ARG44089
anti-GHRH antibody
anti-GHRH antibody for IHC-Formalin-fixed paraffin-embedded sections,Western blot and Human,Mouse,Rat
概述
| 产品描述 | Rabbit Polyclonal recognizes GHRH |
|---|---|
| 反应物种 | Hu, Ms, Rat |
| 应用 | IHC-P, WB |
| 宿主 | Rabbit |
| 克隆 | Polyclonal |
| 同位型 | IgG |
| 靶点名称 | GHRH |
| 抗原物种 | Human |
| 抗原 | Human GHRH recombinant protein (Position: Y32-L75). |
| 偶联标记 | Un-conjugated |
| 別名 | Sermorelin; Somatoliberin; Growth hormone-releasing hormone; Growth hormone-releasing factor; GHRF; GRF; INN; GHRH; Somatocrinin; Somatorelin |
应用说明
| 应用建议 |
|
||||||
|---|---|---|---|---|---|---|---|
| 应用说明 | The dilutions indicate recommended starting dilutions and the optimal dilutions or concentrations should be determined by the scientist. |
属性
| 形式 | Liquid |
|---|---|
| 纯化 | Affinity purification with immunogen. |
| 缓冲液 | 0.9% NaCl, 0.2% Na2HPO4, 0.05% Sodium azide and 4% Trehalose. |
| 抗菌剂 | 0.05% Sodium azide |
| 稳定剂 | 4% Trehalose |
| 浓度 | 0.5 mg/ml |
| 存放说明 | For continuous use, store undiluted antibody at 2-8°C for up to a week. For long-term storage, aliquot and store at -20°C or below. Storage in frost free freezers is not recommended. Avoid repeated freeze/thaw cycles. Suggest spin the vial prior to opening. The antibody solution should be gently mixed before use. |
| 注意事项 | For laboratory research only, not for drug, diagnostic or other use. |
生物信息
| 数据库连接 | |
|---|---|
| 基因名称 | GHRH |
| 全名 | growth hormone releasing hormone |
| 背景介绍 | The protein encoded by this gene belongs to the glucagon family and is a preproprotein that is produced in the hypothalamus. The preproprotein is cleaved to form a 44 aa factor, also called somatocrinin, that acts to stimulate growth hormone release from the pituitary. Variant receptors for somatocrinin have been found in several types of tumors, and antagonists of these receptors can inhibit the growth of the tumors. Defects in this gene are a cause of dwarfism, while hypersecretion of the encoded protein is a cause of gigantism. [provided by RefSeq, Jul 2008] |
| 生物功能 | GRF is released by the hypothalamus and acts on the adenohypophyse to stimulate the secretion of growth hormone. [UniProt] |
| 细胞定位 | Secreted. [UniProt] |
| 预测分子量 | 12 kDa |
检测图片 (4) Click the Picture to Zoom In
-
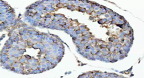
ARG44089 anti-GHRH antibody IHC-P image
Immunohistochemistry: Rat testis stained with ARG44089 anti-GHRH antibody at 2 μg/ml dilution.
-
ARG44089 anti-GHRH antibody WB image
Western blot: Rat lung stained with ARG44089 anti-GHRH antibody at 0.5 μg/mL dilution.
-
ARG44089 anti-GHRH antibody IHC-P image
Immunohistochemistry: Mouse testis stained with ARG44089 anti-GHRH antibody at 2 μg/ml dilution.
-
ARG44089 anti-GHRH antibody WB image
Western blot: Mouse lung stained with ARG44089 anti-GHRH antibody at 0.5 μg/mL dilution.
