ARG44658
anti-Fibrinogen antibody
anti-Fibrinogen antibody for ELISA,IHC-Formalin-fixed paraffin-embedded sections,Immunoprecipitation,Western blot and Human
概述
| 产品描述 | Rat Monoclonal antibody recognizes Fibrinogen |
|---|---|
| 反应物种 | Hu |
| 应用 | ELISA, IHC-P, IP, WB |
| 宿主 | Rat |
| 克隆 | Monoclonal |
| 同位型 | IgG2a |
| 靶点名称 | Fibrinogen |
| 抗原物种 | Human |
| 偶联标记 | Un-conjugated |
| 別名 | FGA; Fibrinogen Alpha Chain; Fibrinogen, A Alpha Polypeptide; AMYLD2; Fib2 |
应用说明
| 应用建议 |
|
||||||||||
|---|---|---|---|---|---|---|---|---|---|---|---|
| 应用说明 | * The dilutions indicate recommended starting dilutions and the optimal dilutions or concentrations should be determined by the scientist. |
属性
| 形式 | Liquid |
|---|---|
| 纯化 | Protein A purification |
| 缓冲液 | PBS with 0.09% sodium azide |
| 存放说明 | For continuous use, store undiluted antibody at 2-8°C for up to a week. For long-term storage, aliquot and store at -20°C or below. Storage in frost free freezers is not recommended. Avoid repeated freeze/thaw cycles. Suggest spin the vial prior to opening. The antibody solution should be gently mixed before use. |
| 注意事项 | For laboratory research only, not for drug, diagnostic or other use. |
生物信息
| 数据库连接 | |
|---|---|
| 基因名称 | FGA |
| 全名 | Fibrinogen Alpha Chain |
| 背景介绍 | This gene encodes the alpha subunit of the coagulation factor fibrinogen, which is a component of the blood clot. Following vascular injury, the encoded preproprotein is proteolytically processed by thrombin during the conversion of fibrinogen to fibrin. Mutations in this gene lead to several disorders, including dysfibrinogenemia, hypofibrinogenemia, afibrinogenemia and renal amyloidosis. Alternative splicing results in multiple transcript variants, at least one of which encodes an isoform that undergoes proteolytic processing. [provided by RefSeq, Jan 2016] |
| 生物功能 | Cleaved by the protease thrombin to yield monomers which, together with fibrinogen beta (FGB) and fibrinogen gamma (FGG), polymerize to form an insoluble fibrin matrix. Fibrin has a major function in hemostasis as one of the primary components of blood clots. In addition, functions during the early stages of wound repair to stabilize the lesion and guide cell migration during re-epithelialization. Was originally thought to be essential for platelet aggregation, based on in vitro studies using anticoagulated blood. However, subsequent studies have shown that it is not absolutely required for thrombus formation in vivo. Enhances expression of SELP in activated platelets via an ITGB3-dependent pathway. Maternal fibrinogen is essential for successful pregnancy. Fibrin deposition is also associated with infection, where it protects against IFNG-mediated hemorrhage. May also facilitate the immune response via both innate and T-cell mediated pathways. [UniProt] |
| 细胞定位 | Amyloid, Secreted. [UniProt] |
| 预测分子量 | 95 kDa |
| 翻译后修饰 | Disulfide bond, Glycoprotein, Hydroxylation, Isopeptide bond, Phosphoprotein. [UniProt] |
检测图片 (3) Click the Picture to Zoom In
-
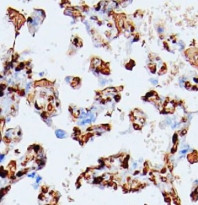
ARG44658 anti-Fibrinogen antibody IHC-P image
Immunohistochemistry: Human Placenta stained with ARG44658 anti-Fibrinogen antibody at 2 µg/mL dilution.
-
ARG44658 anti-Fibrinogen antibody WB image
Western blot: Human Plasma stained with ARG44658 anti-Fibrinogen antibody at 1 µg/mL dilution.
-
ARG44658 anti-Fibrinogen antibody IP image
Immunoprecipitation: KT82 lysate immunoprecipitated with 2.5 µg of ARG44658 anti-Fibrinogen antibody.
