ARG45197
anti-GCHFR antibody
anti-GCHFR antibody for Flow cytometry,ICC/IF,IHC-Formalin-fixed paraffin-embedded sections,Western blot and Human,Mouse,Rat
概述
| 产品描述 | Rabbit Polyclonal antibody recognizes GCHFR |
|---|---|
| 反应物种 | Hu, Ms, Rat |
| 应用 | FACS, ICC/IF, IHC-P, WB |
| 宿主 | Rabbit |
| 克隆 | Polyclonal |
| 同位型 | IgG |
| 靶点名称 | GCHFR |
| 抗原物种 | Human |
| 抗原 | Recombinant protein containing to human GCHFR. |
| 偶联标记 | Un-conjugated |
| 別名 | GCHFR; GTP Cyclohydrolase I Feedback Regulator; GFRP; GTP Cyclohydrolase I Feedback Regulatory Protein; HsT16933; GTP Cyclohydrolase 1 Feedback Regulatory Protein; P35 |
应用说明
| 应用建议 |
|
||||||||||
|---|---|---|---|---|---|---|---|---|---|---|---|
| 应用说明 | * The dilutions indicate recommended starting dilutions and the optimal dilutions or concentrations should be determined by the scientist. | ||||||||||
| 实际分子量 | 12 kDa |
属性
| 形式 | Liquid |
|---|---|
| 纯化 | Affinity purification with immunogen. |
| 缓冲液 | 0.9% NaCl, 0.2% Na2HPO4, 0.005% Sodium azide and 4% Trehalose. |
| 抗菌剂 | 0.005% Sodium azide |
| 稳定剂 | 4% Trehalose |
| 浓度 | 0.5 mg/ml |
| 存放说明 | For continuous use, store undiluted antibody at 2-8°C for up to a week. For long-term storage, aliquot and store at -20°C or below. Storage in frost free freezers is not recommended. Avoid repeated freeze/thaw cycles. Suggest spin the vial prior to opening. The antibody solution should be gently mixed before use. |
| 注意事项 | For laboratory research only, not for drug, diagnostic or other use. |
生物信息
| 数据库连接 | |
|---|---|
| 基因名称 | GCHFR |
| 全名 | GTP Cyclohydrolase I Feedback Regulator |
| 背景介绍 | GTP cyclohydrolase I feedback regulatory protein binds to and mediates tetrahydrobiopterin inhibition of GTP cyclohydrolase I. The regulatory protein, GCHFR, consists of a homodimer. It is postulated that GCHFR may play a role in regulating phenylalanine metabolism in the liver and in the production of biogenic amine neurotransmitters and nitric oxide. [provided by RefSeq, Jul 2008] |
| 生物功能 | Mediates tetrahydrobiopterin inhibition of GTP cyclohydrolase 1. This inhibition is reversed by L-phenylalanine.. [UniProt] |
| 细胞定位 | Cytoplasm; Membrane; Nucleus. [UniProt] |
| 预测分子量 | 10 kDa |
检测图片 (7) Click the Picture to Zoom In
-
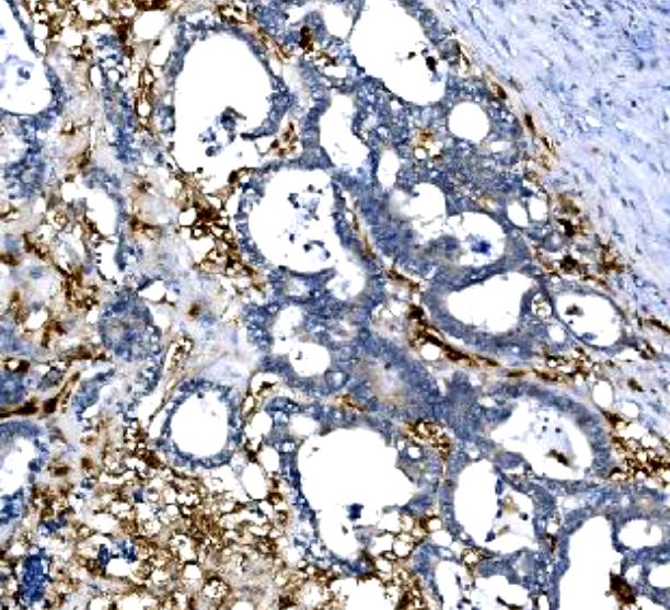
ARG45197 anti-GCHFR antibody IHC-P image
Immunohistochemistry: Human rectal cancer stained with ARG45197 anti-GCHFR antibody at 2 μg/ml dilution.
-
ARG45197 anti-GCHFR antibody ICC/IF image
Immunofluorescence: CACO-2 stained with ARG45197 anti-GCHFR antibody at 5 ug/ml dilution.
-
ARG45197 anti-GCHFR antibody WB image
Western blot: HEPG2, CACO-2, U937, and PC-3 stained with ARG45197 anti-GCHFR antibody at 0.5 μg/ml dilution.
-
ARG45197 anti-GCHFR antibody FACS image
Flow Cytometry: HL-60 stained with ARG45197 anti-GCHFR antibody at 1 µg/10^6 cells dilution.
-
ARG45197 anti-GCHFR antibody WB image
Western blot: Rat liver stained with ARG45197 anti-GCHFR antibody at 0.5 μg/ml dilution.
-
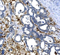
ARG45197 anti-GCHFR antibody IHC-P image
Immunohistochemistry: Mouse liver stained with ARG45197 anti-GCHFR antibody at 2 μg/ml dilution.
-
ARG45197 anti-GCHFR antibody WB image
Western blot: Mouse liver stained with ARG45197 anti-GCHFR antibody at 0.5 μg/ml dilution.
