ARG46177
anti-GDPD5 / GDE2 antibody
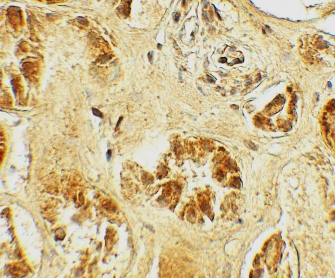
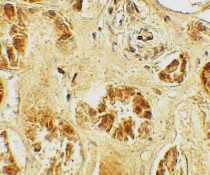
anti-GDPD5 / GDE2 antibody for Western blot,IHC-Formalin-fixed paraffin-embedded sections and Human,Mouse,Rat
概述
| 产品描述 | Rabbit Polyclonal antibody recognizes GDPD5 / GDE2 |
|---|---|
| 反应物种 | Hu, Ms, Rat |
| 应用 | IHC-P, WB |
| 宿主 | Rabbit |
| 克隆 | Polyclonal |
| 同位型 | IgG |
| 靶点名称 | GDPD5 / GDE2 |
| 抗原物种 | Human |
| 抗原 | A 18 amino acid synthetic peptide within the first 50 amino acids of human GDPD5 / GDE2. |
| 偶联标记 | Un-conjugated |
| 別名 | GDPD5; PP1665; Glycerophosphodiester phosphodiesterase domain-containing protein 5; Glycerophosphodiester phosphodiesterase 2; GDE2 |
应用说明
| 应用建议 |
|
||||||
|---|---|---|---|---|---|---|---|
| 应用说明 | * The dilutions indicate recommended starting dilutions and the optimal dilutions or concentrations should be determined by the scientist. | ||||||
| 实际分子量 | 52 kDa |
属性
| 纯化 | Affinity chromatography purified |
|---|---|
| 缓冲液 | PBS and 0.02% Sodium azide. |
| 抗菌剂 | 0.02% Sodium azide |
| 浓度 | 1 mg/ml |
| 存放说明 | For continuous use, store undiluted antibody at 2-8°C for up to a week. For long-term storage, aliquot and store at -20°C. Storage in frost free freezers is not recommended. Avoid repeated freeze/thaw cycles. Suggest spin the vial prior to opening. The antibody solution should be gently mixed before use. |
| 注意事项 | For laboratory research only, not for drug, diagnostic or other use. |
生物信息
| 数据库连接 |
Swiss-port # Q640M6 Mouse Glycerophosphodiester phosphodiesterase domain-containing protein 5 Swiss-port # Q8WTR4 Human Glycerophosphodiester phosphodiesterase domain-containing protein 5 |
|---|---|
| 基因名称 | GDPD5 |
| 全名 | glycerophosphodiester phosphodiesterase domain containing 5 |
| 背景介绍 | Glycerophosphodiester phosphodiesterases (GDPDs; EC 3.1.4.46), such as GDPD5, are involved in glycerol metabolism (Lang et al., 2008 [PubMed 17578682]).[supplied by OMIM, Jan 2010] |
| 生物功能 | Glycerophosphodiester phosphodiesterase that promotes neurite formation and drives spinal motor neuron differentiation (By similarity). Mediates the cleavage of glycosylphosphatidylinositol (GPI) anchor of target proteins: removes the GPI-anchor of RECK, leading to release RECK from the plasma membrane (By similarity). May contribute to the osmotic regulation of cellular glycerophosphocholine (By similarity). [UniProt] |
| 细胞定位 | Endomembrane system; Multi-pass membrane protein. Cytoplasm, perinuclear region. Cell projection, growth cone. Note=In a punctate perinuclear pattern. [UniProt] |
| 预测分子量 | 40,67 kDa |
| 翻译后修饰 | Intramolecular disulfide bond between Cys-25 and Cys-571 is reduced by PRDX1. [UniProt] |
检测图片 (2) Click the Picture to Zoom In
