ARG45885
anti-FBXO21 antibody
anti-FBXO21 antibody for Western blot,IHC-Formalin-fixed paraffin-embedded sections,Flow cytometry and Human,Mouse,Rat
概述
| 产品描述 | Rabbit Polyclonal antibody recognizes FBXO21 |
|---|---|
| 反应物种 | Hu, Ms, Rat |
| 应用 | FACS, IHC-P, WB |
| 宿主 | Rabbit |
| 克隆 | Polyclonal |
| 同位型 | IgG |
| 靶点名称 | FBXO21 |
| 抗原物种 | Human |
| 抗原 | Recombinant protein containing to human FBXO21. |
| 偶联标记 | Un-conjugated |
| 別名 | F-Box Protein 21; FBXO21; FBX21; KIAA0875; F-box only protein 21 |
应用说明
| 应用建议 |
|
||||||||
|---|---|---|---|---|---|---|---|---|---|
| 应用说明 | * The dilutions indicate recommended starting dilutions and the optimal dilutions or concentrations should be determined by the scientist. | ||||||||
| 实际分子量 | 72 kDa |
属性
| 形式 | Liquid |
|---|---|
| 纯化 | Affinity chromatography purified |
| 缓冲液 | 0.2% Na2HPO4, 0.9% NaCl and 4% Trehalose. |
| 稳定剂 | 4% Trehalose |
| 浓度 | 0.5 mg/ml |
| 存放说明 | For continuous use, store undiluted antibody at 2-8°C for up to a week. For long-term storage, aliquot and store at -22°C or below. Storage in frost free freezers is not recommended. Avoid repeated freeze/thaw cycles. Suggest spin the vial prior to opening. The antibody solution should be gently mixed before use. |
| 注意事项 | For laboratory research only, not for drug, diagnostic or other use. |
生物信息
| 数据库连接 | |
|---|---|
| 基因名称 | FBXO21 |
| 全名 | F-Box Protein 21 |
| 背景介绍 | This gene encodes a member of the F-box protein family which is characterized by an approximately 40 amino acid motif, the F-box. The F-box proteins constitute one of the four subunits of ubiquitin protein ligase complex called SCFs (SKP1-cullin-F-box), which function in phosphorylation-dependent ubiquitination. The F-box proteins are divided into 3 classes: Fbws containing WD-40 domains, Fbls containing leucine-rich repeats, and Fbxs containing either different protein-protein interaction modules or no recognizable motifs. The protein encoded by this gene belongs to the Fbxs class. Alternative splicing of this gene generates 2 transcript variants. [provided by RefSeq, Jul 2008] |
| 生物功能 | Substrate-recognition component of the SCF (SKP1-CUL1-F-box protein)-type E3 ubiquitin ligase complex. [UniProt] |
| 细胞定位 | Cytosol. [UniProt] |
| 预测分子量 | 72 kDa |
检测图片 (5) Click the Picture to Zoom In
-
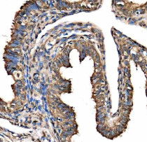
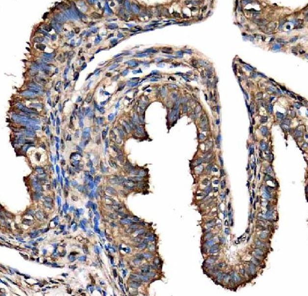
ARG45885 anti-FBXO21 antibody IHC-P image
Immunohistochemistry: Human fallopian tube stained with ARG45885 anti-FBXO21 antibody at 2 μg/ml dilution.
-
ARG45885 anti-FBXO21 antibody WB image
Western blot: MCF-7 stained with ARG45885 anti-FBXO21 antibody at 0.5 μg/ml dilution.
-
ARG45885 anti-FBXO21 antibody FACS image
Flow Cytometry: HepG2 stained with ARG45885 anti-FBXO21 antibody at 1 µg/10^6 cells dilution.
-
ARG45885 anti-FBXO21 antibody WB image
Western blot: Rat brain stained with ARG45885 anti-FBXO21 antibody at 0.5 μg/ml dilution.
-
ARG45885 anti-FBXO21 antibody WB image
Western blot: Mouse ovary stained with ARG45885 anti-FBXO21 antibody at 0.5 μg/ml dilution.
