ARG51637
anti-FOXO4 phospho (Ser197) antibody
anti-FOXO4 phospho (Ser197) antibody for ICC/IF,IHC-Formalin-fixed paraffin-embedded sections,Western blot and Human,Mouse,Rat
Cancer antibody; Cell Biology and Cellular Response antibody; Cell Death antibody; Gene Regulation antibody; Metabolism antibody
概述
| 产品描述 | Rabbit Polyclonal antibody recognizes FOXO4 phospho (Ser197) |
|---|---|
| 反应物种 | Hu, Ms, Rat |
| 应用 | ICC/IF, IHC-P, WB |
| 宿主 | Rabbit |
| 克隆 | Polyclonal |
| 同位型 | IgG |
| 靶点名称 | FOXO4 |
| 抗原物种 | Human |
| 抗原 | Peptide sequence around phosphorylation site of serine 197 (A-A-S(p)-M-D) derived from Human AFX. |
| 偶联标记 | Un-conjugated |
| 別名 | AFX1; MLLT7; AFX; Forkhead box protein O4; Fork head domain transcription factor AFX1 |
应用说明
| 应用建议 |
|
||||||||
|---|---|---|---|---|---|---|---|---|---|
| 应用说明 | * The dilutions indicate recommended starting dilutions and the optimal dilutions or concentrations should be determined by the scientist. |
属性
| 形式 | Liquid |
|---|---|
| 纯化 | Antibodies were produced by immunizing rabbits with KLH-conjugated synthetic phosphopeptide. Antibodies were purified by affinity-chromatography using epitope-specific phosphopeptide. In addition, non-phospho specific antibodies were removed by chromatogramphy using non-phosphopeptide. |
| 缓冲液 | PBS (without Mg2+ and Ca2+, pH 7.4), 150mM NaCl, 0.02% Sodium azide and 50% Glycerol. |
| 抗菌剂 | 0.02% Sodium azide |
| 稳定剂 | 50% Glycerol |
| 浓度 | 1 mg/ml |
| 存放说明 | For continuous use, store undiluted antibody at 2-8°C for up to a week. For long-term storage, aliquot and store at -20°C. Storage in frost free freezers is not recommended. Avoid repeated freeze/thaw cycles. Suggest spin the vial prior to opening. The antibody solution should be gently mixed before use. |
| 注意事项 | For laboratory research only, not for drug, diagnostic or other use. |
生物信息
| 数据库连接 | |
|---|---|
| 基因名称 | FOXO4 |
| 全名 | forkhead box O4 |
| 背景介绍 | Transcription factor involved in the regulation of the insulin signaling pathway. Binds to insulin-response elements (IREs) and can activate transcription of IGFBP1. Down-regulates expression of HIF1A and suppresses hypoxia-induced transcriptional activation of HIF1A-modulated genes. Also involved in negative regulation of the cell cycle. |
| 生物功能 | Transcription factor involved in the regulation of the insulin signaling pathway. Binds to insulin-response elements (IREs) and can activate transcription of IGFBP1. Down-regulates expression of HIF1A and suppresses hypoxia-induced transcriptional activation of HIF1A-modulated genes. Also involved in negative regulation of the cell cycle. Involved in increased proteasome activity in embryonic stem cells (ESCs) by activating expression of PSMD11 in ESCs, leading to enhanced assembly of the 26S proteasome, followed by higher proteasome activity. [UniProt] |
| 研究领域 | Cancer antibody; Cell Biology and Cellular Response antibody; Cell Death antibody; Gene Regulation antibody; Metabolism antibody |
| 预测分子量 | 54 kDa |
| 翻译后修饰 | Acetylation by CREBBP/CBP, which is induced by peroxidase stress, inhibits transcriptional activity. Deacetylation by SIRT1 is NAD-dependent and stimulates transcriptional activity. Phosphorylation by PKB/AKT1 inhibits transcriptional activity and is responsible for cytoplasmic localization. May be phosphorylated at multiple sites by NLK. Monoubiquitinated; monoubiquitination is induced by oxidative stress and reduced by deacetylase inhibitors; results in its relocalization to the nucleus and its increased transcriptional activity. Deubiquitinated by USP7; deubiquitination is induced by oxidative stress; enhances its interaction with USP7 and consequently, deubiquitination; increases its translocation to the cytoplasm and inhibits its transcriptional activity. Hydrogene-peroxide-induced ubiquitination and USP7-mediated deubiquitination have no major effect on its protein stability. |
检测图片 (3) Click the Picture to Zoom In
-
ARG51637 anti-FOXO4 phospho (Ser197) antibody WB image
Western blot: Extracts from 293 cells untreated or treated with serum stained with ARG51637 anti-FOXO4 phospho (Ser197) antibody.
-
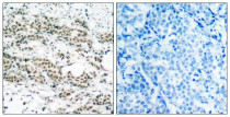
ARG51637 anti-FOXO4 phospho (Ser197) antibody IHC-P image
Immunohistochemistry: Paraffin-embedded Human breast carcinoma tissue stained with ARG51637 anti-FOXO4 phospho (Ser197) antibody (left) or the same antibody preincubated with blocking peptide (right).
-
ARG51637 anti-FOXO4 phospho (Ser197) antibody ICC/IF image
Immunofluorescence: methanol-fixed MCF7 cells stained with ARG51637 anti-FOXO4 phospho (Ser197) antibody.
