ARG10090
anti-Factor X antibody [F10-1]
anti-Factor X antibody [F10-1] for ELISA,Western blot and Human
Cell Biology and Cellular Response antibody
概述
| 产品描述 | Mouse Monoclonal antibody [F10-1] recognizes Factor X |
|---|---|
| 反应物种 | Hu |
| 应用 | ELISA, WB |
| 宿主 | Mouse |
| 克隆 | Monoclonal |
| 克隆号 | F10-1 |
| 同位型 | IgG1, kappa |
| 靶点名称 | Factor X |
| 抗原物种 | Human |
| 抗原 | Human Factor X |
| 偶联标记 | Un-conjugated |
| 別名 | FX; Stuart factor; EC 3.4.21.6; Stuart-Prower factor; FXA; Coagulation factor X |
应用说明
| 应用说明 | * The dilutions indicate recommended starting dilutions and the optimal dilutions or concentrations should be determined by the scientist. |
|---|
属性
| 形式 | Liquid |
|---|---|
| 纯化 | Protein G affinity purified |
| 缓冲液 | 0.01M PBS (pH 7.2) |
| 浓度 | 1 mg/ml |
| 存放说明 | For continuous use, store undiluted antibody at 2-8°C for up to a week. For long-term storage, aliquot and store at -20°C or below. Storage in frost free freezers is not recommended. Avoid repeated freeze/thaw cycles. Suggest spin the vial prior to opening. The antibody solution should be gently mixed before use. |
| 注意事项 | For laboratory research only, not for drug, diagnostic or other use. |
生物信息
| 数据库连接 | |
|---|---|
| 基因名称 | F10 |
| 全名 | coagulation factor X |
| 背景介绍 | Factor X is the first enzyme in the common pathway of blood coagulation. It can be activated by Factor IXa (with Factor VIII cofactor) of the contact pathway and by Factor VIIa of the tissue factor pathway. After activation, It cleaves prothrombin to form thrombin. Thrombin not only transforms Fibrinogen to form Fibrin and but also activates Factor XIII to stabilize Fibrin in the thrombus. |
| 生物功能 | Factor Xa is a vitamin K-dependent glycoprotein that converts prothrombin to thrombin in the presence of factor Va, calcium and phospholipid during blood clotting. [UniProt] |
| 研究领域 | Cell Biology and Cellular Response antibody |
| 预测分子量 | 55 kDa |
| 翻译后修饰 | The vitamin K-dependent, enzymatic carboxylation of some glutamate residues allows the modified protein to bind calcium. N- and O-glycosylated. O-glycosylated with core 1 or possibly core 8 glycans. The activation peptide is cleaved by factor IXa (in the intrinsic pathway), or by factor VIIa (in the extrinsic pathway). The iron and 2-oxoglutarate dependent 3-hydroxylation of aspartate and asparagine is (R) stereospecific within EGF domains. |
检测图片 (2) Click the Picture to Zoom In
-
ARG10090 anti-Factor X antibody [F10-1] WB image
Western Blot: Purified human Factor-X antigen (200 ng/well) stained with anti-Factor X antibody [F10-1] (ARG10090) at 1 μg/mL
-
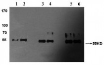
ARG10090 anti-Factor X antibody [F10-1] WB image
Western Blot: 1,2: Anti-human Factor-X ab used at 0.2 μg/mL dilution 3,4: Anti-human Factor-X ab used at 0.5 μg/mL dilution 5,6: Anti-human Factor-X ab used at 1 μg/mL dilution stained with anti-Factor X antibody [F10-1] (ARG10090)
