ARG63343
anti-FOXA1 / HNF3A antibody
anti-FOXA1 / HNF3A antibody for ChIP,IHC-Formalin-fixed paraffin-embedded sections and Human
Gene Regulation antibody
概述
| 产品描述 | Goat Polyclonal antibody recognizes FOXA1 / HNF3A |
|---|---|
| 反应物种 | Hu |
| 预测物种 | Ms, Rat, Cow, Pig |
| 应用 | ChIP, IHC-P |
| 宿主 | Goat |
| 克隆 | Polyclonal |
| 同位型 | IgG |
| 靶点名称 | FOXA1 / HNF3A |
| 抗原物种 | Human |
| 抗原 | C-GVYSRPVLNTS |
| 偶联标记 | Un-conjugated |
| 別名 | TCF3A; Forkhead box protein A1; Hepatocyte nuclear factor 3-alpha; TCF-3A; HNF-3A; HNF-3-alpha; HNF3A; Transcription factor 3A |
应用说明
| 应用建议 |
|
||||||
|---|---|---|---|---|---|---|---|
| 应用说明 | IHC-P: Antigen Retrieval: Steam tissue section in Citrate buffer (pH 6.0). * The dilutions indicate recommended starting dilutions and the optimal dilutions or concentrations should be determined by the scientist. |
属性
| 形式 | Liquid |
|---|---|
| 纯化 | Purified from goat serum by antigen affinity chromatography. |
| 缓冲液 | Tris saline (pH 7.3), 0.02% Sodium azide and 0.5% BSA. |
| 抗菌剂 | 0.02% Sodium azide |
| 稳定剂 | 0.5% BSA |
| 浓度 | 0.5 mg/ml |
| 存放说明 | For continuous use, store undiluted antibody at 2-8°C for up to a week. For long-term storage, aliquot and store at -20°C or below. Storage in frost free freezers is not recommended. Avoid repeated freeze/thaw cycles. Suggest spin the vial prior to opening. The antibody solution should be gently mixed before use. |
| 注意事项 | For laboratory research only, not for drug, diagnostic or other use. |
生物信息
| 数据库连接 | |
|---|---|
| 背景介绍 | This gene encodes a member of the forkhead class of DNA-binding proteins. These hepatocyte nuclear factors are transcriptional activators for liver-specific transcripts such as albumin and transthyretin, and they also interact with chromatin. Similar family members in mice have roles in the regulation of metabolism and in the differentiation of the pancreas and liver. [provided by RefSeq, Jul 2008] |
| 研究领域 | Gene Regulation antibody |
| 预测分子量 | 49 kDa |
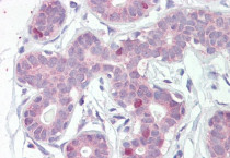
检测图片 (2) Click the Picture to Zoom In
-
ARG63343 anti-FOXA1 / HNF3A antibody IHC-P image
Immunohistochemistry: Paraffin-embedded Human breast tissue. Antigen Retrieval: Steam tissue section in Citrate buffer (pH 6.0). The tissue section was stained with ARG63343 anti-FOXA1 / HNF3A antibody at 5 µg/ml dilution followed by AP-staining.
-
ARG63343 anti-FOXA1 / HNF3A antibody IHC-P image
Immunohistochemistry: Paraffin-embedded Human prostate tissue stained with ARG63343 anti-FOXA1 / HNF3A antibody at 2 µg/ml dilution. Antigen Retrieval: Boil tissue section in Citrate buffer (pH 6.0).
