ARG43138
anti-FRMD6 / Willin antibody
anti-FRMD6 / Willin antibody for Flow cytometry,ICC/IF,IHC-Formalin-fixed paraffin-embedded sections,Western blot and Human,Mouse,Rat
概述
| 产品描述 | Rabbit Polyclonal antibody recognizes FRMD6 / Willin |
|---|---|
| 反应物种 | Hu, Ms, Rat |
| 应用 | FACS, ICC/IF, IHC-P, WB |
| 宿主 | Rabbit |
| 克隆 | Polyclonal |
| 同位型 | IgG |
| 靶点名称 | FRMD6 / Willin |
| 抗原物种 | Human |
| 抗原 | Recombinant protein corresponding to M1-E95 of Human FRMD6 / Willin. |
| 偶联标记 | Un-conjugated |
| 別名 | FERM domain-containing protein 6; Willin; c14_5320; C14orf31; EX1 |
应用说明
| 应用建议 |
|
||||||||||
|---|---|---|---|---|---|---|---|---|---|---|---|
| 应用说明 | IHC-P: Antigen Retrieval: Heat mediation was performed in EDTA buffer (pH 8.0). * The dilutions indicate recommended starting dilutions and the optimal dilutions or concentrations should be determined by the scientist. |
||||||||||
| 实际分子量 | ~ 70 kDa |
属性
| 形式 | Liquid |
|---|---|
| 纯化 | Immunogen affinity purified. |
| 缓冲液 | 0.2% Na2HPO4, 0.9% NaCl, 0.05% Sodium azide and 4% Trehalose. |
| 抗菌剂 | 0.05% Sodium azide |
| 稳定剂 | 4% Trehalose |
| 浓度 | 0.5 mg/ml |
| 存放说明 | For continuous use, store undiluted antibody at 2-8°C for up to a week. For long-term storage, aliquot and store at -20°C or below. Storage in frost free freezers is not recommended. Avoid repeated freeze/thaw cycles. Suggest spin the vial prior to opening. The antibody solution should be gently mixed before use. |
| 注意事项 | For laboratory research only, not for drug, diagnostic or other use. |
生物信息
| 数据库连接 | |
|---|---|
| 基因名称 | FRMD6 |
| 全名 | FERM domain containing 6 |
| 细胞定位 | Cytoplasm. Cell membrane; Peripheral membrane protein; Cytoplasmic side. Note=Can colocalize with actin. [UniProt] |
| 预测分子量 | 72 kDa |
检测图片 (4) Click the Picture to Zoom In
-
ARG43138 anti-FRMD6 / Willin antibody ICC/IF image
Immunofluorescence: A431 cells were blocked with 10% goat serum and then stained with ARG43138 anti-FRMD6 / Willin antibody (green) at 2 µg/ml dilution, overnight at 4°C. DAPI (blue) for nuclear staining.
-
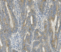
ARG43138 anti-FRMD6 / Willin antibody IHC-P image
Immunohistochemistry: Paraffin-embedded Human rectum cancer tissue. Antigen Retrieval: Heat mediation was performed in EDTA buffer (pH 8.0). The tissue section was blocked with 10% goat serum. The tissue section was then stained with ARG43138 anti-FRMD6 / Willin antibody at 1 µg/ml dilution, overnight at 4°C.
-
ARG43138 anti-FRMD6 / Willin antibody WB image
Western blot: 50 µg of sample under reducing conditions. HeLa, PC-3, PANC-1, Caco-2, PC-12 and Neuro-2a whole cell lysates stained with ARG43138 anti-FRMD6 / Willin antibody at 0.5 µg/ml dilution, overnight at 4°C.
-
ARG43138 anti-FRMD6 / Willin antibody FACS image
Flow Cytometry: A431 cells were blocked with 10% normal goat serum and then stained with ARG43138 anti-FRMD6 / Willin antibody (blue) at 1 µg/10^6 cells for 30 min at 20°C, followed by incubation with DyLight®488 labelled secondary antibody. Isotype control antibody (green) was rabbit IgG (1 µg/10^6 cells) used under the same conditions. Unlabelled sample (red) was also used as a control.
