ARG46162
anti-Fn14 antibody
anti-Fn14 antibody for Western blot,IHC-Formalin-fixed paraffin-embedded sections and Human
概述
| 产品描述 | Rabbit Polyclonal antibody recognizes Fn14 |
|---|---|
| 反应物种 | Hu |
| 应用 | IHC-P, WB |
| 宿主 | Rabbit |
| 克隆 | Polyclonal |
| 同位型 | IgG |
| 靶点名称 | Fn14 |
| 抗原物种 | Human |
| 抗原 | This antibody was raised against a human IgG1 Fc-tagged Fn14 protein. |
| 偶联标记 | Un-conjugated |
| 別名 | TNFRSF12A; Tumor necrosis factor receptor superfamily member 12A; FGF-inducible 14; CD266; Fibroblast growth factor-inducible immediate-early response protein 14; TWEAKR; TweakR; CD antigen CD266; Tweak-receptor; FN14 |
应用说明
| 应用建议 |
|
||||||
|---|---|---|---|---|---|---|---|
| 应用说明 | * The dilutions indicate recommended starting dilutions and the optimal dilutions or concentrations should be determined by the scientist. |
属性
| 纯化 | Affinity chromatography purified |
|---|---|
| 缓冲液 | PBS and 0.02% Sodium azide. |
| 抗菌剂 | 0.02% Sodium azide |
| 浓度 | 1 mg/ml |
| 存放说明 | For continuous use, store undiluted antibody at 2-8°C for up to a week. For long-term storage, aliquot and store at -20°C. Storage in frost free freezers is not recommended. Avoid repeated freeze/thaw cycles. Suggest spin the vial prior to opening. The antibody solution should be gently mixed before use. |
| 注意事项 | For laboratory research only, not for drug, diagnostic or other use. |
生物信息
| 数据库连接 |
Swiss-port # Q9NP84 Human Tumor necrosis factor receptor superfamily member 12A |
|---|---|
| 基因名称 | TNFRSF12A |
| 全名 | tumor necrosis factor receptor superfamily, member 12A |
| 背景介绍 | Fibroblast growth factor-inducible 14 (Fn14) is the receptor for Tweak, a member of the TNF receptor family. It was first described as a weak inducer of apoptosis in some cell types. It is thought to promote angiogenesis and the proliferation of endothelial cells as well as modulating cellular adhesion to matrix proteins. Fn14 is highly expressed in glioma and some cancer cases of breast, pancreas, and liver. |
| 细胞定位 | Membrane |
| 预测分子量 | 14-17 kDa |
检测图片 (3) Click the Picture to Zoom In
-
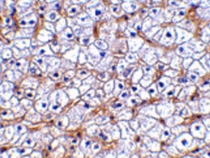
ARG46162 anti-Fn14 antibody IHC-P image
Immunohistochemistry: Human liver stained with ARG46162 anti-Fn14 antibody.
-
ARG46162 anti-Fn14 antibody ICC/IF image
Immunofluorescence: Human Liver stained with ARG46162 anti-Fn14 antibody.
-
ARG46162 anti-Fn14 antibody WB image
Western blot: HepG2 stained with ARG46162 anti-Fn14 antibody.
