ARG45522
anti-FRY antibody
anti-FRY antibody for Flow cytometry,IHC-Formalin-fixed paraffin-embedded sections,Western blot and Human,Mouse,Rat
概述
| 产品描述 | Rabbit Polyclonal antibody recognizes FRY |
|---|---|
| 反应物种 | Hu, Ms, Rat |
| 应用 | FACS, IHC-P, WB |
| 宿主 | Rabbit |
| 克隆 | Polyclonal |
| 同位型 | IgG |
| 靶点名称 | FRY |
| 抗原物种 | Human |
| 抗原 | Recombinant protein containing to human FRY. |
| 偶联标记 | Un-conjugated |
| 別名 | FRY; FRY Microtubule Binding Protein; BA37E23.1; 13CDNA73; C13orf14; CG003; Protein Furry Homolog; Chromosome 13 Open Reading Frame 14; Furry Homolog (Drosophila); WUGSC:H_2G3A.1; Furry Homolog; BA207N4.2; 214K23.2 |
应用说明
| 应用建议 |
|
||||||||
|---|---|---|---|---|---|---|---|---|---|
| 应用说明 | * The dilutions indicate recommended starting dilutions and the optimal dilutions or concentrations should be determined by the scientist. | ||||||||
| 实际分子量 | 339 kDa |
属性
| 形式 | Liquid |
|---|---|
| 纯化 | Affinity purified |
| 缓冲液 | 0.2% Na2HPO4, 0.9% NaCl and 4% Trehalose. |
| 稳定剂 | 4% Trehalose |
| 浓度 | 0.5 mg/ml |
| 存放说明 | For continuous use, store undiluted antibody at 2-8°C for up to a week. For long-term storage, aliquot and store at -20°C or below. Storage in frost free freezers is not recommended. Avoid repeated freeze/thaw cycles. Suggest spin the vial prior to opening. The antibody solution should be gently mixed before use. |
| 注意事项 | For laboratory research only, not for drug, diagnostic or other use. |
生物信息
| 数据库连接 | |
|---|---|
| 基因名称 | FRY |
| 全名 | FRY Microtubule Binding Protein |
| 背景介绍 | Predicted to enable enzyme inhibitor activity. Predicted to be involved in cell morphogenesis and neuron projection development. Predicted to be located in centrosome; cytoplasm; and spindle pole. Predicted to be active in cell cortex and site of polarized growth. [provided by Alliance of Genome Resources, Feb 2025] |
| 生物功能 | Plays a crucial role in the structural integrity of mitotic centrosomes and in the maintenance of spindle bipolarity by promoting PLK1 activity at the spindle poles in early mitosis. May function as a scaffold promoting the interaction between AURKA and PLK1, thereby enhancing AURKA-mediated PLK1 phosphorylation. [UniProt] |
| 细胞定位 | Cytoplasm; Cytoskeleton. [UniProt] |
| 预测分子量 | 339 kDa |
| 翻译后修饰 | Phosphoprotein. [UniProt] |
检测图片 (5) Click the Picture to Zoom In
-
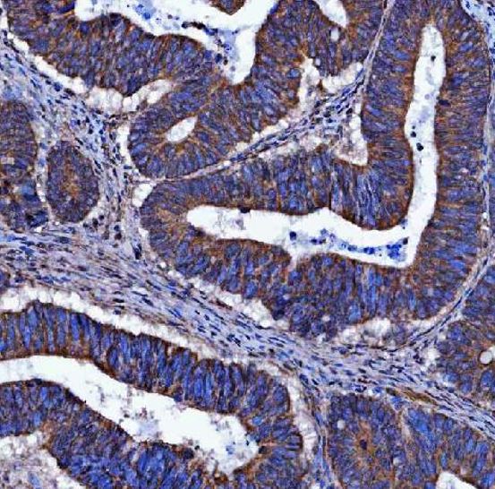
ARG45522 anti-FRY antibody IHC-P image
Immunohistochemistry: Human colorectal adenocarcinoma stained with ARG45522 anti-FRY antibody at 2 μg/ml dilution.
-
ARG45522 anti-FRY antibody WB image
Western blot: RT4 stained with ARG45522 anti-FRY antibody at 0.5 μg/ml dilution.
-
ARG45522 anti-FRY antibody FACS image
Flow Cytometry: SiHa stained with ARG45522 anti-FRY antibody at 1 µg/10^6 cells dilution.
-
ARG45522 anti-FRY antibody WB image
Western blot: Rat brain stained with ARG45522 anti-FRY antibody at 0.5 μg/ml dilution.
-
ARG45522 anti-FRY antibody WB image
Western blot: Mouse brain stained with ARG45522 anti-FRY antibody at 0.5 μg/ml dilution.
