ARG42853
anti-Factor VII antibody
anti-Factor VII antibody for IHC-Formalin-fixed paraffin-embedded sections,Western blot and Human,Mouse
概述
| 产品描述 | Rabbit Polyclonal antibody recognizes Factor VII |
|---|---|
| 反应物种 | Hu, Ms |
| 应用 | IHC-P, WB |
| 宿主 | Rabbit |
| 克隆 | Polyclonal |
| 同位型 | IgG |
| 靶点名称 | Factor VII |
| 抗原物种 | Human |
| 抗原 | Fusion protein of Human Factor VII. |
| 偶联标记 | Un-conjugated |
| 別名 | Eptacog alfa; Coagulation factor VII; SPCA; Serum prothrombin conversion accelerator; EC 3.4.21.21; Proconvertin |
应用说明
| 应用建议 |
|
||||||
|---|---|---|---|---|---|---|---|
| 应用说明 | * The dilutions indicate recommended starting dilutions and the optimal dilutions or concentrations should be determined by the scientist. | ||||||
| 阳性对照 | WB: NIH/3T3, 293T and Jurkat IHC-P: Human lung cancer and Human thyroid cancer |
||||||
| 实际分子量 | ~ 50 kDa |
属性
| 形式 | Liquid |
|---|---|
| 纯化 | Affinity purification with immunogen. |
| 缓冲液 | PBS (pH 7.4), 0.05% Sodium azide and 40% Glycerol. |
| 抗菌剂 | 0.05% Sodium azide |
| 稳定剂 | 40% Glycerol |
| 浓度 | 0.4 mg/ml |
| 存放说明 | For continuous use, store undiluted antibody at 2-8°C for up to a week. For long-term storage, aliquot and store at -20°C. Storage in frost free freezers is not recommended. Avoid repeated freeze/thaw cycles. Suggest spin the vial prior to opening. The antibody solution should be gently mixed before use. |
| 注意事项 | For laboratory research only, not for drug, diagnostic or other use. |
生物信息
| 数据库连接 | |
|---|---|
| 基因名称 | F7 |
| 全名 | coagulation factor VII (serum prothrombin conversion accelerator) |
| 背景介绍 | This gene encodes coagulation factor VII which is a vitamin K-dependent factor essential for hemostasis. This factor circulates in the blood in a zymogen form, and is converted to an active form by either factor IXa, factor Xa, factor XIIa, or thrombin by minor proteolysis. Upon activation of the factor VII, a heavy chain containing a catalytic domain and a light chain containing 2 EGF-like domains are generated, and two chains are held together by a disulfide bond. In the presence of factor III and calcium ions, the activated factor then further activates the coagulation cascade by converting factor IX to factor IXa and/or factor X to factor Xa. Defects in this gene can cause coagulopathy. Alternative splicing results in multiple transcript variants encoding different isoforms that may undergo similar proteolytic processing to generate mature polypeptides. [provided by RefSeq, Aug 2015] |
| 生物功能 | Initiates the extrinsic pathway of blood coagulation. Serine protease that circulates in the blood in a zymogen form. Factor VII is converted to factor VIIa by factor Xa, factor XIIa, factor IXa, or thrombin by minor proteolysis. In the presence of tissue factor and calcium ions, factor VIIa then converts factor X to factor Xa by limited proteolysis. Factor VIIa will also convert factor IX to factor IXa in the presence of tissue factor and calcium. [UniProt] |
| 细胞定位 | Secreted. [UniProt] |
| 预测分子量 | 52 kDa |
| 翻译后修饰 | The vitamin K-dependent, enzymatic carboxylation of some glutamate residues allows the modified protein to bind calcium. The iron and 2-oxoglutarate dependent 3-hydroxylation of aspartate and asparagine is (R) stereospecific within EGF domains. O- and N-glycosylated. N-glycosylation at Asn-205 occurs cotranslationally and is mediated by STT3A-containing complexes, while glycosylation at Asn-382 is post-translational and is mediated STT3B-containing complexes before folding. O-fucosylated by POFUT1 on a conserved serine or threonine residue found in the consensus sequence C2-X(4,5)-[S/T]-C3 of EGF domains, where C2 and C3 are the second and third conserved cysteines. Can be either O-glucosylated or O-xylosylated at Ser-112 by POGLUT1 in vitro. [UniProt] |
检测图片 (3) Click the Picture to Zoom In
-
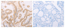
ARG42853 anti-Factor VII antibody IHC-P image
Immunohistochemistry: Paraffin-embedded Human lung cancer tissue stained with ARG42853 anti-Factor VII antibody (left) at 1:40 dilution, or the same antibody pre-incubated with fusion protein (right). (Original magnification: X200).
-
ARG42853 anti-Factor VII antibody WB image
Western blot: 40 µg of NIH/3T3, 293T and Jurkat cell lysates stained with ARG42853 anti-Factor VII antibody at 1:400 dilution.
-
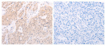
ARG42853 anti-Factor VII antibody IHC-P image
Immunohistochemistry: Paraffin-embedded Human thyroid cancer tissue stained with ARG42853 anti-Factor VII antibody (left) at 1:40 dilution, or the same antibody pre-incubated with fusion protein (right). (Original magnification: X200).
