ARG45246
anti-FIP1L1 antibody
anti-FIP1L1 antibody for Flow cytometry,ICC/IF,IHC-Formalin-fixed paraffin-embedded sections,Western blot and Human,Mouse,Rat
概述
| 产品描述 | Polyclonal antibody recognizes FIP1L1 |
|---|---|
| 反应物种 | Hu, Ms, Rat |
| 应用 | FACS, ICC/IF, IHC-P, WB |
| 宿主 | Rabbit |
| 克隆 | Polyclonal |
| 同位型 | IgG |
| 靶点名称 | FIP1L1 |
| 抗原物种 | Human |
| 抗原 | Recombinant protein containing to human FIP1L1. |
| 偶联标记 | Un-conjugated |
| 別名 | FIP1L1; Factor Interacting With PAPOLA And CPSF1; HFip1; FIP1; FIP1L1 Cleavage And Polyadenylation Specific Factor Subunit; Pre-MRNA 3'-End-Processing Factor FIP1; Rearranged In Hypereosinophilia; Factor Interacting With PAP; FIP1-Like 1 Protein; DKFZp586K0717; FIP1 Like 1 (S. Cerevisiae); FIP1 Like 1; EC 4.2.1.33; EC 1.1.1.86; Rhe; RHE |
应用说明
| 应用建议 |
|
||||||||||
|---|---|---|---|---|---|---|---|---|---|---|---|
| 应用说明 | * The dilutions indicate recommended starting dilutions and the optimal dilutions or concentrations should be determined by the scientist. | ||||||||||
| 实际分子量 | 72 kDa |
属性
| 形式 | Liquid |
|---|---|
| 纯化 | Affinity purification with immunogen. |
| 缓冲液 | 0.2% Na2HPO4, 0.9% NaCl and 4% Trehalose. |
| 稳定剂 | 4% Trehalose |
| 浓度 | 0.5 mg/ml |
| 存放说明 | For continuous use, store undiluted antibody at 2-8°C for up to a week. For long-term storage, aliquot and store at -20°C or below. Storage in frost free freezers is not recommended. Avoid repeated freeze/thaw cycles. Suggest spin the vial prior to opening. The antibody solution should be gently mixed before use. |
| 注意事项 | For laboratory research only, not for drug, diagnostic or other use. |
生物信息
| 数据库连接 | |
|---|---|
| 基因名称 | FIP1L1 |
| 全名 | Factor Interacting With PAPOLA And CPSF1 |
| 背景介绍 | This gene encodes a subunit of the CPSF (cleavage and polyadenylation specificity factor) complex that polyadenylates the 3' end of mRNA precursors. This gene, the homolog of yeast Fip1 (factor interacting with PAP), binds to U-rich sequences of pre-mRNA and stimulates poly(A) polymerase activity. Its N-terminus contains a PAP-binding site and its C-terminus an RNA-binding domain. An interstitial chromosomal deletion on 4q12 creates an in-frame fusion of human genes FIP1L1 and PDGFRA (platelet-derived growth factor receptor, alpha). The FIP1L1-PDGFRA fusion gene encodes a constitutively activated tyrosine kinase that joins the first 233 amino acids of FIP1L1 to the last 523 amino acids of PDGFRA. This gene fusion and chromosomal deletion is the cause of some forms of idiopathic hypereosinophilic syndrome (HES). This syndrome, recently reclassified as chronic eosinophilic leukemia (CEL), is responsive to treatment with tyrosine kinase inhibitors. Alternative splicing results in multiple transcript variants encoding distinct isoforms. [provided by RefSeq, Oct 2008] |
| 生物功能 | Component of the cleavage and polyadenylation specificity factor (CPSF) complex that plays a key role in pre-mRNA 3'-end formation, recognizing the AAUAAA signal sequence and interacting with poly(A) polymerase and other factors to bring about cleavage and poly(A) addition. FIP1L1 contributes to poly(A) site recognition and stimulates poly(A) addition. Binds to U-rich RNA sequence elements surrounding the poly(A) site. May act to tether poly(A) polymerase to the CPSF complex. [UniProt] |
| 细胞定位 | Nucleus. [UniProt] |
| 预测分子量 | 67 kDa |
| 翻译后修饰 | Phosphoprotein. [UniProt] |
检测图片 (6) Click the Picture to Zoom In
-
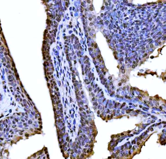
ARG45246 anti-FIP1L1 antibody IHC-P image
Immunohistochemistry: Human prostate cancer stained with ARG45246 anti-FIP1L1 antibody at 2 μg/ml dilution.
-
ARG45246 anti-FIP1L1 antibody ICC/IF image
Immunofluorescence: U87 stained with ARG45246 anti-FIP1L1 antibody at 5 ug/ml dilution.
-
ARG45246 anti-FIP1L1 antibody WB image
Western blot: Hela and K562 stained with ARG45246 anti-FIP1L1 antibody at 0.5 μg/ml dilution.
-
ARG45246 anti-FIP1L1 antibody FACS image
Flow Cytometry: HepG2 stained with ARG45246 anti-FIP1L1 antibody at 1 µg/10^6 cells dilution.
-
ARG45246 anti-FIP1L1 antibody WB image
Western blot: Rat liver stained with ARG45246 anti-FIP1L1 antibody at 0.5 μg/ml dilution.
-
ARG45246 anti-FIP1L1 antibody WB image
Western blot: Mouse brain and mouse liver stained with ARG45246 anti-FIP1L1 antibody at 0.5 μg/ml dilution.
