ARG66240
anti-FGL1 / Hepassocin antibody
anti-FGL1 / Hepassocin antibody for IHC-Formalin-fixed paraffin-embedded sections,Western blot and Mouse,Rat
概述
| 产品描述 | Rabbit Polyclonal antibody recognizes FGL1 / Hepassocin |
|---|---|
| 反应物种 | Ms, Rat |
| 应用 | IHC-P, WB |
| 特异性 | This antibody detects endogenous levels of Hepassocin protein. |
| 宿主 | Rabbit |
| 克隆 | Polyclonal |
| 同位型 | IgG |
| 靶点名称 | FGL1 / Hepassocin |
| 抗原物种 | Human |
| 抗原 | Synthetic peptide around the center region of Human Hepassocin. |
| 偶联标记 | Un-conjugated |
| 別名 | HFREP1; Fibrinogen-like protein 1; Hepatocyte-derived fibrinogen-related protein 1; Hepassocin; Liver fibrinogen-related protein 1; LFIRE-1; HP-041; HFREP-1; LFIRE1 |
应用说明
| 应用建议 |
|
||||||
|---|---|---|---|---|---|---|---|
| 应用说明 | * The dilutions indicate recommended starting dilutions and the optimal dilutions or concentrations should be determined by the scientist. | ||||||
| 实际分子量 | 35 kDa |
属性
| 形式 | Liquid |
|---|---|
| 纯化 | Affinity purification with immunogen. |
| 缓冲液 | PBS, 0.02% Sodium azide, 50% Glycerol and 0.5% BSA. |
| 抗菌剂 | 0.02% Sodium azide |
| 稳定剂 | 50% Glycerol and 0.5% BSA |
| 浓度 | 1 mg/ml |
| 存放说明 | For continuous use, store undiluted antibody at 2-8°C for up to a week. For long-term storage, aliquot and store at -20°C. Storage in frost free freezers is not recommended. Avoid repeated freeze/thaw cycles. Suggest spin the vial prior to opening. The antibody solution should be gently mixed before use. |
| 注意事项 | For laboratory research only, not for drug, diagnostic or other use. |
生物信息
| 数据库连接 | |
|---|---|
| 基因名称 | FGL1 |
| 全名 | fibrinogen-like 1 |
| 背景介绍 | Fibrinogen-like 1 is a member of the fibrinogen family. This protein is homologous to the carboxy terminus of the fibrinogen beta- and gamma- subunits which contains the four conserved cysteines of fibrinogens and fibrinogen related proteins. However, this protein lacks the platelet-binding site, cross-linking region and a thrombin-sensitive site which are necessary for fibrin clot formation. This protein may play a role in the development of hepatocellular carcinomas. Four alternatively spliced transcript variants encoding the same protein exist for this gene. [provided by RefSeq, Jul 2008] |
| 生物功能 | Has hepatocyte mitogenic activity. [UniProt] |
| 预测分子量 | 36 kDa |
检测图片 (4) Click the Picture to Zoom In
-
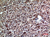
ARG66240 anti-FGL1 / Hepassocin antibody IHC-P image
Immunohistochemistry: Paraffin-embedded Rat liver stained with ARG66240 anti-FGL1 / Hepassocin antibody at 1:100 dilution.
-
ARG66240 anti-FGL1 / Hepassocin antibody WB image
Western blot: Mouse liver lysate stained with ARG66240 anti-FGL1 / Hepassocin antibody.
-
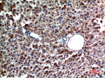
ARG66240 anti-FGL1 / Hepassocin antibody IHC-P image
Immunohistochemistry: Paraffin-embedded Rat liver stained with ARG66240 anti-FGL1 / Hepassocin antibody at 1:100 dilution.
-
ARG66240 anti-FGL1 / Hepassocin antibody IHC-P image
Immunohistochemistry: Paraffin-embedded Mouse liver stained with ARG66240 anti-FGL1 / Hepassocin antibody at 1:100 dilution.
