ARG55884
anti-Fatty Acid Synthase antibody
anti-Fatty Acid Synthase antibody for Flow cytometry,ICC/IF,IHC-Formalin-fixed paraffin-embedded sections,Western blot and Human
概述
| 产品描述 | Rabbit Polyclonal antibody recognizes Fatty Acid Synthase |
|---|---|
| 反应物种 | Hu |
| 应用 | FACS, ICC/IF, IHC-P, WB |
| 宿主 | Rabbit |
| 克隆 | Polyclonal |
| 同位型 | IgG |
| 靶点名称 | Fatty Acid Synthase |
| 抗原物种 | Human |
| 抗原 | KLH-conjugated synthetic peptide corresponding to aa. 942-973 (Center) of Human Fatty Acid Synthase. |
| 偶联标记 | Un-conjugated |
| 別名 | EC 2.3.1.85; EC 1.3.1.39; Fatty acid synthase; EC 2.3.1.41; FAS; EC 4.2.1.59; OA-519; EC 2.3.1.38; EC 2.3.1.39; EC 3.1.2.14; EC 1.1.1.100; SDR27X1 |
应用说明
| 应用建议 |
|
||||||||||
|---|---|---|---|---|---|---|---|---|---|---|---|
| 应用说明 | * The dilutions indicate recommended starting dilutions and the optimal dilutions or concentrations should be determined by the scientist. | ||||||||||
| 阳性对照 | A549 |
属性
| 形式 | Liquid |
|---|---|
| 纯化 | This antibody is prepared by Saturated Ammonium Sulfate (SAS) precipitation followed by dialysis against PBS. |
| 缓冲液 | PBS and 0.09% (W/V) Sodium azide |
| 抗菌剂 | 0.09% (W/V) Sodium azide |
| 存放说明 | For continuous use, store undiluted antibody at 2-8°C for up to a week. For long-term storage, aliquot and store at -20°C or below. Storage in frost free freezers is not recommended. Avoid repeated freeze/thaw cycles. Suggest spin the vial prior to opening. The antibody solution should be gently mixed before use. |
| 注意事项 | For laboratory research only, not for drug, diagnostic or other use. |
生物信息
| 数据库连接 | |
|---|---|
| 基因名称 | FASN |
| 全名 | fatty acid synthase |
| 背景介绍 | The enzyme encoded by this gene is a multifunctional protein. Its main function is to catalyze the synthesis of palmitate from acetyl-CoA and malonyl-CoA, in the presence of NADPH, into long-chain saturated fatty acids. In some cancer cell lines, this protein has been found to be fused with estrogen receptor-alpha (ER-alpha), in which the N-terminus of FAS is fused in-frame with the C-terminus of ER-alpha. [provided by RefSeq, Jul 2008] |
| 生物功能 | Fatty acid synthetase catalyzes the formation of long-chain fatty acids from acetyl-CoA, malonyl-CoA and NADPH. This multifunctional protein has 7 catalytic activities and an acyl carrier protein. [UniProt] |
| 产品亮点 | Related products: Fatty Acid Synthase antibodies; Anti-Rabbit IgG secondary antibodies; Related news: Is it a potential cancer therapy by preventing acetate capture? |
| 预测分子量 | 273 kDa |
检测图片 (4) Click the Picture to Zoom In
-
ARG55884 anti-Fatty Acid Synthase antibody ICC/IF image
Immunofluorescence: HeLa cells stained with ARG55884 anti-Fatty Acid Synthase antibody (green). DAPI (blue) for nuclear staining.
-
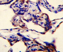
ARG55884 anti-Fatty Acid Synthase antibody IHC-P image
Immunohistochemistry: Formalin-fixed and paraffin-embedded Human placenta tissue stained with ARG55884 anti-Fatty Acid Synthase antibody.
-
ARG55884 anti-Fatty Acid Synthase antibody WB image
Western blot: 20 µg of A549 cell lysate stained with ARG55884 anti-Fatty Acid Synthase antibody at 1:16000 dilution.
-
ARG55884 anti-Fatty Acid Synthase antibody FACS image
Flow Cytometry: HeLa cells stained with ARG55884 anti-Fatty Acid Synthase antibody (right histogram) or without primary antibody control (left histogram), followed by incubation with FITC labelled secondary antibody.
