ARG44662
anti-Fibrinogen gamma chain antibody
anti-Fibrinogen gamma chain antibody for IHC-Formalin-fixed paraffin-embedded sections,Immunoprecipitation,Western blot and Human
概述
| 产品描述 | Mouse Monoclonal antibody recognizes Fibrinogen gamma chain |
|---|---|
| 反应物种 | Hu |
| 应用 | IHC-P, IP, WB |
| 宿主 | Mouse |
| 克隆 | Monoclonal |
| 同位型 | IgG1 |
| 靶点名称 | Fibrinogen gamma chain |
| 抗原物种 | Human |
| 偶联标记 | Un-conjugated |
| 別名 | FGG; Fibrinogen Gamma Chain; Fibrinogen, Gamma Polypeptide; Testicular Tissue Protein Li 70 |
应用说明
| 应用建议 |
|
||||||||
|---|---|---|---|---|---|---|---|---|---|
| 应用说明 | * The dilutions indicate recommended starting dilutions and the optimal dilutions or concentrations should be determined by the scientist. |
属性
| 形式 | Liquid |
|---|---|
| 纯化 | Protein A purification |
| 缓冲液 | PBS with 0.09% sodium azide |
| 存放说明 | For continuous use, store undiluted antibody at 2-8°C for up to a week. For long-term storage, aliquot and store at -20°C or below. Storage in frost free freezers is not recommended. Avoid repeated freeze/thaw cycles. Suggest spin the vial prior to opening. The antibody solution should be gently mixed before use. |
| 注意事项 | For laboratory research only, not for drug, diagnostic or other use. |
生物信息
| 数据库连接 | |
|---|---|
| 基因名称 | FGG |
| 全名 | Fibrinogen Gamma Chain |
| 背景介绍 | The protein encoded by this gene is the gamma component of fibrinogen, a blood-borne glycoprotein comprised of three pairs of nonidentical polypeptide chains. Following vascular injury, fibrinogen is cleaved by thrombin to form fibrin which is the most abundant component of blood clots. In addition, various cleavage products of fibrinogen and fibrin regulate cell adhesion and spreading, display vasoconstrictor and chemotactic activities, and are mitogens for several cell types. Mutations in this gene lead to several disorders, including dysfibrinogenemia, hypofibrinogenemia and thrombophilia. Alternative splicing results in transcript variants encoding different isoforms. [provided by RefSeq, Aug 2015] |
| 生物功能 | Together with fibrinogen alpha (FGA) and fibrinogen beta (FGB), polymerizes to form an insoluble fibrin matrix. Has a major function in hemostasis as one of the primary components of blood clots. In addition, functions during the early stages of wound repair to stabilize the lesion and guide cell migration during re-epithelialization. Was originally thought to be essential for platelet aggregation, based on in vitro studies using anticoagulated blood. However, subsequent studies have shown that it is not absolutely required for thrombus formation in vivo. Enhances expression of SELP in activated platelets via an ITGB3-dependent pathway. Maternal fibrinogen is essential for successful pregnancy. Fibrin deposition is also associated with infection, where it protects against IFNG-mediated hemorrhage. May also facilitate the antibacterial immune response via both innate and T-cell mediated pathways. [UniProt] |
| 细胞定位 | Secreted. [UniProt] |
| 预测分子量 | 52 kDa |
| 翻译后修饰 | Disulfide bond, Glycoprotein, Isopeptide bond, Phosphoprotein, Sulfation. [UniProt] |
检测图片 (3) Click the Picture to Zoom In
-
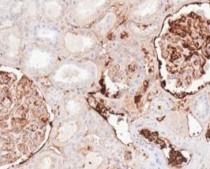
ARG44662 anti-Fibrinogen gamma chain antibody IHC-P image
Immunohistochemistry: Human Kidney stained with ARG44662 anti-Fibrinogen gamma chain antibody at 7.5 µg/mL dilution.
-
ARG44662 anti-Fibrinogen gamma chain antibody WB image
Western blot: HepG2 stained with ARG44662 anti-Fibrinogen gamma chain antibody at 1 µg/mL dilution.
-
ARG44662 anti-Fibrinogen gamma chain antibody IP image
Immunoprecipitation: HepG2 lysate immunoprecipitated with 2.5 µg of ARG44662 anti-Fibrinogen gamma chain antibody.
