ARG44559
anti-FIS1 / TTC11 antibody
anti-FIS1 / TTC11 antibody for ICC/IF,IHC-Formalin-fixed paraffin-embedded sections,Western blot and Human,Rat
概述
| 产品描述 | Rabbit Polyclonal antibody recognizes FIS1 / TTC11 |
|---|---|
| 反应物种 | Hu, Rat |
| 应用 | ICC/IF, IHC-P, WB |
| 宿主 | Rabbit |
| 克隆 | Polyclonal |
| 同位型 | IgG |
| 靶点名称 | FIS1 / TTC11 |
| 抗原物种 | Human |
| 抗原 | Recombinant Human FIS1 / TTC11 purified from E. coli. |
| 偶联标记 | Un-conjugated |
| 別名 | FIS1; Fission, Mitochondrial 1; H_NH0132A01.6; CGI-135; TTC11; Tetratricopeptide Repeat Protein 11; Tetratricopeptide Repeat Domain 11; Mitochondrial Fission 1 Protein; Mitochondrial Fission Molecule; TPR Repeat Protein 11; FIS1 Homolog; HFis1; Fission 1 (Mitochondrial Outer Membrane) Homolog (S. Cerevisiae); Fission 1 (Mitochondrial Outer Membrane) Homolog (Yeast); Fission 1 (Mitochondrial Outer Membrane) Homolog; CGI-135 Protein |
应用说明
| 应用建议 |
|
||||||||
|---|---|---|---|---|---|---|---|---|---|
| 应用说明 | * The dilutions indicate recommended starting dilutions and the optimal dilutions or concentrations should be determined by the scientist. |
属性
| 形式 | Liquid |
|---|---|
| 纯化 | Affinity purification with immunogen. |
| 缓冲液 | 0.2% Na2HPO4, 0.9% NaCl and 4% Trehalose. |
| 稳定剂 | 4% Trehalose |
| 浓度 | 0.5 mg/ml |
| 存放说明 | For continuous use, store undiluted antibody at 2-8°C for up to a week. For long-term storage, aliquot and store at -20°C or below. Storage in frost free freezers is not recommended. Avoid repeated freeze/thaw cycles. Suggest spin the vial prior to opening. The antibody solution should be gently mixed before use. |
| 注意事项 | For laboratory research only, not for drug, diagnostic or other use. |
生物信息
| 数据库连接 | |
|---|---|
| 基因名称 | FIS1 |
| 全名 | Fission, Mitochondrial 1 |
| 背景介绍 | Enables identical protein binding activity. Involved in several processes, including calcium-mediated signaling using intracellular calcium source; cellular calcium ion homeostasis; and mitochondrion organization. Acts upstream of or within mitochondrion morphogenesis. Located in mitochondrion and peroxisome. Is integral component of mitochondrial outer membrane and integral component of peroxisomal membrane. Part of protein-containing complex. Biomarker of Alzheimer's disease. [provided by Alliance of Genome Resources, Apr 2022] |
| 生物功能 | Involved in the fragmentation of the mitochondrial network and its perinuclear clustering. [UniProt] |
| 细胞定位 | Membrane, Mitochondrion, Mitochondrion outer membrane, Peroxisome. [UniProt] |
| 预测分子量 | 17 kDa |
| 翻译后修饰 | Acetylation, Phosphoprotein, bl conjugation. [UniProt] |
检测图片 (4) Click the Picture to Zoom In
-
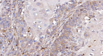
ARG44559 anti-FIS1 / TTC11 antibody IHC-P image
Immunohistochemistry: Human laryngeal squamous cell carcinomas stained with ARG44559 anti-FIS1 / TTC11 antibody at 2 μg/ml dilution.
-
ARG44559 anti-FIS1 / TTC11 antibody ICC/IF image
Immunofluorescence: MCF-7 stained with ARG44559 anti-FIS1 / TTC11 antibody at 5 μg/mL dilution.
-
ARG44559 anti-FIS1 / TTC11 antibody WB image
Western blot: HeLa and U87 stained with ARG44559 anti-FIS1 / TTC11 antibody at 0.5 μg/ml dilution.
-
ARG44559 anti-FIS1 / TTC11 antibody IHC-P image
Immunohistochemistry: Human liver cancer stained with ARG44559 anti-FIS1 / TTC11 antibody at 2 μg/ml dilution.
