ARG56678
anti-G-CSF antibody
anti-G-CSF antibody for ELISA,IHC-Formalin-fixed paraffin-embedded sections,Neutralizing,Western blot and Human
概述
| 产品描述 | Rabbit Polyclonal antibody recognizes G-CSF |
|---|---|
| 反应物种 | Hu |
| 应用 | ELISA, IHC-P, Neut, WB |
| 宿主 | Rabbit |
| 克隆 | Polyclonal |
| 同位型 | IgG |
| 靶点名称 | G-CSF |
| 抗原物种 | Human |
| 抗原 | E.coli derived Recombinant Human G-CSF. (TPLGPASSLP QSFLLKCLEQ VRKIQGDGAA LQEKLCATYK LCHPEELVLL GHSLGIPWAP LSSCPSQALQ LAGCLSQLHS GLFLYQGLLQ ALEGISPELG PTLDTLQLDV ADFATTIWQQ MEELGMAPAL QPTQGAMPAF ASAFQRRAGG VLVASHLQSF LEVSYRVLRH LAQP) |
| 偶联标记 | Un-conjugated |
| 別名 | Granulocyte colony-stimulating factor; Lenograstim; C17orf33; GCSF; G-CSF; Filgrastim; Pluripoietin; CSF3OS |
应用说明
| 应用建议 |
|
||||||||||
|---|---|---|---|---|---|---|---|---|---|---|---|
| 应用说明 | * The dilutions indicate recommended starting dilutions and the optimal dilutions or concentrations should be determined by the scientist. |
属性
| 形式 | Liquid |
|---|---|
| 纯化 | Affinity purification with immunogen. |
| 缓冲液 | PBS (pH 7.2) |
| 浓度 | 1 mg/ml |
| 存放说明 | For continuous use, store undiluted antibody at 2-8°C for up to a week. For long-term storage, aliquot and store at -20°C or below. Storage in frost free freezers is not recommended. Avoid repeated freeze/thaw cycles. Suggest spin the vial prior to opening. The antibody solution should be gently mixed before use. |
| 注意事项 | For laboratory research only, not for drug, diagnostic or other use. |
生物信息
| 数据库连接 |
Swiss-port # P09919 Human Granulocyte colony-stimulating factor |
|---|---|
| 基因名称 | CSF3 |
| 全名 | colony stimulating factor 3 (granulocyte) |
| 背景介绍 | The protein encoded by this gene is a cytokine that controls the production, differentiation, and function of granulocytes. The active protein is found extracellularly. Alternatively spliced transcript variants have been described for this gene. [provided by RefSeq, May 2010] |
| 生物功能 | Granulocyte/macrophage colony-stimulating factors are cytokines that act in hematopoiesis by controlling the production, differentiation, and function of 2 related white cell populations of the blood, the granulocytes and the monocytes-macrophages. This CSF induces granulocytes. [UniProt] |
| 预测分子量 | 22 kDa |
| 翻译后修饰 | O-glycan consists of Gal-GalNAc disaccharide which can be modified with up to two sialic acid residues (done in recombinantly expressed G-CSF from CHO cells). |
检测图片 (4) Click the Picture to Zoom In
-
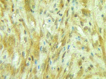
ARG56678 anti-G-CSF antibody IHC-P image
Immunohistochemistry: Formalin-fixed and paraffin-embedded sections of Human angiosarcoma. The recommended ARG56678 anti-G-CSF antibody concentration is 0.25 µg/mL with an overnight incubation at 4°C. An HRP-labeled polymer detection system was used with a DAB chromogen. Antigen Retrieval: Boil tissue section in Sodium Citrate buffer (pH 6.0) followed by cooling at RT for 20 min.
-
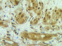
ARG56678 anti-G-CSF antibody IHC-P image
Immunohistochemistry: Formalin-fixed and paraffin-embedded sections of Human angiosarcoma. The recommended ARG56678 anti-G-CSF antibody concentration is 0.25 µg/mL with an overnight incubation at 4°C. An HRP-labeled polymer detection system was used with a DAB chromogen. Antigen Retrieval: Boil tissue section in Sodium Citrate buffer (pH 6.0) followed by cooling at RT for 20 min.
-
ARG56678 anti-G-CSF antibody WB image
Western blot: 250 - 0.24 ng of Human G-CSF stained with ARG56678 anti-G-CSF antibody, under non-reducing conditions.
-
ARG56678 anti-G-CSF antibody standard curve image
Sandwich ELISA: ARG56678 anti-G-CSF antibody as a capture antibody at 0.5 - 2.0 µg/ml combined with ARG56788 anti-G-CSF antibody (Biotin) as a detection antibody. Results of a typical standard run with optical density.
