ARG63358
anti-FBXW2 antibody
anti-FBXW2 antibody for IHC-Formalin-fixed paraffin-embedded sections,Western blot and Human,Mouse,Rat
Cell Biology and Cellular Response antibody
概述
| 产品描述 | Goat Polyclonal antibody recognizes FBXW2 |
|---|---|
| 反应物种 | Hu, Ms, Rat |
| 预测物种 | Cow, Dog, Pig |
| 应用 | IHC-P, WB |
| 宿主 | Goat |
| 克隆 | Polyclonal |
| 同位型 | IgG |
| 靶点名称 | FBXW2 |
| 抗原物种 | Human |
| 抗原 | C-KRGSSFLAGEHPG |
| 偶联标记 | Un-conjugated |
| 別名 | FBW2; Protein MD6; Fwd2; F-box/WD repeat-containing protein 2; Md6; F-box and WD-40 domain-containing protein 2 |
应用说明
| 应用建议 |
|
||||||
|---|---|---|---|---|---|---|---|
| 应用说明 | IHC-P: Antigen Retrieval: Microwaved tissue section in Citrate buffer (pH 6.0). WB: Recommend incubate at RT for 1h. * The dilutions indicate recommended starting dilutions and the optimal dilutions or concentrations should be determined by the scientist. |
属性
| 形式 | Liquid |
|---|---|
| 纯化 | Purified from goat serum by antigen affinity chromatography. |
| 缓冲液 | Tris saline (pH 7.3), 0.02% Sodium azide and 0.5% BSA. |
| 抗菌剂 | 0.02% Sodium azide |
| 稳定剂 | 0.5% BSA |
| 浓度 | 0.5 mg/ml |
| 存放说明 | For continuous use, store undiluted antibody at 2-8°C for up to a week. For long-term storage, aliquot and store at -20°C or below. Storage in frost free freezers is not recommended. Avoid repeated freeze/thaw cycles. Suggest spin the vial prior to opening. The antibody solution should be gently mixed before use. |
| 注意事项 | For laboratory research only, not for drug, diagnostic or other use. |
生物信息
| 数据库连接 |
Swiss-port # B2RZ17 Rat F-box/WD repeat-containing protein 2 Swiss-port # Q9UKT8 Human F-box/WD repeat-containing protein 2 |
|---|---|
| 背景介绍 | F-box proteins are an expanding family of eukaryotic proteins characterized by an approximately 40 amino acid motif, the F box. Some F-box proteins have been shown to be critical for the ubiquitin-mediated degradation of cellular regulatory proteins. In fact, F-box proteins are one of the four subunits of ubiquitin protein ligases, called SCFs. SCF ligases bring ubiquitin conjugating enzymes to substrates that are specifically recruited by the different F-box proteins. Mammalian F-box proteins are classified into three groups based on the presence of either WD-40 repeats, leucine-rich repeats, or the presence or absence of other protein-protein interacting domains. This gene encodes the second identified member of the F-box gene family and contains multiple WD-40 repeats. [provided by RefSeq, Jul 2008] |
| 研究领域 | Cell Biology and Cellular Response antibody |
| 预测分子量 | 52 kDa |
检测图片 (2) Click the Picture to Zoom In
-
ARG63358 anti-FBXW2 antibody WB image
Western Blot: Human Kidney lysate (RIPA buffer, 30µg total protein per lane) stained with ARG63358 anti-FBXW2 antibody at 0.3 µg/ml dilution.
-
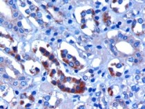
ARG63358 anti-FBXW2 antibody IHC-P image
Immunohistochemistry: paraffin embedded Human Kidney. (Microwaved antigen retrieval with citrate buffer pH 6) stained with ARG63358 anti-FBXW2 antibody at 3 µg/ml dilution followed by HRP-staining.
