克隆 | Monoclonal |
| 克隆号 | 1G10 |
| 同位型 | IgG1, kappa |
| 靶点名称 | GIPC |
| 抗原物种 | Human |
| 抗原 | Recombinant fragment around aa. 1-315 of Human GIPC |
| 偶联标记 | Un-conjugated |
| 別名 | PDZ domain-containing protein GIPC2; SEMCAP2; SEMCAP-2 |
应用说明
| 应用建议 |
|
||||||
|---|---|---|---|---|---|---|---|
| 应用说明 | * The dilutions indicate recommended starting dilutions and the optimal dilutions or concentrations should be determined by the scientist. |
属性
| 形式 | Liquid |
|---|---|
| 纯化 | Purification with Protein G. |
| 缓冲液 | PBS (pH 7.4), 0.02% Sodium azide and 10% Glycerol. |
| 抗菌剂 | 0.02% Sodium azide |
| 稳定剂 | 10% Glycerol |
| 浓度 | 1 mg/ml |
| 存放说明 | For continuous use, store undiluted antibody at 2-8°C for up to a week. For long-term storage, aliquot and store at -20°C. Storage in frost free freezers is not recommended. Avoid repeated freeze/thaw cycles. Suggest spin the vial prior to opening. The antibody solution should be gently mixed before use. |
| 注意事项 | For laboratory research only, not for drug, diagnostic or other use. |
生物信息
| 数据库连接 |
Swiss-port # Q8TF65 Human PDZ domain-containing protein GIPC2 |
|---|---|
| 基因名称 | GIPC2 |
| 全名 | GIPC PDZ domain containing family, member 2 |
| 预测分子量 | 34 kDa |
检测图片 (3) Click the Picture to Zoom In
-
ARG57115 anti-GIPC antibody [1G10] FACS image
Flow Cytometry: HeLa cells stained with ARG57115 anti-GIPC antibody [1G10] at 2-5 µg / 10^6 cells (red). Secondary antibody: Goat anti-Mouse IgG Alexa fluor 488 conjugate. Mouse monoclonal IgG was used as the isotype control (dark gray), cells without incubation with primary and secondary antibody was used as the negative control (light gray).
-
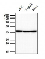
ARG57115 anti-GIPC antibody [1G10] WB image
Western blot: 40 µg of 293T, HepG2 and HeLa cell lysates stained with ARG57115 anti-GIPC antibody [1G10] at 1:1000 dilution.
-
ARG57115 anti-GIPC antibody [1G10] WB image
Western blot: 50 ng of GIPC1 and GIPC2 recombinant protein stained with ARG57115 anti-GIPC antibody [1G10] at 1:1000 dilution.
