ARG64624
anti-GCH1 antibody
anti-GCH1 antibody for IHC-Formalin-fixed paraffin-embedded sections,Western blot and Human
Cell Biology and Cellular Response antibody; Metabolism antibody; Neuroscience antibody; Signaling Transduction antibody
概述
| 产品描述 | Goat Polyclonal antibody recognizes GCH1 |
|---|---|
| 反应物种 | Hu |
| 预测物种 | Ms, Rat |
| 应用 | IHC-P, WB |
| 特异性 | This antibody is expected to recognize all four isoforms (NP_000152.1 ; NP_001019195.1 ; NP_001019241.1 ; NP_001019242.1) |
| 宿主 | Goat |
| 克隆 | Polyclonal |
| 同位型 | IgG |
| 靶点名称 | GCH1 |
| 抗原物种 | Human |
| 抗原 | C-GKVHIGYLPNKQ |
| 偶联标记 | Un-conjugated |
| 別名 | DYT14; HPABH4B; GTPCH1; GCH; GTP cyclohydrolase 1; GTP-CH-1; DYT5; GTP cyclohydrolase I; GTP-CH-I; DYT5a; EC 3.5.4.16 |
应用说明
| 应用建议 |
|
||||||
|---|---|---|---|---|---|---|---|
| 应用说明 | WB: Recommend incubate at RT for 1h. IHC-P: Antigen Retrieval: Steam tissue section in Citrate buffer (pH 6.0). * The dilutions indicate recommended starting dilutions and the optimal dilutions or concentrations should be determined by the scientist. |
属性
| 形式 | Liquid |
|---|---|
| 纯化 | Purified from goat serum by antigen affinity chromatography. |
| 缓冲液 | Tris saline (pH 7.3), 0.02% Sodium azide and 0.5% BSA. |
| 抗菌剂 | 0.02% Sodium azide |
| 稳定剂 | 0.5% BSA |
| 浓度 | 0.5 mg/ml |
| 存放说明 | For continuous use, store undiluted antibody at 2-8°C for up to a week. For long-term storage, aliquot and store at -20°C or below. Storage in frost free freezers is not recommended. Avoid repeated freeze/thaw cycles. Suggest spin the vial prior to opening. The antibody solution should be gently mixed before use. |
| 注意事项 | For laboratory research only, not for drug, diagnostic or other use. |
生物信息
| 数据库连接 | |
|---|---|
| 背景介绍 | This gene encodes a member of the GTP cyclohydrolase family. The encoded protein is the first and rate-limiting enzyme in tetrahydrobiopterin (BH4) biosynthesis, catalyzing the conversion of GTP into 7,8-dihydroneopterin triphosphate. BH4 is an essential cofactor required by aromatic amino acid hydroxylases as well as nitric oxide synthases. Mutations in this gene are associated with malignant hyperphenylalaninemia and dopa-responsive dystonia. Several alternatively spliced transcript variants encoding different isoforms have been described; however, not all variants give rise to a functional enzyme. [provided by RefSeq, Jul 2008] |
| 研究领域 | Cell Biology and Cellular Response antibody; Metabolism antibody; Neuroscience antibody; Signaling Transduction antibody |
| 预测分子量 | 28 kDa |
| 翻译后修饰 | Phosphorylated by casein kinase II at Ser-81 in HAECs during oscillatory shear stress; phosphorylation at Ser-81 results in increased enzyme activity. |
检测图片 (3) Click the Picture to Zoom In
-
ARG64624 anti-GCH1 antibody WB image
Western Blot: Human Tonsil lysate (35 µg protein in RIPA buffer) stained with ARG64624 anti-GCH1 antibody at 0.5 µg/ml dilution.
-
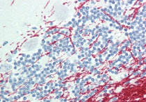
ARG64624 anti-GCH1 antibody IHC-P image
Immunohistochemistry: Paraffin-embedded Human cerebellum tissue. Antigen Retrieval: Steam tissue section in Citrate buffer (pH 6.0). The tissue section was stained with ARG64624 anti-GCH1 antibody at 5 µg/ml dilution followed by AP-staining.
-
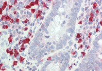
ARG64624 anti-GCH1 antibody IHC-P image
Immunohistochemistry: Paraffin-embedded Human small intestine tissue. Antigen Retrieval: Steam tissue section in Citrate buffer (pH 6.0). The tissue section was stained with ARG64624 anti-GCH1 antibody at 5 µg/ml dilution followed by AP-staining.
