ARG66496
anti-FLI1 antibody
anti-FLI1 antibody for IHC-Formalin-fixed paraffin-embedded sections,Western blot and Human
概述
| 产品描述 | Mouse Monoclonal antibody recognizes FLI1 |
|---|---|
| 反应物种 | Hu |
| 应用 | IHC-P, WB |
| 宿主 | Mouse |
| 克隆 | Monoclonal |
| 同位型 | IgG1, kappa |
| 靶点名称 | FLI1 |
| 抗原物种 | Human |
| 抗原 | Synthetic peptide derived from Human FLI1. |
| 偶联标记 | Un-conjugated |
| 別名 | SIC-1; Friend leukemia integration 1 transcription factor; Proto-oncogene Fli-1; EWSR2; Transcription factor ERGB |
应用说明
| 应用建议 |
|
||||||
|---|---|---|---|---|---|---|---|
| 应用说明 | IHC-P: Antigen Retrieval: Tris/EDTA buffer (pH 8.0) was used. * The dilutions indicate recommended starting dilutions and the optimal dilutions or concentrations should be determined by the scientist. |
||||||
| 实际分子量 | ~ 52 kDa |
属性
| 形式 | Liquid |
|---|---|
| 纯化 | Affinity purification with immunogen. |
| 缓冲液 | PBS, 0.02% Sodium azide, 50% Glycerol and 0.5% BSA. |
| 抗菌剂 | 0.02% Sodium azide |
| 稳定剂 | 50% Glycerol and 0.5% BSA |
| 浓度 | 1 mg/ml |
| 存放说明 | For continuous use, store undiluted antibody at 2-8°C for up to a week. For long-term storage, aliquot and store at -20°C. Storage in frost free freezers is not recommended. Avoid repeated freeze/thaw cycles. Suggest spin the vial prior to opening. The antibody solution should be gently mixed before use. |
| 注意事项 | For laboratory research only, not for drug, diagnostic or other use. |
生物信息
| 数据库连接 |
Swiss-port # Q01543 Human Friend leukemia integration 1 transcription factor |
|---|---|
| 基因名称 | FLI1 |
| 全名 | Fli-1 proto-oncogene, ETS transcription factor |
| 背景介绍 | This gene encodes a transcription factor containing an ETS DNA-binding domain. The gene can undergo a t(11;22)(q24;q12) translocation with the Ewing sarcoma gene on chromosome 22, which results in a fusion gene that is present in the majority of Ewing sarcoma cases. An acute lymphoblastic leukemia-associated t(4;11)(q21;q23) translocation involving this gene has also been identified. Alternative splicing results in multiple transcript variants. [provided by RefSeq, Aug 2012] |
| 生物功能 | Sequence-specific transcriptional activator. Recognizes the DNA sequence 5'-C[CA]GGAAGT-3'. [UniProt] |
| 细胞定位 | Nucleus. [UniProt] |
| 预测分子量 | 51 kDa |
检测图片 (3) Click the Picture to Zoom In
-
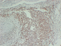
ARG66496 anti-FLI1 antibody IHC-P image
Immunohistochemistry: Paraffin-embedded Human hemangioendothelioma stained with ARG66496 anti-FLI1 antibody at 1:200 (4°C, overnight). Antigen Retrieval: Tris/EDTA buffer (pH 8.0) was used.
-
ARG66496 anti-FLI1 antibody WB image
Western blot: 30 µg of Jurkat whole cell lysate stained with ARG66496 anti-FLI1 antibody at 1:1000 dilution.
-
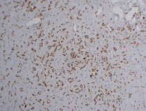
ARG66496 anti-FLI1 antibody IHC-P image
Immunohistochemistry: Paraffin-embedded Human primitive neuroectodermal tumor (PNET) stained with ARG66496 anti-FLI1 antibody at 1:200 (4°C, overnight). Antigen Retrieval: Tris/EDTA buffer (pH 8.0) was used.
