ARG63864
anti-FZD8 / Frizzled 8 antibody
anti-FZD8 / Frizzled 8 antibody for ICC/IF,IHC-Formalin-fixed paraffin-embedded sections,Western blot and Human
Cancer antibody; Developmental Biology antibody; Signaling Transduction antibody
概述
| 产品描述 | Goat Polyclonal antibody recognizes FZD8 / Frizzled 8 |
|---|---|
| 反应物种 | Hu |
| 预测物种 | Ms, Rat, Cow, Dog |
| 应用 | ICC/IF, IHC-P, WB |
| 宿主 | Goat |
| 克隆 | Polyclonal |
| 同位型 | IgG |
| 靶点名称 | FZD8 / Frizzled 8 |
| 抗原物种 | Human |
| 抗原 | C-SYPKQMPLSQV |
| 偶联标记 | Un-conjugated |
| 別名 | Fz-8; Frizzled-8; FZ-8; hFZ8; hFz8 |
应用说明
| 应用建议 |
|
||||||||
|---|---|---|---|---|---|---|---|---|---|
| 应用说明 | IHC-P: Antigen Retrieval: Microwaved tissue section in Tris/EDTA buffer (pH 9.0). WB: Recommend incubate at RT for 1h. * The dilutions indicate recommended starting dilutions and the optimal dilutions or concentrations should be determined by the scientist. |
属性
| 形式 | Liquid |
|---|---|
| 纯化 | Purified from goat serum by antigen affinity chromatography. |
| 缓冲液 | Tris saline (pH 7.3), 0.02% Sodium azide and 0.5% BSA. |
| 抗菌剂 | 0.02% Sodium azide |
| 稳定剂 | 0.5% BSA |
| 浓度 | 0.5 mg/ml |
| 存放说明 | For continuous use, store undiluted antibody at 2-8°C for up to a week. For long-term storage, aliquot and store at -20°C or below. Storage in frost free freezers is not recommended. Avoid repeated freeze/thaw cycles. Suggest spin the vial prior to opening. The antibody solution should be gently mixed before use. |
| 注意事项 | For laboratory research only, not for drug, diagnostic or other use. |
生物信息
| 数据库连接 | |
|---|---|
| 背景介绍 | This intronless gene is a member of the frizzled gene family. Members of this family encode seven-transmembrane domain proteins that are receptors for the Wingless type MMTV integration site family of signaling proteins. Most frizzled receptors are coupled to the beta-catenin canonical signaling pathway. This gene is highly expressed in two human cancer cell lines, indicating that it may play a role in several types of cancer. The crystal structure of the extracellular cysteine-rich domain of a similar mouse protein has been determined. [provided by RefSeq, Jul 2008] |
| 研究领域 | Cancer antibody; Developmental Biology antibody; Signaling Transduction antibody |
| 预测分子量 | 73 kDa |
| 翻译后修饰 | Ubiquitinated by ZNRF3, leading to its degradation by the proteasome. |
检测图片 (2) Click the Picture to Zoom In
-
ARG63864 anti-FZD8 / Frizzled 8 antibody WB image
Western blot: Human pancreas lysate (35 µg protein in RIPA buffer) stained with ARG63864 anti-FZD8 / Frizzled 8 antibody at 1 µg/ml dilution.
-
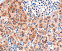
ARG63864 anti-FZD8 / Frizzled 8 antibody IHC-P image
Immunohistochemistry: Paraffin embedded Human Pancreas. (Microwaved antigen retrieval with Tris/EDTA buffer pH9) stained with ARG63864 anti-FZD8 / Frizzled 8 antibody at 3 µg/ml dilution followed by HRP-staining.
