ARG65053
anti-GAL antibody
anti-GAL antibody for IHC-Formalin-fixed paraffin-embedded sections,Western blot and Human,Mouse,Rat
Cell Biology and Cellular Response antibody; Metabolism antibody; Neuroscience antibody
概述
| 产品描述 | Goat Polyclonal antibody recognizes GAL |
|---|---|
| 反应物种 | Hu, Ms, Rat |
| 预测物种 | Cow |
| 应用 | IHC-P, WB |
| 宿主 | Goat |
| 克隆 | Polyclonal |
| 同位型 | IgG |
| 靶点名称 | GAL |
| 抗原物种 | Human |
| 抗原 | C-HRSFSDKNGLTSK |
| 偶联标记 | Un-conjugated |
| 別名 | Galanin peptides; GALN; GLNN; GAL-GMAP; GMAP |
应用说明
| 应用建议 |
|
||||||
|---|---|---|---|---|---|---|---|
| 应用说明 | IHC-P: Antigen Retrieval: Steam tissue section in Citrate buffer (pH 6.0) at 80°C for 30 min. WB: Recommend incubate at RT for 1h. * The dilutions indicate recommended starting dilutions and the optimal dilutions or concentrations should be determined by the scientist. |
属性
| 形式 | Liquid |
|---|---|
| 纯化 | Purified from goat serum by antigen affinity chromatography. |
| 缓冲液 | Tris saline (pH 7.3), 0.02% Sodium azide and 0.5% BSA. |
| 抗菌剂 | 0.02% Sodium azide |
| 稳定剂 | 0.5% BSA |
| 浓度 | 0.5 mg/ml |
| 存放说明 | For continuous use, store undiluted antibody at 2-8°C for up to a week. For long-term storage, aliquot and store at -20°C or below. Storage in frost free freezers is not recommended. Avoid repeated freeze/thaw cycles. Suggest spin the vial prior to opening. The antibody solution should be gently mixed before use. |
| 注意事项 | For laboratory research only, not for drug, diagnostic or other use. |
生物信息
| 数据库连接 | |
|---|---|
| 背景介绍 | Galanin is small neuropeptide that functions as a cellular messenger within the central and peripheral nervous systems, modulating diverse physiologic functions (Mechenthaler, 2008 [PubMed 18500643]).[supplied by OMIM, Jan 2009] |
| 研究领域 | Cell Biology and Cellular Response antibody; Metabolism antibody; Neuroscience antibody |
| 预测分子量 | 13 kDa |
检测图片 (3) Click the Picture to Zoom In
-
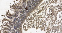
ARG65053 anti-GAL antibody IHC-P image
Immunohistochemistry: Human Small Intestine stained with ARG65053 anti-GAL antibody at 8 µg/ml dilution.
-
ARG65053 anti-GAL antibody WB image
Western Blot: Human Cerebellum lysate (35 µg protein in RIPA buffer) stained with ARG65053 anti-GAL antibody at 1 µg/ml dilution.
-
ARG65053 anti-GAL antibody WB image
Western blot: 35 µg of Mouse (A) and Rat (B) brain lysates (in RIPA buffer) stained with ARG65053 anti-GAL antibody at 2 µg/ml dilution and incubated at RT for 1 hour.
