ARG45580
anti-FoxJ1 antibody
anti-FoxJ1 antibody for Flow cytometry,ICC/IF,IHC-Formalin-fixed paraffin-embedded sections,Western blot and Human,Rat
概述
| 产品描述 | Rabbit Polyclonal antibody recognizes FoxJ1 |
|---|---|
| 反应物种 | Hu, Rat |
| 应用 | FACS, ICC/IF, IHC-P, WB |
| 宿主 | Rabbit |
| 克隆 | Polyclonal |
| 同位型 | IgG |
| 靶点名称 | FoxJ1 |
| 抗原物种 | Human |
| 抗原 | Recombinant protein containing to human FoxJ1. |
| 偶联标记 | Un-conjugated |
| 別名 | FOXJ1; Forkhead Box J1; HFH-4; HFH4; FKHL13; Hepatocyte Nuclear Factor 3 Forkhead Homolog 4; Forkhead-Related Protein FKHL13; Forkhead Box Protein J1; Forkhead Transcription Factor HFH-4; Fork Head Homologue 4; Forkhead-Like 13; CILD43 |
应用说明
| 应用建议 |
|
||||||||||
|---|---|---|---|---|---|---|---|---|---|---|---|
| 应用说明 | * The dilutions indicate recommended starting dilutions and the optimal dilutions or concentrations should be determined by the scientist. | ||||||||||
| 实际分子量 | 55 kDa |
属性
| 形式 | Liquid |
|---|---|
| 纯化 | Affinity purified |
| 缓冲液 | 0.2% Na2HPO4, 0.9% NaCl and 4% Trehalose. |
| 稳定剂 | 4% Trehalose |
| 浓度 | 0.5 mg/ml |
| 存放说明 | For continuous use, store undiluted antibody at 2-8°C for up to a week. For long-term storage, aliquot and store at -20°C or below. Storage in frost free freezers is not recommended. Avoid repeated freeze/thaw cycles. Suggest spin the vial prior to opening. The antibody solution should be gently mixed before use. |
| 注意事项 | For laboratory research only, not for drug, diagnostic or other use. |
生物信息
| 数据库连接 | |
|---|---|
| 基因名称 | FOXJ1 |
| 全名 | Forkhead Box J1 |
| 背景介绍 | This gene encodes a member of the forkhead family of transcription factors. Similar genes in zebrafish and mouse have been shown to regulate the transcription of genes that control the production of motile cilia. The mouse ortholog also functions in the determination of left-right asymmetry. Polymorphisms in this gene are associated with systemic lupus erythematosus and allergic rhinitis.[provided by RefSeq, Sep 2009] |
| 生物功能 | Transcription factor specifically required for the formation of motile cilia. Acts by activating transcription of genes that mediate assembly of motile cilia, such as CFAP157. Binds the DNA consensus sequences 5'-HWDTGTTTGTTTA-3' or 5'-KTTTGTTGTTKTW-3' (where H is not G, W is A or T, D is not C, and K is G or T). Activates the transcription of a variety of ciliary proteins in the developing brain and lung. [UniProt] |
| 细胞定位 | Nucleus. [UniProt] |
| 预测分子量 | 45 kDa |
检测图片 (5) Click the Picture to Zoom In
-
ARG45580 anti-FoxJ1 antibody ICC/IF image
Immunofluorescence: CACO-2 stained with ARG45580 anti-FoxJ1 antibody at 5 μg/ml dilution.
-
ARG45580 anti-FoxJ1 antibody WB image
Western blot: SW579 stained with ARG45580 anti-FoxJ1 antibody at 0.5 μg/ml dilution.
-
ARG45580 anti-FoxJ1 antibody FACS image
Flow Cytometry: HepG2 stained with ARG45580 anti-FoxJ1 antibody at 1 µg/10^6 cells dilution.
-
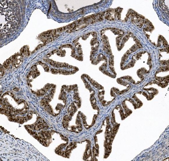
ARG45580 anti-FoxJ1 antibody IHC-P image
Immunohistochemistry: Rat ovary stained with ARG45580 anti-FoxJ1 antibody at 2 μg/ml dilution.
-
ARG45580 anti-FoxJ1 antibody WB image
Western blot: PC-12 stained with ARG45580 anti-FoxJ1 antibody at 0.5 μg/ml dilution.
