ARG66691
anti-FMO3 antibody
anti-FMO3 antibody for IHC-Formalin-fixed paraffin-embedded sections,Western blot and Human
概述
| 产品描述 | Rabbit Polyclonal antibody recognizes FMO3 |
|---|---|
| 反应物种 | Hu |
| 应用 | IHC-P, WB |
| 宿主 | Rabbit |
| 克隆 | Polyclonal |
| 同位型 | IgG |
| 靶点名称 | FMO3 |
| 抗原物种 | Human |
| 抗原 | Synthetic peptide around the internal region of Human FMO3. |
| 偶联标记 | Un-conjugated |
| 別名 | Hepatic flavin-containing monooxygenase 3; FMO form 2; FMOII; TMAU; FMO II; dJ127D3.1; Dimethylaniline oxidase 3; FMO 3; EC 1.14.13.148; Trimethylamine monooxygenase; EC 1.14.13.8; Dimethylaniline monooxygenase [N-oxide-forming] 3 |
应用说明
| 应用建议 |
|
||||||
|---|---|---|---|---|---|---|---|
| 应用说明 | * The dilutions indicate recommended starting dilutions and the optimal dilutions or concentrations should be determined by the scientist. | ||||||
| 阳性对照 | HeLa | ||||||
| 实际分子量 | ~ 60 kDa |
属性
| 形式 | Liquid |
|---|---|
| 纯化 | Affinity purification with immunogen. |
| 缓冲液 | PBS, 0.02% Sodium azide, 50% Glycerol and 0.5% BSA. |
| 抗菌剂 | 0.02% Sodium azide |
| 稳定剂 | 50% Glycerol and 0.5% BSA |
| 浓度 | 1 mg/ml |
| 存放说明 | For continuous use, store undiluted antibody at 2-8°C for up to a week. For long-term storage, aliquot and store at -20°C. Storage in frost free freezers is not recommended. Avoid repeated freeze/thaw cycles. Suggest spin the vial prior to opening. The antibody solution should be gently mixed before use. |
| 注意事项 | For laboratory research only, not for drug, diagnostic or other use. |
生物信息
| 数据库连接 |
Swiss-port # P31513 Human Dimethylaniline monooxygenase [N-oxide-forming] 3 |
|---|---|
| 基因名称 | FMO3 |
| 全名 | flavin containing monooxygenase 3 |
| 背景介绍 | Flavin-containing monooxygenases (FMO) are an important class of drug-metabolizing enzymes that catalyze the NADPH-dependent oxygenation of various nitrogen-,sulfur-, and phosphorous-containing xenobiotics such as therapeutic drugs, dietary compounds, pesticides, and other foreign compounds. The human FMO gene family is composed of 5 genes and multiple pseudogenes. FMO members have distinct developmental- and tissue-specific expression patterns. The expression of this FMO3 gene, the major FMO expressed in adult liver, can vary up to 20-fold between individuals. This inter-individual variation in FMO3 expression levels is likely to have significant effects on the rate at which xenobiotics are metabolised and, therefore, is of considerable interest to the pharmaceutical industry. This transmembrane protein localizes to the endoplasmic reticulum of many tissues. Alternative splicing of this gene results in multiple transcript variants encoding the same protein. Mutations in this gene cause the disorder trimethylaminuria (TMAu) which is characterized by the accumulation and excretion of unmetabolized trimethylamine and a distinctive body odor. In healthy individuals, trimethylamine is primarily converted to the non odorous trimethylamine N-oxide.[provided by RefSeq, Aug 2009] |
| 生物功能 | Involved in the oxidative metabolism of a variety of xenobiotics such as drugs and pesticides. It N-oxygenates primary aliphatic alkylamines as well as secondary and tertiary amines. Plays an important role in the metabolism of trimethylamine (TMA), via the production of TMA N-oxide (TMAO). Is also able to perform S-oxidation when acting on sulfide compounds. [UniProt] |
| 细胞定位 | Microsome membrane; Single-pass membrane protein. Endoplasmic reticulum membrane; Single-pass membrane protein. [UniProt] |
| 预测分子量 | 60 kDa |
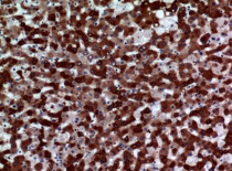
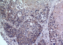
检测图片 (3) Click the Picture to Zoom In
-
ARG66691 anti-FMO3 antibody IHC-P image
Immunohistochemistry: Paraffin-embedded Human liver tissue stained with ARG66691 anti-FMO3 antibody at 1:100 dilution.
-
ARG66691 anti-FMO3 antibody WB image
Western blot: HeLa cell lysate stained with ARG66691 anti-FMO3 antibody.
-
ARG66691 anti-FMO3 antibody IHC-P image
Immunohistochemistry: Paraffin-embedded Human lung tissue stained with ARG66691 anti-FMO3 antibody at 1:100 dilution.
