ARG44666
anti-GAS2 antibody
anti-GAS2 antibody for IHC-Formalin-fixed paraffin-embedded sections,Immunoprecipitation,Western blot and Human
概述
| 产品描述 | Mouse Monoclonal antibody recognizes GAS2 |
|---|---|
| 反应物种 | Hu |
| 应用 | IHC-P, IP, WB |
| 宿主 | Mouse |
| 克隆 | Monoclonal |
| 同位型 | IgG1 |
| 靶点名称 | GAS2 |
| 抗原物种 | Human |
| 偶联标记 | Un-conjugated |
| 別名 | GAS2; Growth Arrest Specific 2; Growth Arrest-Specific Protein 2; GAS-2 |
应用说明
| 应用建议 |
|
||||||||
|---|---|---|---|---|---|---|---|---|---|
| 应用说明 | * The dilutions indicate recommended starting dilutions and the optimal dilutions or concentrations should be determined by the scientist. |
属性
| 形式 | Liquid |
|---|---|
| 纯化 | Protein A purification |
| 缓冲液 | PBS with 0.09% sodium azide |
| 存放说明 | For continuous use, store undiluted antibody at 2-8°C for up to a week. For long-term storage, aliquot and store at -20°C or below. Storage in frost free freezers is not recommended. Avoid repeated freeze/thaw cycles. Suggest spin the vial prior to opening. The antibody solution should be gently mixed before use. |
| 注意事项 | For laboratory research only, not for drug, diagnostic or other use. |
生物信息
| 数据库连接 | |
|---|---|
| 基因名称 | GAS2 |
| 全名 | Growth Arrest Specific 2 |
| 背景介绍 | The protein encoded by this gene is a caspase-3 substrate that plays a role in regulating microfilament and cell shape changes during apoptosis. It can also modulate cell susceptibility to p53-dependent apoptosis by inhibiting calpain activity. Alternative splicing results in multiple transcript variants. [provided by RefSeq, May 2017] |
| 生物功能 | May play a role in apoptosis by acting as a cell death substrate for caspases. Is cleaved during apoptosis and the cleaved form induces dramatic rearrangements of the actin cytoskeleton and potent changes in the shape of the affected cells. May be involved in the membrane ruffling process. [UniProt] |
| 细胞定位 | Cytoplasm, Cytoskeleton, Membrane. [UniProt] |
| 预测分子量 | 35 kDa |
| 翻译后修饰 | Phosphoprotein. [UniProt] |
检测图片 (3) Click the Picture to Zoom In
-
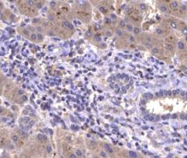
ARG44666 anti-GAS2 antibody IHC-P image
Immunohistochemistry: Human Liver stained with ARG44666 anti-GAS2 antibody at 10 µg/mL dilution.
-
ARG44666 anti-GAS2 antibody WB image
Western blot: HepG2 stained with ARG44666 anti-GAS2 antibody at 1 µg/mL dilution.
-
ARG44666 anti-GAS2 antibody IP image
Immunoprecipitation: HepG2 lysate immunoprecipitated with 2.5 µg of ARG44666 anti-GAS2 antibody.
