ARG53038
anti-FOXA1 / HNF3A antibody [SP88]
anti-FOXA1 / HNF3A antibody [SP88] for Flow cytometry,ICC/IF,IHC-Formalin-fixed paraffin-embedded sections and Human
Gene Regulation antibody
概述
| 产品描述 | Rabbit Monoclonal antibody [SP88] recognizes FOXA1 / HNF3A |
|---|---|
| 反应物种 | Hu |
| 应用 | FACS, ICC/IF, IHC-P |
| 宿主 | Rabbit |
| 克隆 | Monoclonal |
| 克隆号 | SP88 |
| 同位型 | IgG |
| 靶点名称 | FOXA1 / HNF3A |
| 抗原物种 | Human |
| 抗原 | Synthetic peptide derived from near C-terminus of human FOXA1 protein. |
| 偶联标记 | Un-conjugated |
| 別名 | TCF3A; Forkhead box protein A1; Hepatocyte nuclear factor 3-alpha; TCF-3A; HNF-3A; HNF-3-alpha; HNF3A; Transcription factor 3A |
应用说明
| 应用建议 |
|
||||||||
|---|---|---|---|---|---|---|---|---|---|
| 应用说明 | IHC-P: Antigen Retrieval: Boil tissue section in 10mM citrate buffer, pH 6.0 for 10 min followed by cooling at RT for 20 min. Incubation Time: 30 min at RT. * The dilutions indicate recommended starting dilutions and the optimal dilutions or concentrations should be determined by the scientist. |
||||||||
| 阳性对照 | Prostate |
属性
| 形式 | Liquid |
|---|---|
| 纯化 | Purified by protein A/G |
| 缓冲液 | PBS (pH 7.6), 1% BSA and <0.1% Sodium azide |
| 抗菌剂 | <0.1% Sodium azide |
| 稳定剂 | 1% BSA |
| 存放说明 | For continuous use, store undiluted antibody at 2-8°C for up to a week. For long-term storage, aliquot and store at -20°C or below. Storage in frost free freezers is not recommended. Avoid repeated freeze/thaw cycles. Suggest spin the vial prior to opening. The antibody solution should be gently mixed before use. |
| 注意事项 | For laboratory research only, not for drug, diagnostic or other use. |
生物信息
| 数据库连接 | |
|---|---|
| 背景介绍 | This gene encodes a member of the forkhead class of DNA-binding proteins. These hepatocyte nuclear factors are transcriptional activators for liver-specific transcripts such as albumin and transthyretin, and they also interact with chromatin. Similar family members in mice have roles in the regulation of metabolism and in the differentiation of the pancreas and liver. |
| 细胞定位 | Nucleus in Breast Carcinoma, Prostate. Cytoplasm in most malignancies. |
| 研究领域 | Gene Regulation antibody |
| 预测分子量 | 49 kDa |
检测图片 (9) Click the Picture to Zoom In
-
ARG53038 anti-FOXA1 / HNF3A antibody [SP88] FACS image
Flow cytometric: HepG2 cells stained with ARG53038 anti-FOXA1 / HNF3A antibody [SP88] (green) compare to negative control of rabbit IgG (blue).
-
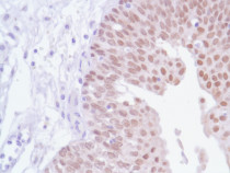
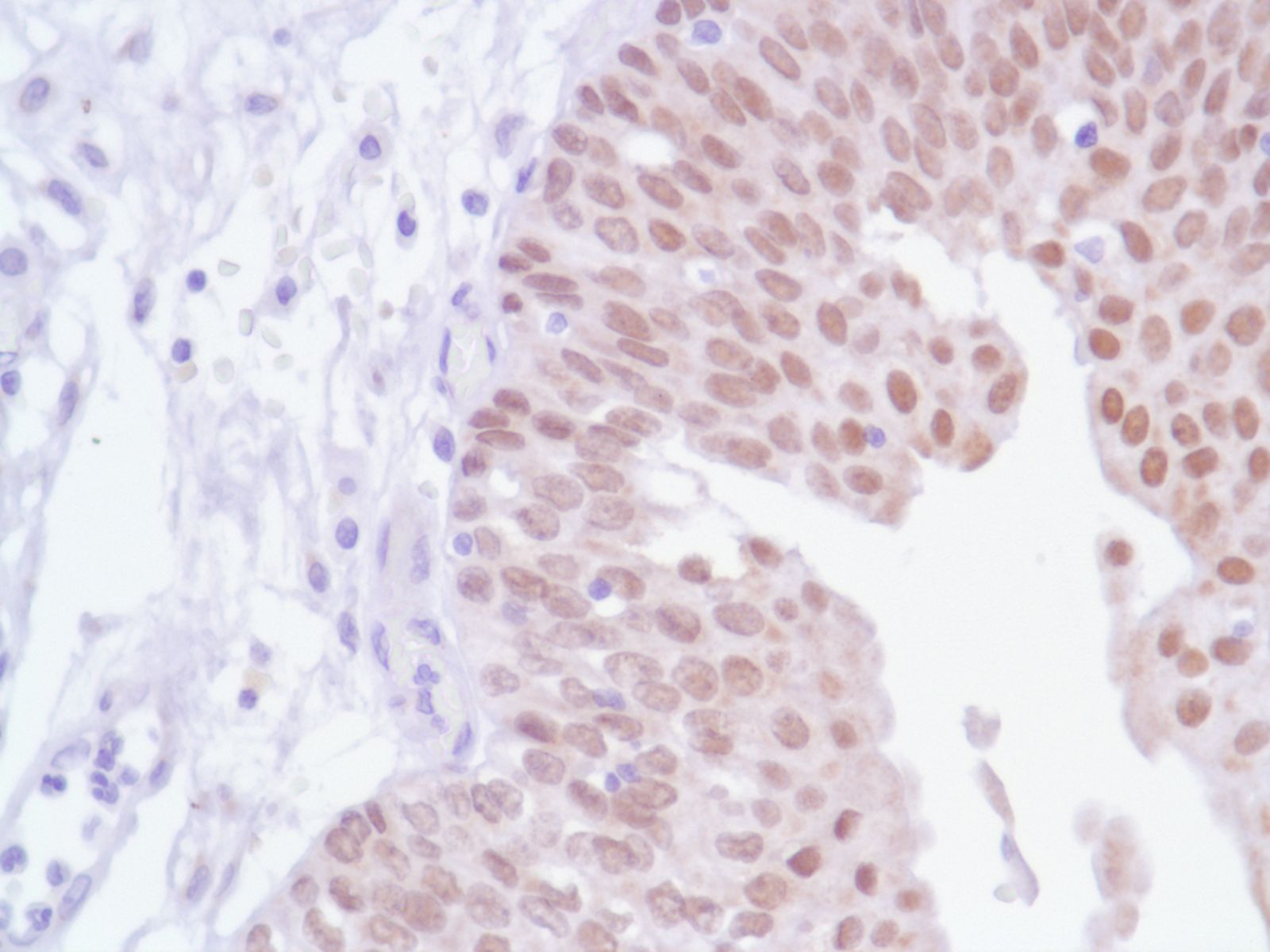
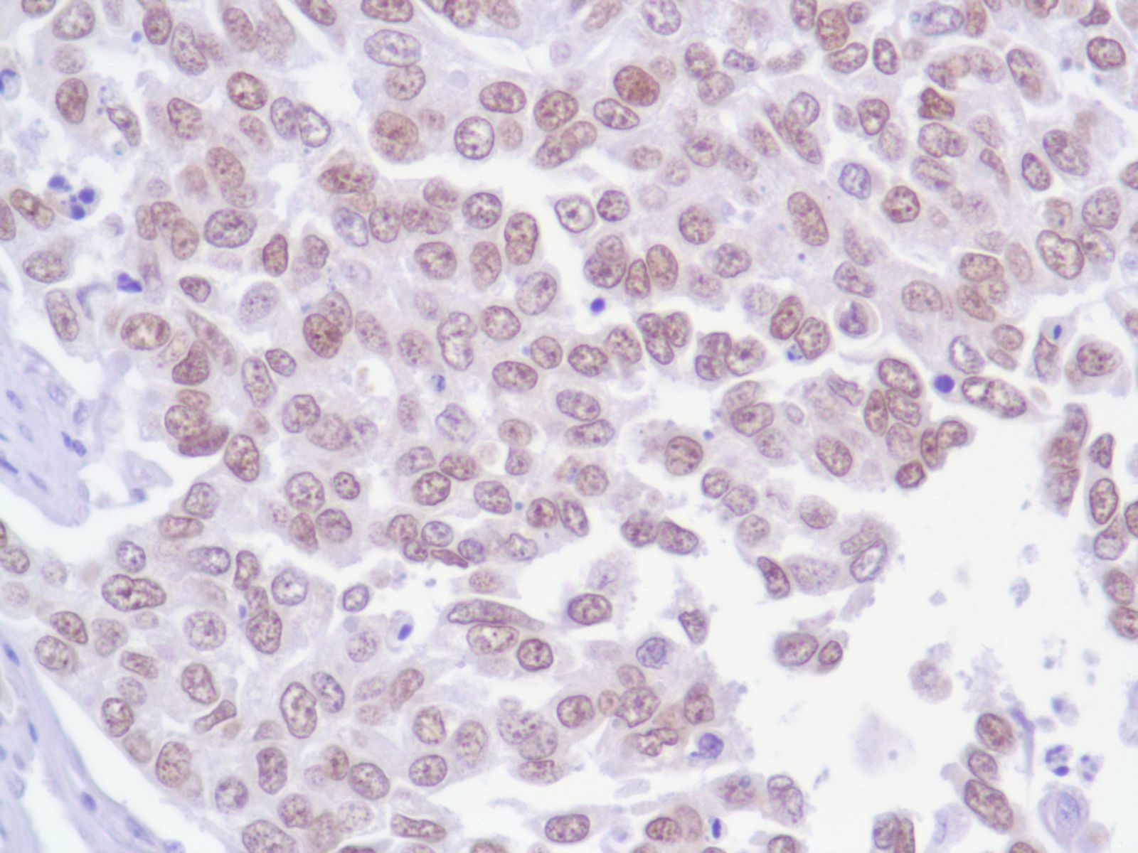
ARG53038 anti-FOXA1 / HNF3A antibody [SP88] IHC-P image
Immunohistochemistry: Human Bladder Transitional Cell Carcinoma stained with ARG53038 anti-FOXA1 / HNF3A antibody [SP88].
-
ARG53038 anti-FOXA1 / HNF3A antibody [SP88] IHC-P image
Immunohistochemistry: Human Bladder stained with ARG53038 anti-FOXA1 / HNF3A antibody [SP88].
-
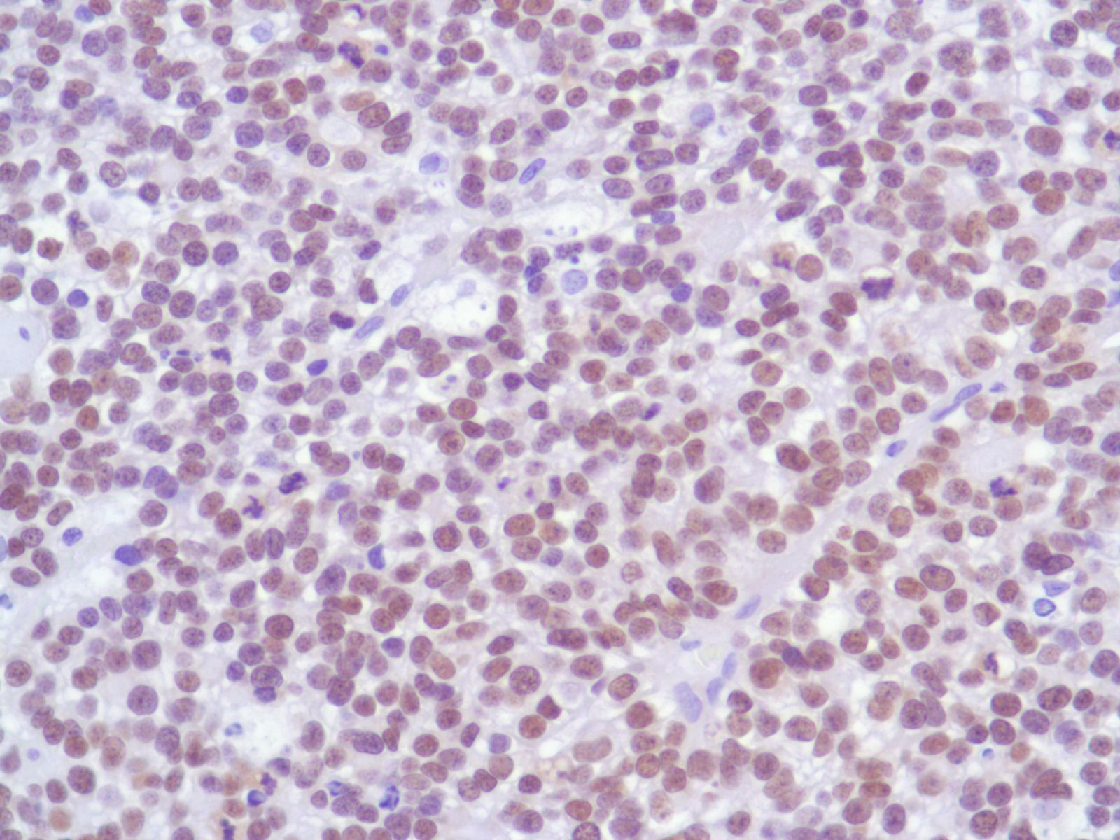
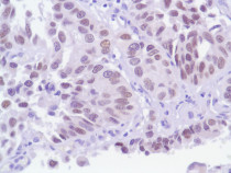
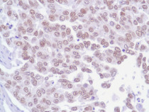
ARG53038 anti-FOXA1 / HNF3A antibody [SP88] IHC-P image
Immunohistochemistry: Human Breast Adenocarcinoma stained with ARG53038 anti-FOXA1 / HNF3A antibody [SP88].
-
ARG53038 anti-FOXA1 / HNF3A antibody [SP88] IHC-P image
Immunohistochemistry: Human Breast stained with ARG53038 anti-FOXA1 / HNF3A antibody [SP88].
-
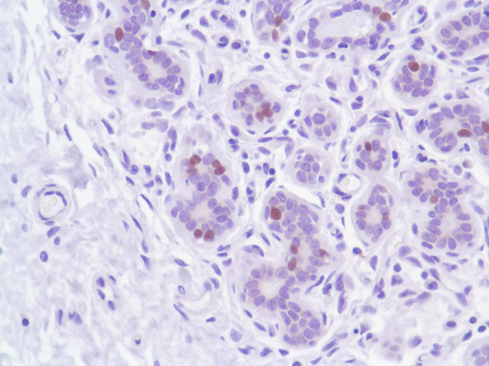
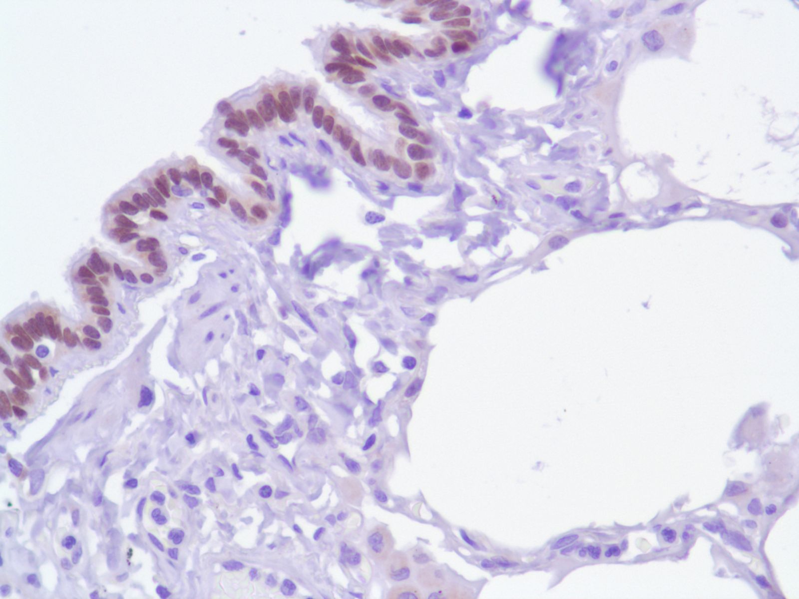
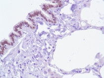
ARG53038 anti-FOXA1 / HNF3A antibody [SP88] IHC-P image
Immunohistochemistry: Human Lung stained with ARG53038 anti-FOXA1 / HNF3A antibody [SP88].
-
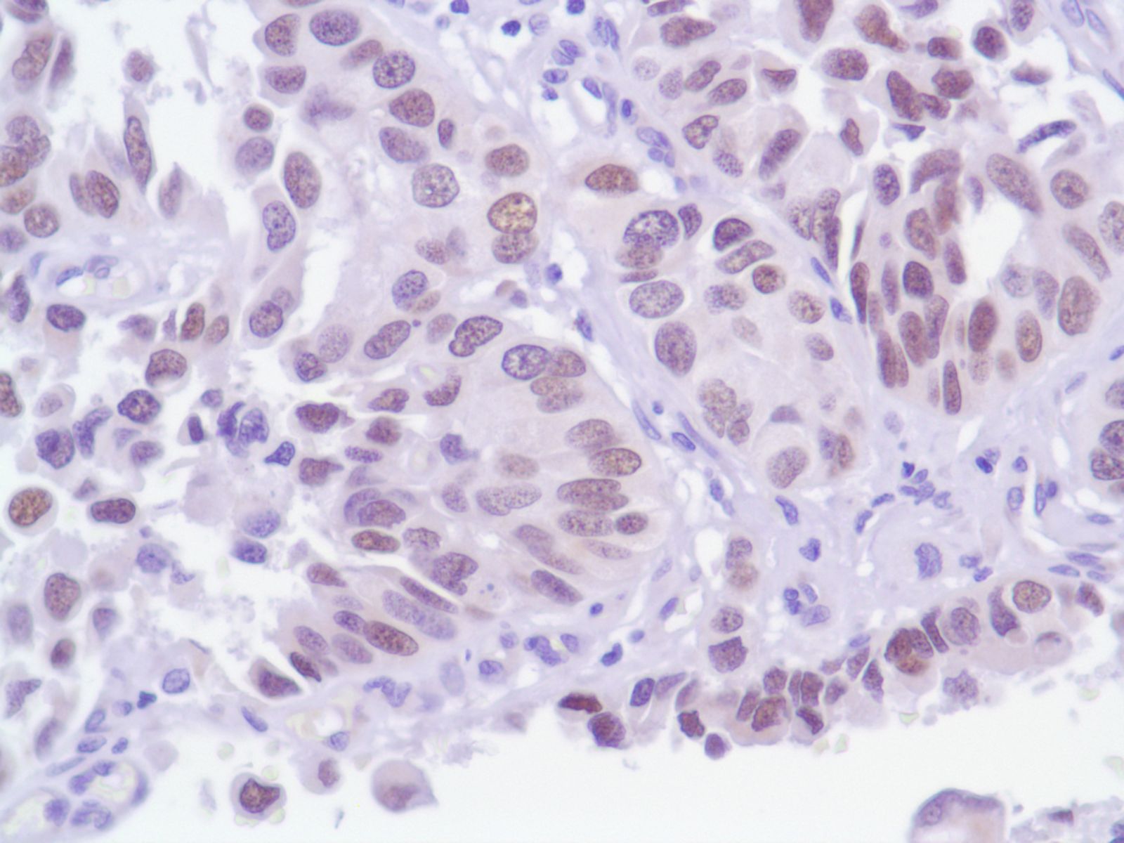
ARG53038 anti-FOXA1 / HNF3A antibody [SP88] IHC-P image
Immunohistochemistry: Human Ovarian Adenocarcinoma stained with ARG53038 anti-FOXA1 / HNF3A antibody [SP88].
-
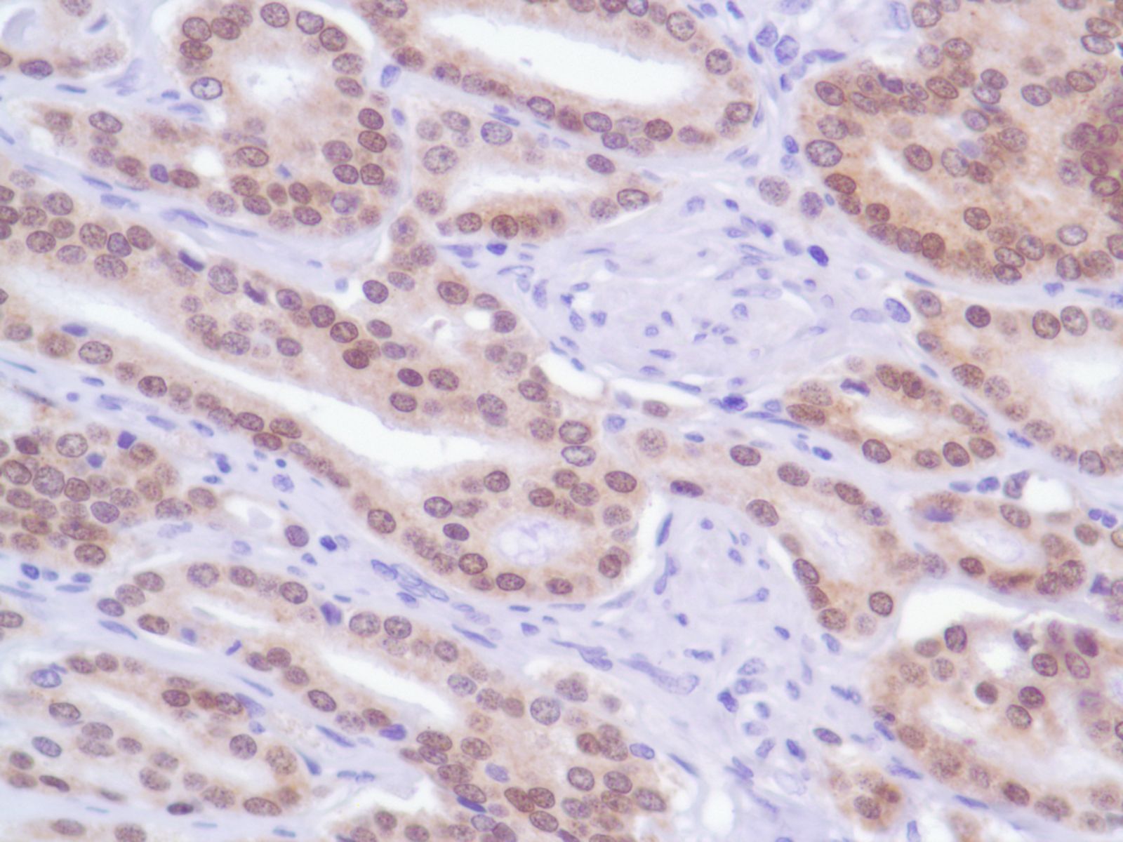
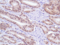
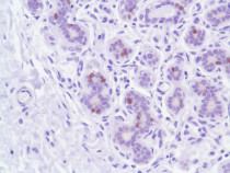
ARG53038 anti-FOXA1 / HNF3A antibody [SP88] IHC-P image
Immunohistochemistry: Human Prostate stained with ARG53038 anti-FOXA1 / HNF3A antibody [SP88].
-
ARG53038 anti-FOXA1 / HNF3A antibody [SP88] IHC-P image
Immunohistochemistry: Human Prostate stained with ARG53038 anti-FOXA1 / HNF3A antibody [SP88].
