ARG45627
anti-FOXF1 antibody
anti-FOXF1 antibody for Flow cytometry,IHC-Formalin-fixed paraffin-embedded sections,Western blot and Human,Mouse,Rat
概述
| 产品描述 | Rabbit Polyclonal antibody recognizes FOXF1 |
|---|---|
| 反应物种 | Hu, Ms, Rat |
| 应用 | FACS, IHC-P, WB |
| 宿主 | Rabbit |
| 克隆 | Polyclonal |
| 同位型 | IgG |
| 靶点名称 | FOXF1 |
| 抗原物种 | Human |
| 抗原 | Recombinant protein containing to human FOXF1. |
| 偶联标记 | Un-conjugated |
| 別名 | FOXF1; forkhead box F1; ACDMPV; FREAC1; Forkhead-related activator 1; FREAC-1; Forkhead box protein F1; Forkhead-related transcription factor 1; Forkhead-related protein FKHL5; FKHL5 |
应用说明
| 应用建议 |
|
||||||||
|---|---|---|---|---|---|---|---|---|---|
| 应用说明 | * The dilutions indicate recommended starting dilutions and the optimal dilutions or concentrations should be determined by the scientist. | ||||||||
| 实际分子量 | 38 - 40 kDa |
属性
| 形式 | Liquid |
|---|---|
| 纯化 | Affinity purified |
| 缓冲液 | 0.2% Na2HPO4, 0.9% NaCl, 0.05% Sodium azide and 4% Trehalose. |
| 抗菌剂 | 0.05% Sodium azide |
| 稳定剂 | 4% Trehalose |
| 浓度 | 0.5 mg/ml |
| 存放说明 | For continuous use, store undiluted antibody at 2-8°C for up to a week. For long-term storage, aliquot and store at -20°C or below. Storage in frost free freezers is not recommended. Avoid repeated freeze/thaw cycles. Suggest spin the vial prior to opening. The antibody solution should be gently mixed before use. |
| 注意事项 | For laboratory research only, not for drug, diagnostic or other use. |
生物信息
| 数据库连接 | |
|---|---|
| 基因名称 | FOXF1 |
| 全名 | forkhead box F1 |
| 背景介绍 | This gene belongs to the forkhead family of transcription factors which is characterized by a distinct forkhead domain. The specific function of this gene has not yet been determined; however, it may play a role in the regulation of pulmonary genes as well as embryonic development. [provided by RefSeq, Jul 2008] |
| 生物功能 | Probable transcription activator for a number of lung-specific genes. [UniProt] |
| 细胞定位 | Nucleus. [UniProt] |
| 预测分子量 | 40 kDa |
检测图片 (4) Click the Picture to Zoom In
-
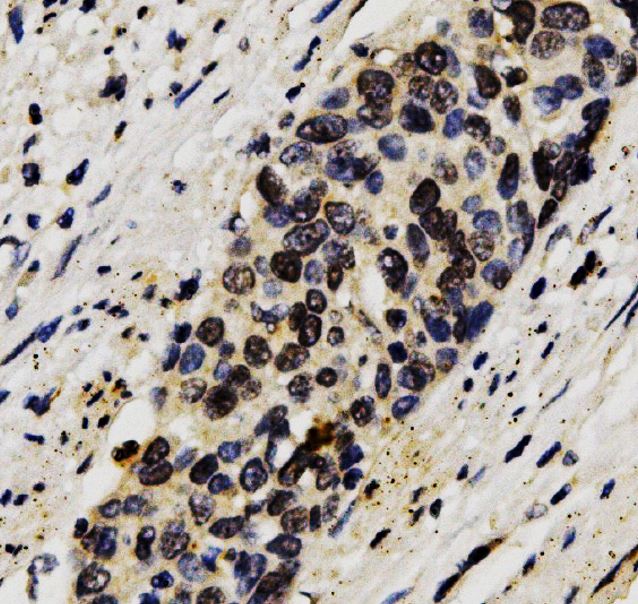
ARG45627 anti-FOXF1 antibody IHC-P image
Immunohistochemistry: Human oesophagus squama cancer stained with ARG45627 anti-FOXF1 antibody at 2 μg/ml dilution.
-
ARG45627 anti-FOXF1 antibody WB image
Western blot: Mouse liver stained with ARG45627 anti-FOXF1 antibody at 0.5 μg/ml dilution.
-
ARG45627 anti-FOXF1 antibody FACS image
Flow Cytometry: Jurkat stained with ARG45627 anti-FOXF1 antibody at 1 µg/10^6 cells dilution.
-
ARG45627 anti-FOXF1 antibody IHC-P image
Immunohistochemistry: Rat lung stained with ARG45627 anti-FOXF1 antibody at 2 μg/ml dilution.
