ARG58580
anti-FGF8 antibody
anti-FGF8 antibody for IHC-Formalin-fixed paraffin-embedded sections,Western blot and Human,Rat
概述
| 产品描述 | Rabbit Polyclonal antibody recognizes FGF8 |
|---|---|
| 反应物种 | Hu, Rat |
| 应用 | IHC-P, WB |
| 宿主 | Rabbit |
| 克隆 | Polyclonal |
| 同位型 | IgG |
| 靶点名称 | FGF8 |
| 抗原物种 | Human |
| 抗原 | Synthetic peptide corresponding to aa. 163-185 of Human FGF8. (FMKRLPRGHHTTEQSLRFEFLNY) |
| 偶联标记 | Un-conjugated |
| 別名 | Fibroblast growth factor 8; HH6; AIGF; FGF-8; HBGF-8; KAL6; Heparin-binding growth factor 8; Androgen-induced growth factor |
应用说明
| 应用建议 |
|
||||||
|---|---|---|---|---|---|---|---|
| 应用说明 | IHC-P: Antigen Retrieval: Heat mediation was performed in Citrate buffer (pH 6.0) for 20 min. * The dilutions indicate recommended starting dilutions and the optimal dilutions or concentrations should be determined by the scientist. |
属性
| 形式 | Liquid |
|---|---|
| 纯化 | Affinity purification with immunogen. |
| 缓冲液 | 0.9% NaCl, 0.2% Na2HPO4, 0.05% Thimerosal, 0.05% Sodium azide and 5% BSA. |
| 抗菌剂 | 0.05% Thimerosal and 0.05% Sodium azide |
| 稳定剂 | 5% BSA |
| 浓度 | 0.5 mg/ml |
| 存放说明 | For continuous use, store undiluted antibody at 2-8°C for up to a week. For long-term storage, aliquot and store at -20°C or below. Storage in frost free freezers is not recommended. Avoid repeated freeze/thaw cycles. Suggest spin the vial prior to opening. The antibody solution should be gently mixed before use. |
| 注意事项 | For laboratory research only, not for drug, diagnostic or other use. |
生物信息
| 数据库连接 | |
|---|---|
| 基因名称 | FGF8 |
| 全名 | fibroblast growth factor 8 (androgen-induced) |
| 背景介绍 | The protein encoded by this gene is a member of the fibroblast growth factor (FGF) family. FGF family members possess broad mitogenic and cell survival activities, and are involved in a variety of biological processes, including embryonic development, cell growth, morphogenesis, tissue repair, tumor growth and invasion. This protein is known to be a factor that supports androgen and anchorage independent growth of mammary tumor cells. Overexpression of this gene has been shown to increase tumor growth and angiogensis. The adult expression of this gene is restricted to testes and ovaries. Temporal and spatial pattern of this gene expression suggests its function as an embryonic epithelial factor. Studies of the mouse and chick homologs revealed roles in midbrain and limb development, organogenesis, embryo gastrulation and left-right axis determination. The alternative splicing of this gene results in four transcript variants. [provided by RefSeq, Jul 2008] |
| 生物功能 | Plays an important role in the regulation of embryonic development, cell proliferation, cell differentiation and cell migration. Required for normal brain, eye, ear and limb development during embryogenesis. Required for normal development of the gonadotropin-releasing hormone (GnRH) neuronal system. Plays a role in neurite outgrowth in hippocampal cells. [UniProt] |
| 细胞定位 | Secreted. [UniProt] |
| 预测分子量 | 27 kDa |
检测图片 (3) Click the Picture to Zoom In
-
ARG58580 anti-FGF8 antibody IHC-P image
Western blot: Rat ovary tissue lysate stained with ARG58580 anti-FGF8 antibody.
-
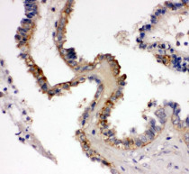
ARG58580 anti-FGF8 antibody IHC-P image
Immunohistochemistry: Paraffin-embedded Human ovarian cancer tissue. Antigen Retrieval: Heat mediation was performed in Citrate buffer (pH 6.0) for 20 min. The tissue section was blocked with 10% goat serum. The tissue section was then stained with ARG58580 anti-FGF8 antibody at 1 µg/ml dilution, overnight at 4°C.
-
ARG58580 anti-FGF8 antibody WB image
Western blot: Rat ovary tissue lysate stained with ARG58580 anti-FGF8 antibody.
