ARG46172
anti-Fatso antibody
anti-Fatso antibody for Western blot,IHC-Formalin-fixed paraffin-embedded sections and Human
概述
| 产品描述 | Rabbit Polyclonal antibody recognizes Fatso |
|---|---|
| 反应物种 | Hu |
| 应用 | IHC-P, WB |
| 宿主 | Rabbit |
| 克隆 | Polyclonal |
| 同位型 | IgG |
| 靶点名称 | Fatso |
| 抗原物种 | Human |
| 抗原 | A 15 amino acid synthetic peptide within the first 50 amino acids of human Fatso. |
| 偶联标记 | Un-conjugated |
| 別名 | FTO; EC 1.14.11.-; Alpha-ketoglutarate-dependent dioxygenase FTO; Fat mass and obesity-associated protein; ALKBH9 |
应用说明
| 应用建议 |
|
||||||
|---|---|---|---|---|---|---|---|
| 应用说明 | * The dilutions indicate recommended starting dilutions and the optimal dilutions or concentrations should be determined by the scientist. |
属性
| 纯化 | Affinity chromatography purified |
|---|---|
| 缓冲液 | PBS and 0.02% Sodium azide. |
| 抗菌剂 | 0.02% Sodium azide |
| 浓度 | 1 mg/ml |
| 存放说明 | For continuous use, store undiluted antibody at 2-8°C for up to a week. For long-term storage, aliquot and store at -20°C. Storage in frost free freezers is not recommended. Avoid repeated freeze/thaw cycles. Suggest spin the vial prior to opening. The antibody solution should be gently mixed before use. |
| 注意事项 | For laboratory research only, not for drug, diagnostic or other use. |
生物信息
| 数据库连接 |
Swiss-port # Q9C0B1 Human Alpha-ketoglutarate-dependent dioxygenase FTO |
|---|---|
| 基因名称 | FTO |
| 全名 | fat mass and obesity associated |
| 背景介绍 | The FTO gene is the most robust gene for common obesity characterized to date. FTO gene expression has been found to be significantly upregulated in the hypothalamus of rats after food deprivation and strongly negatively correlated with the expression of orexin peptide which is involved in the stimulation of food intake (Fredricksson R et al., 2008). Deletion analysis of FTO gene in mice showed that Fto is functionally involved in the control of both energy intake and energy expenditure (Fischer J et al., 2009) |
| 预测分子量 | 58 kDa |
检测图片 (3) Click the Picture to Zoom In
-
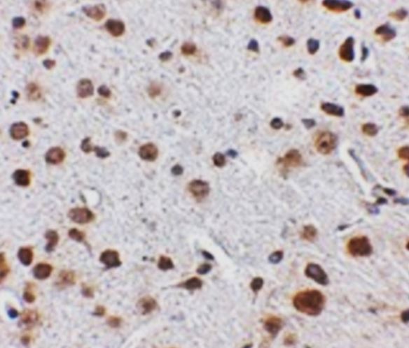
ARG46172 anti-Fatso antibody IHC-P image
Immunohistochemistry: Mouse brain stained with ARG46172 anti-Fatso antibody.
-
ARG46172 anti-Fatso antibody ICC/IF image
Immunofluorescence: Mouse Brain stained with ARG46172 anti-Fatso antibody.
-
ARG46172 anti-Fatso antibody WB image
Western blot: Human uterus stained with ARG46172 anti-Fatso antibody.
