ARG40417
anti-GCM1 antibody
anti-GCM1 antibody for IHC-Formalin-fixed paraffin-embedded sections,Western blot and Human
概述
| 产品描述 | Rabbit Polyclonal antibody recognizes GCM1 |
|---|---|
| 反应物种 | Hu |
| 预测物种 | Ms, Rat, Dog |
| 应用 | IHC-P, WB |
| 宿主 | Rabbit |
| 克隆 | Polyclonal |
| 同位型 | IgG |
| 靶点名称 | GCM1 |
| 抗原物种 | Human |
| 抗原 | Synthetic peptide around the N-terminal region of Human GCM1 (within the following region: MEPDDFDSEDKEILSWDINDVKLPQNVKKTDWFQEWPDSYAKHIYSSEDK). |
| 偶联标记 | Un-conjugated |
| 別名 | GCMA; hGCMa; Glial cells missing homolog 1; Chorion-specific transcription factor GCMa; GCM motif protein 1 |
应用说明
| 预测反应性说明 | Predicted Homology Based On Immunogen Sequence: Mouse: 78%; Rat: 78%; Dog: 78% | ||||||
|---|---|---|---|---|---|---|---|
| 应用建议 |
|
||||||
| 应用说明 | * The dilutions indicate recommended starting dilutions and the optimal dilutions or concentrations should be determined by the scientist. | ||||||
| 实际分子量 | ~ 53 kDa |
属性
| 形式 | Liquid |
|---|---|
| 纯化 | Affinity purified. |
| 缓冲液 | PBS, 0.09% (w/v) Sodium azide and 2% Sucrose. |
| 抗菌剂 | 0.09% (w/v) Sodium azide |
| 稳定剂 | 2% Sucrose |
| 浓度 | Batch dependent: 0.5 - 1 mg/ml |
| 存放说明 | For continuous use, store undiluted antibody at 2-8°C for up to a week. For long-term storage, aliquot and store at -20°C or below. Storage in frost free freezers is not recommended. Avoid repeated freeze/thaw cycles. Suggest spin the vial prior to opening. The antibody solution should be gently mixed before use. |
| 注意事项 | For laboratory research only, not for drug, diagnostic or other use. |
生物信息
| 数据库连接 |
Swiss-port # Q9NP62 Human Chorion-specific transcription factor GCMa |
|---|---|
| 基因名称 | GCM1 |
| 全名 | glial cells missing homolog 1 (Drosophila) |
| 背景介绍 | This gene encodes a DNA-binding protein with a gcm-motif (glial cell missing motif). The encoded protein is a homolog of the Drosophila glial cells missing gene (gcm). This protein binds to the GCM-motif (A/G)CCCGCAT, a novel sequence among known targets of DNA-binding proteins. The N-terminal DNA-binding domain confers the unique DNA-binding activity of this protein. [provided by RefSeq, Jul 2008] |
| 生物功能 | Transcription factor that is necessary for placental development. Binds to the trophoblast-specific element 2 (TSE2) of the aromatase gene enhancer. [UniProt] |
| 细胞定位 | Nucleus. [UniProt] |
| 预测分子量 | 49 kDa |
| 翻译后修饰 | Polyubiquitinated in the presence of UBE2D2 and FBXW2 (in vitro). [UniProt] |
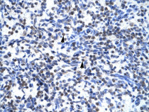
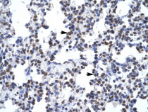
检测图片 (3) Click the Picture to Zoom In
-
ARG40417 anti-GCM1 antibody IHC-P image
Immunohistochemistry: Paraffin-embedded Human spleen tissue stained with ARG40417 anti-GCM1 antibody.
-
ARG40417 anti-GCM1 antibody WB image
Western blot: 293T cell lysate stained with ARG40417 anti-GCM1 antibody at 1 µg/ml dilution.
-
ARG40417 anti-GCM1 antibody IHC-P image
Immunohistochemistry: Paraffin-embedded Human lung tissue stained with ARG40417 anti-GCM1 antibody.
