ARG56716
anti-FGF10 antibody
anti-FGF10 antibody for ELISA,IHC-Formalin-fixed paraffin-embedded sections,Western blot and Human
概述
| 产品描述 | Goat Polyclonal antibody recognizes FGF10 |
|---|---|
| 反应物种 | Hu |
| 应用 | ELISA, IHC-P, WB |
| 宿主 | Goat |
| 克隆 | Polyclonal |
| 同位型 | IgG |
| 靶点名称 | FGF10 |
| 抗原物种 | Human |
| 抗原 | E.coli derived Recombinant Human FGF10. (MLGQDMVSPE ATNSSSSSFS SPSSAGRHVR SYNHLQGDVR WRKLFSFTKY FLKIEKNGKV SGTKKENCPY SILEITSVEI GVVAVKAINS NYYLAMNKKG KLYGSKEFNN DCKLKERIEE NGYNTYASFN WQHNGRQMYV ALNGKGAPRR GQKTRRKNTS AHFLPMVVHS) |
| 偶联标记 | Un-conjugated |
| 別名 | Fibroblast growth factor 10; Keratinocyte growth factor 2; FGF-10 |
应用说明
| 应用建议 |
|
||||||||
|---|---|---|---|---|---|---|---|---|---|
| 应用说明 | * The dilutions indicate recommended starting dilutions and the optimal dilutions or concentrations should be determined by the scientist. |
属性
| 形式 | Liquid |
|---|---|
| 纯化 | Affinity purification with immunogen. |
| 缓冲液 | PBS (pH 7.2) |
| 浓度 | 1 mg/ml |
| 存放说明 | For continuous use, store undiluted antibody at 2-8°C for up to a week. For long-term storage, aliquot and store at -20°C or below. Storage in frost free freezers is not recommended. Avoid repeated freeze/thaw cycles. Suggest spin the vial prior to opening. The antibody solution should be gently mixed before use. |
| 注意事项 | For laboratory research only, not for drug, diagnostic or other use. |
生物信息
| 数据库连接 | |
|---|---|
| 基因名称 | FGF10 |
| 全名 | fibroblast growth factor 10 |
| 背景介绍 | The protein encoded by this gene is a member of the fibroblast growth factor (FGF) family. FGF family members possess broad mitogenic and cell survival activities, and are involved in a variety of biological processes, including embryonic development, cell growth, morphogenesis, tissue repair, tumor growth and invasion. This protein exhibits mitogenic activity for keratinizing epidermal cells, but essentially no activity for fibroblasts, which is similar to the biological activity of FGF7. Studies of the mouse homolog of suggested that this gene is required for embryonic epidermal morphogenesis including brain development, lung morphogenesis, and initiation of lim bud formation. This gene is also implicated to be a primary factor in the process of wound healing. [provided by RefSeq, Jul 2008] |
| 生物功能 | Plays an important role in the regulation of embryonic development, cell proliferation and cell differentiation. Required for normal branching morphogenesis. May play a role in wound healing. [UniProt] |
| 预测分子量 | 23 kDa |
检测图片 (3) Click the Picture to Zoom In
-
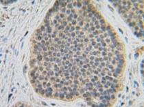
ARG56716 anti-FGF10 antibody IHC-P image
Immunohistochemistry: Formalin-fixed and paraffin-embedded sections of Human carcinoid tissue. The recommended ARG56716 anti-FGF10 antibody concentration is 1.0 µg/ml - 2.5 µg/ml with an overnight iincubation at 4°C. An HRP-labeled polymer detection system was used with a DAB chromogen. Antigen Retrieval: Boil tissue section in Sodium Citrate buffer (pH 6.0) followed by cooling at RT for 20 min.
-
ARG56716 anti-FGF10 antibody IHC-P image
Immunohistochemistry: Formalin-fixed and paraffin-embedded sections of Human carcinoid tissue. The recommended ARG56716 anti-FGF10 antibody concentration is 1.0 µg/ml - 2.5 µg/ml with an overnight iincubation at 4°C. An HRP-labeled polymer detection system was used with a DAB chromogen. Antigen Retrieval: Boil tissue section in Sodium Citrate buffer (pH 6.0) followed by cooling at RT for 20 min.
-
ARG56716 anti-FGF10 antibody IHC-P image
Immunohistochemistry: Formalin-fixed and paraffin-embedded sections of Human carcinoid tissue. The recommended ARG56716 anti-FGF10 antibody concentration is 1.0 µg/ml - 2.5 µg/ml with an overnight iincubation at 4°C. An HRP-labeled polymer detection system was used with a DAB chromogen. Antigen Retrieval: Boil tissue section in Sodium Citrate buffer (pH 6.0) followed by cooling at RT for 20 min.
