ARG43722
anti-FGF17 antibody
anti-FGF17 antibody for ICC/IF,Western blot and Human,Mouse,Rat
概述
| 产品描述 | Rabbit Polyclonal antibody recognizes FGF17 |
|---|---|
| 反应物种 | Hu, Ms, Rat |
| 应用 | ICC/IF, WB |
| 宿主 | Rabbit |
| 克隆 | Polyclonal |
| 同位型 | IgG |
| 靶点名称 | FGF17 |
| 抗原物种 | Human |
| 抗原 | Recombinant fusion protein within aa. 20-190 of Human FGF17. |
| 偶联标记 | Un-conjugated |
| Protein Full name | Fibroblast growth factor 17 |
| 別名 | FGF-17; HH20; FGF-13; Fibroblast growth factor 17 |
应用说明
| 预测反应性说明 | Rat | ||||||
|---|---|---|---|---|---|---|---|
| 应用建议 |
|
||||||
| 应用说明 | * The dilutions indicate recommended starting dilutions and the optimal dilutions or concentrations should be determined by the scientist. | ||||||
| 实际分子量 | 24 kDa |
属性
| 形式 | Liquid |
|---|---|
| 纯化 | Affinity purified. |
| 缓冲液 | PBS (pH 7.3), 0.02% Sodium azide and 50% Glycerol. |
| 抗菌剂 | 0.02% Sodium azide |
| 稳定剂 | 50% Glycerol |
| 存放说明 | For continuous use, store undiluted antibody at 2-8°C for up to a week. For long-term storage, aliquot and store at -20°C. Storage in frost free freezers is not recommended. Avoid repeated freeze/thaw cycles. Suggest spin the vial prior to opening. The antibody solution should be gently mixed before use. |
| 注意事项 | For laboratory research only, not for drug, diagnostic or other use. |
生物信息
| 数据库连接 | |
|---|---|
| 基因名称 | FGF17 |
| 全名 | fibroblast growth factor 17 |
| 背景介绍 | FGF17 gene encodes a member of the fibroblast growth factor (FGF) family. Member of the FGF family possess broad mitogenic and cell survival activities, and are involved in a variety of biological processes including embryonic development cell growth, morphogenesis, tissue repair, tumor growth and invasion. This protein is expressed during embryogenesis and in the adult cerebellum and cortex and may be essential for vascular growth and normal brain development. Mutations in this gene are the cause of hypogonadotropic hypogonadism 20 with or without anosmia. Alternate splicing results in multiple transcript variants. [provided by RefSeq, Jan 2015] |
| 生物功能 | FGF17 plays an important role in the regulation of embryonic development and as signaling molecule in the induction and patterning of the embryonic brain. Required for normal brain development. [UniProt] |
| 细胞定位 | Secreted. [UniProt] |
| 预测分子量 | 24.8 kDa |
| 翻译后修饰 | Glycoprotein |
检测图片 (3) Click the Picture to Zoom In
-
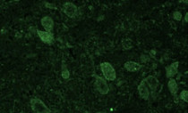
ARG43722 anti-FGF17 antibody IHC-P image
Immunohistochemistry: Paraffin-embedded Mouse brain stained with ARG43722 anti-FGF17 antibody at 1:100 dilution.
-
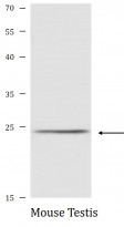
ARG43722 anti-FGF17 antibody WB image
Western blot: 25 µg of Mouse Testis lysate stained with ARG43722 anti-FGF17 antibody at 1:1000 dilution.
-
ARG43722 anti-FGF17 antibody WB image
Western blot: 25 µg of SH-SY5Y cell lysate stained with ARG43722 anti-FGF17 antibody at 1:1000 dilution.
