ARG45470
anti-GANAB antibody
anti-GANAB antibody for Flow cytometry,ICC/IF,IHC-Formalin-fixed paraffin-embedded sections,Western blot and Human,Mouse,Rat
概述
| 产品描述 | Rabbit Polyclonal antibody recognizes GANAB |
|---|---|
| 反应物种 | Hu, Ms, Rat |
| 应用 | FACS, ICC/IF, IHC-P, WB |
| 宿主 | Rabbit |
| 克隆 | Polyclonal |
| 同位型 | IgG |
| 靶点名称 | GANAB |
| 抗原物种 | Human |
| 抗原 | Recombinant protein containing to human GANAB. |
| 偶联标记 | Un-conjugated |
| 別名 | GANAB; Glucosidase II Alpha Subunit; G2AN; Neutral Alpha-Glucosidase AB; KIAA0088; GIIalpha; GluII; GIIA; Alpha-Glucosidase 2; Glucosidase, Alpha; Neutral AB; Glucosidase II Subunit Alpha; EC 3.2.1.207; EC 3.2.1.84 47; EC 3.2.1 47; PKD3 |
应用说明
| 应用建议 |
|
||||||||||
|---|---|---|---|---|---|---|---|---|---|---|---|
| 应用说明 | * The dilutions indicate recommended starting dilutions and the optimal dilutions or concentrations should be determined by the scientist. | ||||||||||
| 实际分子量 | 100 kDa |
属性
| 形式 | Liquid |
|---|---|
| 纯化 | Affinity purified |
| 缓冲液 | 0.2% Na2HPO4, 0.9% NaCl and 4% Trehalose. |
| 稳定剂 | 4% Trehalose |
| 浓度 | 0.5 mg/ml |
| 存放说明 | For continuous use, store undiluted antibody at 2-8°C for up to a week. For long-term storage, aliquot and store at -20°C or below. Storage in frost free freezers is not recommended. Avoid repeated freeze/thaw cycles. Suggest spin the vial prior to opening. The antibody solution should be gently mixed before use. |
| 注意事项 | For laboratory research only, not for drug, diagnostic or other use. |
生物信息
| 数据库连接 | |
|---|---|
| 基因名称 | GANAB |
| 全名 | Glucosidase II Alpha Subunit |
| 背景介绍 | This gene encodes the alpha subunit of glucosidase II and a member of the glycosyl hydrolase 31 family of proteins. The heterodimeric enzyme glucosidase II plays a role in protein folding and quality control by cleaving glucose residues from immature glycoproteins in the endoplasmic reticulum. Expression of the encoded protein is elevated in lung tumor tissue and in response to UV irradiation. Mutations in this gene cause autosomal-dominant polycystic kidney and liver disease. [provided by RefSeq, Jul 2016] |
| 生物功能 | Catalytic subunit of glucosidase II that cleaves sequentially the 2 innermost alpha-1,3-linked glucose residues from the Glc2Man9GlcNAc2 oligosaccharide precursor of immature glycoproteins. [UniProt] |
| 细胞定位 | Endoplasmic reticulum; Golgi apparatus. [UniProt] |
| 预测分子量 | 107 kDa |
| 翻译后修饰 | Disulfide bond; Glycoprotein; Phosphoprotein. [UniProt] |
检测图片 (6) Click the Picture to Zoom In
-
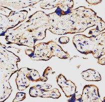
ARG45470 anti-GANAB antibody IHC-P image
Immunohistochemistry: Human placenta stained with ARG45470 anti-GANAB antibody at 2 μg/ml dilution.
-
ARG45470 anti-GANAB antibody ICC/IF image
Immunofluorescence: Hela stained with ARG45470 anti-GANAB antibody at 5 μg/ml dilution.
-
ARG45470 anti-GANAB antibody WB image
Western blot: Human placenta stained with ARG45470 anti-GANAB antibody at 0.5 μg/ml dilution.
-
ARG45470 anti-GANAB antibody FACS image
Flow Cytometry: SH-SY5Y stained with ARG45470 anti-GANAB antibody at 1 µg/10^6 cells dilution.
-
ARG45470 anti-GANAB antibody WB image
Western blot: Rat kidney stained with ARG45470 anti-GANAB antibody at 0.5 μg/ml dilution.
-
ARG45470 anti-GANAB antibody WB image
Western blot: Mouse kidney stained with ARG45470 anti-GANAB antibody at 0.5 μg/ml dilution.
