ARG64554
anti-GCC2 / GCC185 antibody
anti-GCC2 / GCC185 antibody for IHC-Formalin-fixed paraffin-embedded sections and Human
Signaling Transduction antibody
概述
| 产品描述 | Goat Polyclonal antibody recognizes GCC2 / GCC185 |
|---|---|
| 反应物种 | Hu |
| 预测物种 | Rat |
| 应用 | IHC-P |
| 特异性 | This antibody is expected to recognise both reported isoforms. |
| 宿主 | Goat |
| 克隆 | Polyclonal |
| 同位型 | IgG |
| 靶点名称 | GCC2 / GCC185 |
| 抗原物种 | Human |
| 抗原 | C-QKLTNKNNKIED |
| 偶联标记 | Un-conjugated |
| 別名 | 185 kDa Golgi coiled-coil protein; Renal carcinoma antigen NY-REN-53; REN53; Ran-binding protein 2-like 4; RANBP2L4; GRIP and coiled-coil domain-containing protein 2; CLL-associated antigen KW-11; RanBP2L4; CTCL tumor antigen se1-1; GCC185 |
应用说明
| 应用建议 |
|
||||
|---|---|---|---|---|---|
| 应用说明 | IHC-P: Antigen Retrieval: Steam tissue section in Citrate buffer (pH 6.0). * The dilutions indicate recommended starting dilutions and the optimal dilutions or concentrations should be determined by the scientist. |
属性
| 形式 | Liquid |
|---|---|
| 纯化 | Purified from goat serum by antigen affinity chromatography. |
| 缓冲液 | Tris saline (pH 7.3), 0.02% Sodium azide and 0.5% BSA. |
| 抗菌剂 | 0.02% Sodium azide |
| 稳定剂 | 0.5% BSA |
| 浓度 | 0.5 mg/ml |
| 存放说明 | For continuous use, store undiluted antibody at 2-8°C for up to a week. For long-term storage, aliquot and store at -20°C or below. Storage in frost free freezers is not recommended. Avoid repeated freeze/thaw cycles. Suggest spin the vial prior to opening. The antibody solution should be gently mixed before use. |
| 注意事项 | For laboratory research only, not for drug, diagnostic or other use. |
生物信息
| 数据库连接 |
Swiss-port # Q8IWJ2 Human GRIP and coiled-coil domain-containing protein 2 |
|---|---|
| 背景介绍 | The protein encoded by this gene is a peripheral membrane protein localized to the trans-Golgi network. It is sensitive to brefeldin A. This encoded protein contains a GRIP domain which is thought to be used in targeting. Alternative splicing results in multiple transcript variants. [provided by RefSeq, Jul 2009] |
| 研究领域 | Signaling Transduction antibody |
| 预测分子量 | 196 kDa |
检测图片 (3) Click the Picture to Zoom In
-
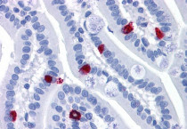
ARG64554 anti-GCC2 / GCC185 antibody IHC-P image
Immunohistochemistry: Paraffin-embedded Human small intestine tissue. Antigen Retrieval: Steam tissue section in Citrate buffer (pH 6.0). The tissue section was stained with ARG64554 anti-GCC2 / GCC185 antibody at 3.75 µg/ml dilution followed by AP-staining.
-
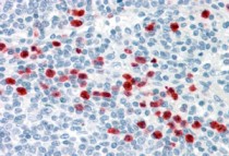
ARG64554 anti-GCC2 / GCC185 antibody IHC-P image
Immunohistochemistry: paraffin embedded Human Spleen. (Steamed antigen retrieval with citrate buffer pH 6) stained with ARG64554 anti-GCC2 / GCC185 antibody at 3.8 µg/ml dilution followed by AP-staining.
-
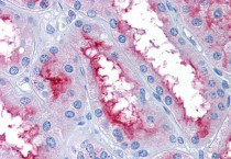
ARG64554 anti-GCC2 / GCC185 antibody IHC-P image
Immunohistochemistry: Paraffin-embedded Human kidney tissue. Antigen Retrieval: Steam tissue section in Citrate buffer (pH 6.0). The tissue section was stained with ARG64554 anti-GCC2 / GCC185 antibody at 3.75 µg/ml dilution followed by AP-staining.
