ARG64070
anti-FEZ1 / Zygin 1 antibody
anti-FEZ1 / Zygin 1 antibody for IHC-Formalin-fixed paraffin-embedded sections,Western blot and Human
Cell Biology and Cellular Response antibody; Neuroscience antibody
概述
| 产品描述 | Goat Polyclonal antibody recognizes FEZ1 / Zygin 1 |
|---|---|
| 反应物种 | Hu |
| 预测物种 | Ms, Rat, Dog |
| 应用 | IHC-P, WB |
| 特异性 | This antibody is expected to recognize isoform 1 (NP_005094.1) only. |
| 宿主 | Goat |
| 克隆 | Polyclonal |
| 同位型 | IgG |
| 靶点名称 | FEZ1 / Zygin 1 |
| 抗原物种 | Human |
| 抗原 | C-QNKQKEQRELMKK |
| 偶联标记 | Un-conjugated |
| 別名 | Fasciculation and elongation protein zeta-1; Zygin-1; Zygin I |
应用说明
| 应用建议 |
|
||||||
|---|---|---|---|---|---|---|---|
| 应用说明 | WB: Recommend incubate at RT for 1h. IHC-P: Antigen Retrieval: Steam tissue section in Citrate buffer (pH 6.0). * The dilutions indicate recommended starting dilutions and the optimal dilutions or concentrations should be determined by the scientist. |
属性
| 形式 | Liquid |
|---|---|
| 纯化 | Purified from goat serum by antigen affinity chromatography. |
| 缓冲液 | Tris saline (pH 7.3), 0.02% Sodium azide and 0.5% BSA. |
| 抗菌剂 | 0.02% Sodium azide |
| 稳定剂 | 0.5% BSA |
| 浓度 | 0.5 mg/ml |
| 存放说明 | For continuous use, store undiluted antibody at 2-8°C for up to a week. For long-term storage, aliquot and store at -20°C or below. Storage in frost free freezers is not recommended. Avoid repeated freeze/thaw cycles. Suggest spin the vial prior to opening. The antibody solution should be gently mixed before use. |
| 注意事项 | For laboratory research only, not for drug, diagnostic or other use. |
生物信息
| 数据库连接 |
Swiss-port # Q99689 Human Fasciculation and elongation protein zeta-1 |
|---|---|
| 背景介绍 | This gene is an ortholog of the C. elegans unc-76 gene, which is necessary for normal axonal bundling and elongation within axon bundles. Expression of this gene in C. elegans unc-76 mutants can restore to the mutants partial locomotion and axonal fasciculation, suggesting that it also functions in axonal outgrowth. The N-terminal half of the gene product is highly acidic. Alternatively spliced transcript variants encoding different isoforms of this protein have been described. [provided by RefSeq, Jul 2008] |
| 研究领域 | Cell Biology and Cellular Response antibody; Neuroscience antibody |
| 预测分子量 | 45 kDa |
| 翻译后修饰 | Phosphorylated by protein kinase C zeta; which enhances interaction with UBE4B and polyubiquitination. Polyubiquitinated in a UBE4B-dependent manner; which does not lead to proteasomal degradation and may be important for neurogenic activity. Polyubiquitin linkage seems to be mainly through Lys-26. |
检测图片 (3) Click the Picture to Zoom In
-
ARG64070 anti-FEZ1 / Zygin 1 antibody WB image
Western Blot: Human Brain (frontal Cortex) lysate (35 µg protein in RIPA buffer) stained with ARG64070 anti-FEZ1 / Zygin 1 antibody at 0.03 µg/ml dilution.
-
ARG64070 anti-FEZ1 / Zygin 1 antibody IHC-P image
Immunohistochemistry: Paraffin-embedded Human colon tissue. Antigen Retrieval: Steam tissue section in Citrate buffer (pH 6.0). The tissue section was stained with ARG64070 anti-FEZ1 / Zygin 1 antibody at 5 µg/ml dilution followed by AP-staining.
-
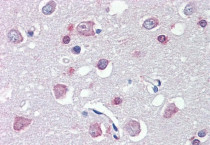
ARG64070 anti-FEZ1 / Zygin 1 antibody IHC-P image
Immunohistochemistry: Paraffin-embedded Human cortex tissue. Antigen Retrieval: Steam tissue section in Citrate buffer (pH 6.0). The tissue section was stained with ARG64070 anti-FEZ1 / Zygin 1 antibody at 5 µg/ml dilution followed by AP-staining.
