ARG59192
anti-GDA antibody
anti-GDA antibody for IHC-Formalin-fixed paraffin-embedded sections,Western blot and Human,Mouse,Rat
概述
| 产品描述 | Rabbit Polyclonal antibody recognizes GDA |
|---|---|
| 反应物种 | Hu, Ms, Rat |
| 应用 | IHC-P, WB |
| 宿主 | Rabbit |
| 克隆 | Polyclonal |
| 同位型 | IgG |
| 靶点名称 | GDA |
| 抗原物种 | Human |
| 抗原 | Recombinant protein corresponding to E220-Q446 of Human GDA. |
| 偶联标记 | Un-conjugated |
| 別名 | Guanine aminohydrolase; GUANASE; p51-nedasin; Guanine aminase; Guanase; EC 3.5.4.3; Guanine deaminase; CYPIN; NEDASIN; GAH |
应用说明
| 应用建议 |
|
||||||
|---|---|---|---|---|---|---|---|
| 应用说明 | IHC-P: Antigen Retrieval: Heat mediated was performed in Citrate buffer (pH 6.0) for 20 min. * The dilutions indicate recommended starting dilutions and the optimal dilutions or concentrations should be determined by the scientist. |
属性
| 形式 | Liquid |
|---|---|
| 纯化 | Affinity purification with immunogen. |
| 缓冲液 | 0.9% NaCl, 0.2% Na2HPO4, 0.05% Sodium azide and 4% Trehalose. |
| 抗菌剂 | 0.05% Sodium azide |
| 稳定剂 | 4% Trehalose |
| 浓度 | 0.5 mg/ml |
| 存放说明 | For continuous use, store undiluted antibody at 2-8°C for up to a week. For long-term storage, aliquot and store at -20°C or below. Storage in frost free freezers is not recommended. Avoid repeated freeze/thaw cycles. Suggest spin the vial prior to opening. The antibody solution should be gently mixed before use. |
| 注意事项 | For laboratory research only, not for drug, diagnostic or other use. |
生物信息
| 数据库连接 | |
|---|---|
| 基因名称 | GDA |
| 全名 | guanine deaminase |
| 背景介绍 | This gene encodes an enzyme responsible for the hydrolytic deamination of guanine. Studies in rat ortholog suggest this gene plays a role in microtubule assembly. Multiple transcript variants encoding different isoforms have been found for this gene. [provided by RefSeq, Nov 2011] |
| 生物功能 | Catalyzes the hydrolytic deamination of guanine, producing xanthine and ammonia. [UniProt] |
| 预测分子量 | 51 kDa |
检测图片 (4) Click the Picture to Zoom In
-
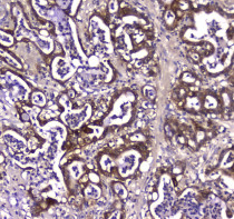
ARG59192 anti-GDA antibody IHC-P image
Immunohistochemistry: Paraffin-embedded Human colon cancer tissue. Antigen Retrieval: Heat mediated was performed in Citrate buffer (pH 6.0, epitope retrieval solution) for 20 min. The tissue section was blocked with 10% goat serum. The tissue section was then stained with ARG59192 anti-GDA antibody at 1 µg/ml dilution, overnight at 4°C.
-
ARG59192 anti-GDA antibody WB image
Western blot: 50 µg of samples under reducing conditions. Rat brain, Rat liver, Rat small intestine, Mouse brain, Mouse liver, Mouse small intestine lysates stained with ARG59192 anti-GDA antibody at 0.5 µg/ml, overnight at 4°C.
-
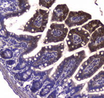
ARG59192 anti-GDA antibody IHC-P image
Immunohistochemistry: Paraffin-embedded Mouse small intestine tissue. Antigen Retrieval: Heat mediated was performed in Citrate buffer (pH 6.0, epitope retrieval solution) for 20 min. The tissue section was blocked with 10% goat serum. The tissue section was then stained with ARG59192 anti-GDA antibody at 1 µg/ml dilution, overnight at 4°C.
-
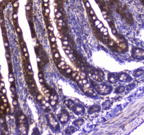
ARG59192 anti-GDA antibody IHC-P image
Immunohistochemistry: Paraffin-embedded Rat small intestine tissue. Antigen Retrieval: Heat mediated was performed in Citrate buffer (pH 6.0, epitope retrieval solution) for 20 min. The tissue section was blocked with 10% goat serum. The tissue section was then stained with ARG59192 anti-GDA antibody at 1 µg/ml dilution, overnight at 4°C.
