ARG43233
anti-FGB / Fibrinogen beta chain antibody [6D12]
anti-FGB / Fibrinogen beta chain antibody [6D12] for IHC-Formalin-fixed paraffin-embedded sections,Western blot and Human
概述
| 产品描述 | Mouse Monoclonal antibody [6D12] recognizes FGB / Fibrinogen beta chain |
|---|---|
| 反应物种 | Hu |
| 应用 | IHC-P, WB |
| 宿主 | Mouse |
| 克隆 | Monoclonal |
| 克隆号 | 6D12 |
| 同位型 | IgG2b |
| 靶点名称 | FGB / Fibrinogen beta chain |
| 抗原物种 | Human |
| 抗原 | Synthetic peptide corresponding to aa. 193-225 of Human FGB / Fibrinogen beta chain. (TNLRVLRSILENLRSKIQKLESDVSAQMEYCRT) |
| 偶联标记 | Un-conjugated |
| 別名 | Fibrinogen beta chain; HEL-S-78p |
应用说明
| 应用建议 |
|
||||||
|---|---|---|---|---|---|---|---|
| 应用说明 | IHC-P: Antigen Retrieval: Heat mediation was performed in EDTA buffer (pH 8.0). * The dilutions indicate recommended starting dilutions and the optimal dilutions or concentrations should be determined by the scientist. |
||||||
| 阳性对照 | HepG2 | ||||||
| 实际分子量 | ~ 55 kDa |
属性
| 形式 | Liquid |
|---|---|
| 纯化 | Affinity purification with immunogen. |
| 缓冲液 | 0.2% Na2HPO4, 0.9% NaCl and 4% Trehalose. |
| 稳定剂 | 4% Trehalose |
| 浓度 | 0.5 mg/ml |
| 存放说明 | For continuous use, store undiluted antibody at 2-8°C for up to a week. For long-term storage, aliquot and store at -20°C or below. Storage in frost free freezers is not recommended. Avoid repeated freeze/thaw cycles. Suggest spin the vial prior to opening. The antibody solution should be gently mixed before use. |
| 注意事项 | For laboratory research only, not for drug, diagnostic or other use. |
生物信息
| 数据库连接 | |
|---|---|
| 基因名称 | FGB |
| 全名 | fibrinogen beta chain |
| 背景介绍 | The protein encoded by this gene is the beta component of fibrinogen, a blood-borne glycoprotein comprised of three pairs of nonidentical polypeptide chains. Following vascular injury, fibrinogen is cleaved by thrombin to form fibrin which is the most abundant component of blood clots. In addition, various cleavage products of fibrinogen and fibrin regulate cell adhesion and spreading, display vasoconstrictor and chemotactic activities, and are mitogens for several cell types. Mutations in this gene lead to several disorders, including afibrinogenemia, dysfibrinogenemia, hypodysfibrinogenemia and thrombotic tendency. Alternatively spliced transcript variants encoding different isoforms have been found for this gene. [provided by RefSeq, Jun 2014] |
| 生物功能 | Cleaved by the protease thrombin to yield monomers which, together with fibrinogen alpha (FGA) and fibrinogen gamma (FGG), polymerize to form an insoluble fibrin matrix. Fibrin has a major function in hemostasis as one of the primary components of blood clots. In addition, functions during the early stages of wound repair to stabilize the lesion and guide cell migration during re-epithelialization. Was originally thought to be essential for platelet aggregation, based on in vitro studies using anticoagulated blood. However subsequent studies have shown that it is not absolutely required for thrombus formation in vivo. Enhances expression of SELP in activated platelets. Maternal fibrinogen is essential for successful pregnancy. Fibrin deposition is also associated with infection, where it protects against IFNG-mediated hemorrhage. May also facilitate the antibacterial immune response via both innate and T-cell mediated pathways. [UniProt] |
| 细胞定位 | Secreted. [UniProt] |
| 预测分子量 | 56 kDa |
| 翻译后修饰 | Conversion of fibrinogen to fibrin is triggered by thrombin, which cleaves fibrinopeptides A and B from alpha and beta chains, and thus exposes the N-terminal polymerization sites responsible for the formation of the soft clot. The soft clot is converted into the hard clot by factor XIIIA which catalyzes the epsilon-(gamma-glutamyl)lysine cross-linking between gamma chains (stronger) and between alpha chains (weaker) of different monomers. [UniProt] |
检测图片 (2) Click the Picture to Zoom In
-
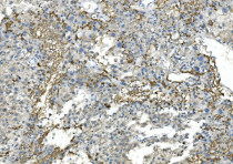
ARG43233 anti-FGB / Fibrinogen beta chain antibody [6D12] IHC-P image
Immunohistochemistry: Paraffin-embedded Human liver cancer tissue. Antigen Retrieval: Heat mediation was performed in EDTA buffer (pH 8.0). The tissue section was blocked with 10% goat serum. The tissue section was then stained with ARG43233 anti-FGB / Fibrinogen beta chain antibody [6D12] at 2 µg/ml dilution, overnight at 4°C.
-
ARG43233 anti-FGB / Fibrinogen beta chain antibody [6D12] WB image
Western blot: 50 µg of sample under reducing conditions. HepG2 whole cell lysates stained with ARG43233 anti-FGB / Fibrinogen beta chain antibody [6D12] at 0.5 µg/ml dilution, overnight at 4°C.
