ARG66024
anti-FGF9 antibody (Biotin)
anti-FGF9 antibody (Biotin) for ELISA,Western blot and Mouse
概述
| 产品描述 | Biotin-conjugated Rabbit Polyclonal antibody recognizes FGF9 |
|---|---|
| 反应物种 | Ms |
| 应用 | ELISA, WB |
| 宿主 | Rabbit |
| 克隆 | Polyclonal |
| 同位型 | IgG |
| 靶点名称 | FGF9 |
| 抗原物种 | Mouse |
| 抗原 | E. coli derived recombinant Mouse FGF9. (PLGEVGSYFG VQDAVPFGNV PVLPVDSPVL LNDHLGQSEA GGLPRGPAVT DLDHLKGILR RRQLYCRTGF HLEIFPNGTI QGTRKDHSRF GILEFISIAV GLVSIRGVDS GLYLGMNEKG ELYGSEKLTQ ECVFREQFEE NWYNTYSSNL YKHVDTGRRY YVALNKDGTP REGTRTKRHQ KFTHFLPRPV DPDKVPELYK DILSQS) |
| 偶联标记 | Biotin |
| 別名 | Fibroblast growth factor 9; Glia-activating factor; FGF-9; HBFG-9; HBGF-9; GAF; Heparin-binding growth factor 9; SYNS3 |
应用说明
| 应用建议 |
|
||||||
|---|---|---|---|---|---|---|---|
| 应用说明 | * The dilutions indicate recommended starting dilutions and the optimal dilutions or concentrations should be determined by the scientist. |
属性
| 形式 | Liquid |
|---|---|
| 纯化 | Purified by affinity chromatography. |
| 缓冲液 | PBS (pH 7.2) |
| 浓度 | 1 mg/ml |
| 存放说明 | Aliquot and store in the dark at 2-8°C. Keep protected from prolonged exposure to light. Avoid repeated freeze/thaw cycles. Suggest spin the vial prior to opening. The antibody solution should be gently mixed before use. |
| 注意事项 | For laboratory research only, not for drug, diagnostic or other use. |
生物信息
| 数据库连接 | |
|---|---|
| 基因名称 | Fgf9 |
| 全名 | fibroblast growth factor 9 |
| 背景介绍 | The protein encoded by this gene is a member of the fibroblast growth factor (FGF) family. FGF family members possess broad mitogenic and cell survival activities, and are involved in a variety of biological processes, including embryonic development, cell growth, morphogenesis, tissue repair, tumor growth and invasion. This protein was isolated as a secreted factor that exhibits a growth-stimulating effect on cultured glial cells. In nervous system, this protein is produced mainly by neurons and may be important for glial cell development. Expression of the mouse homolog of this gene was found to be dependent on Sonic hedgehog (Shh) signaling. Mice lacking the homolog gene displayed a male-to-female sex reversal phenotype, which suggested a role in testicular embryogenesis. [provided by RefSeq, Jul 2008] |
| 生物功能 | Plays an important role in the regulation of embryonic development, cell proliferation, cell differentiation and cell migration. May have a role in glial cell growth and differentiation during development, gliosis during repair and regeneration of brain tissue after damage, differentiation and survival of neuronal cells, and growth stimulation of glial tumors. [UniProt] |
| 预测分子量 | 23 kDa |
| 翻译后修饰 | Three molecular species were found (30 kDa, 29 kDa and 25 kDa), cleaved at Leu-4, Val-13 and Ser-34 respectively. The smaller ones might be products of proteolytic digestion. Furthermore, there may be a functional signal sequence in the 30 kDa species which is uncleavable in the secretion step. N-glycosylated. |
检测图片 (4) Click the Picture to Zoom In
-
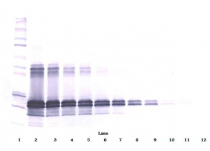
ARG66024 anti-FGF9 antibody (Biotin) WB image
Western blot: 250 - 0.24 ng of Mouse FGF-9 stained with ARG66024 anti-FGF9 antibody (Biotin), under non-reducing conditions.
-
ARG66024 anti-FGF9 antibody (Biotin) standard curve image
Direct ELISA: ARG66024 anti-FGF9 antibody (Biotin) at 0.25 - 1.0 µg/ml results of a typical standard run with optical density reading at 405 - 650 nm.
-
ARG66024 anti-FGF9 antibody (Biotin) WB image
Western blot: 250 - 0.24 ng of Mouse FGF-9 stained with ARG66024 anti-FGF9 antibody (Biotin), under reducing conditions.
-
ARG66024 anti-FGF9 antibody (Biotin) standard curve image
Sandwich ELISA: ARG66024 anti-FGF9 antibody (Biotin) as a detection antibody at 0.25 - 1.0 µg/ml combined with ARG66023 anti-FGF9 antibody as a capture antibody. Results of a typical standard run with optical density reading at 405 - 650 nm.
