ARG59221
anti-FZD1 / Frizzled 1 antibody
anti-FZD1 / Frizzled 1 antibody for IHC-Formalin-fixed paraffin-embedded sections,Western blot and Human
概述
| 产品描述 | Rabbit Polyclonal antibody recognizes FZD1 / Frizzled 1 |
|---|---|
| 反应物种 | Hu |
| 预测物种 | Hm |
| 应用 | IHC-P, WB |
| 宿主 | Rabbit |
| 克隆 | Polyclonal |
| 同位型 | IgG |
| 靶点名称 | FZD1 / Frizzled 1 |
| 抗原物种 | Human |
| 抗原 | Synthetic peptide corresponding to aa. 369-400 of Human FZD1 / Frizzled 1. (YIAGFLLEDRVVCNDKFAEDGARTVAQGTKKE) |
| 偶联标记 | Un-conjugated |
| 別名 | Frizzled-1; Fz-1; hFz1; FzE1 |
应用说明
| 应用建议 |
|
||||||
|---|---|---|---|---|---|---|---|
| 应用说明 | IHC-P: Antigen Retrieval: By heat mediation. * The dilutions indicate recommended starting dilutions and the optimal dilutions or concentrations should be determined by the scientist. |
属性
| 形式 | Liquid |
|---|---|
| 纯化 | Affinity purification with immunogen. |
| 缓冲液 | 0.9% NaCl, 0.2% Na2HPO4, 0.05% Sodium azide and 5% BSA. |
| 抗菌剂 | 0.05% Sodium azide |
| 稳定剂 | 5% BSA |
| 浓度 | 0.5 mg/ml |
| 存放说明 | For continuous use, store undiluted antibody at 2-8°C for up to a week. For long-term storage, aliquot and store at -20°C or below. Storage in frost free freezers is not recommended. Avoid repeated freeze/thaw cycles. Suggest spin the vial prior to opening. The antibody solution should be gently mixed before use. |
| 注意事项 | For laboratory research only, not for drug, diagnostic or other use. |
生物信息
| 数据库连接 | |
|---|---|
| 基因名称 | FZD1 |
| 全名 | frizzled class receptor 1 |
| 背景介绍 | Members of the 'frizzled' gene family encode 7-transmembrane domain proteins that are receptors for Wnt signaling proteins. The FZD1 protein contains a signal peptide, a cysteine-rich domain in the N-terminal extracellular region, 7 transmembrane domains, and a C-terminal PDZ domain-binding motif. The FZD1 transcript is expressed in various tissues. [provided by RefSeq, Jul 2008] |
| 生物功能 | Receptor for Wnt proteins. Most of frizzled receptors are coupled to the beta-catenin canonical signaling pathway, which leads to the activation of disheveled proteins, inhibition of GSK-3 kinase, nuclear accumulation of beta-catenin and activation of Wnt target genes. A second signaling pathway involving PKC and calcium fluxes has been seen for some family members, but it is not yet clear if it represents a distinct pathway or if it can be integrated in the canonical pathway, as PKC seems to be required for Wnt-mediated inactivation of GSK-3 kinase. Both pathways seem to involve interactions with G-proteins. May be involved in transduction and intercellular transmission of polarity information during tissue morphogenesis and/or in differentiated tissues. Activated by Wnt3A, Wnt3, Wnt1 and to a lesser extent Wnt2, but not by Wnt4, Wnt5A, Wnt5B, Wnt6, Wnt7A or Wnt7B. [UniProt] |
| 细胞定位 | Cell membrane; Multi-pass membrane protein. [UniProt] |
| 预测分子量 | 71 kDa |
| 翻译后修饰 | Ubiquitinated by ZNRF3, leading to its degradation by the proteasome. [UniProt] |
检测图片 (2) Click the Picture to Zoom In
-
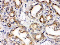
ARG59221 anti-FZD1 / Frizzled 1 antibody IHC-P image
Immunohistochemistry: Paraffin-embedded Human prostatic cancer stained with ARG59221 anti-FZD1 / Frizzled 1 antibody.
-
ARG59221 anti-FZD1 / Frizzled 1 antibody WB image
Western blot: 40 µg of 22RV1 and 293T whole cell lysates stained with ARG59221 anti-FZD1 / Frizzled 1 antibody at 0.5 µg/ml dilution.
