ARG45274
anti-FATP3 antibody
anti-FATP3 antibody for IHC-Formalin-fixed paraffin-embedded sections,Western blot and Human,Mouse
概述
| 产品描述 | Polyclonal antibody recognizes FATP3 |
|---|---|
| 反应物种 | Hu, Ms |
| 应用 | IHC-P, WB |
| 宿主 | Rabbit |
| 克隆 | Polyclonal |
| 同位型 | IgG |
| 靶点名称 | FATP3 |
| 抗原物种 | Human |
| 抗原 | Recombinant protein containing to human FATP3. |
| 偶联标记 | Un-conjugated |
| 別名 | SLC27A3; Solute Carrier Family 27 Member 3; ACSVL3; FATP3; Solute Carrier Family 27 (Fatty Acid Transporter), Member 3; Very Long-Chain Acyl-CoA Synthetase Homolog 3; Long-Chain Fatty Acid Transport Protein 3; Long-Chain-Fatty-Acid--CoA Ligase; Arachidonate--CoA Ligase; MGC4365; VLCS-3; Fatty Acid Transport Protein 3; EC 6.2.1.15; EC 6.2.1.3; EC 6.2.1.-; EC 6.2.1.7 47; EC 6.2.1 47; FATP-3 |
应用说明
| 应用建议 |
|
||||||
|---|---|---|---|---|---|---|---|
| 应用说明 | * The dilutions indicate recommended starting dilutions and the optimal dilutions or concentrations should be determined by the scientist. | ||||||
| 实际分子量 | 70-79 kDa |
属性
| 形式 | Liquid |
|---|---|
| 纯化 | Affinity purification with immunogen. |
| 缓冲液 | 0.2% Na2HPO4, 0.9% NaCl and 4% Trehalose. |
| 稳定剂 | 4% Trehalose |
| 浓度 | 0.5 mg/ml |
| 存放说明 | For continuous use, store undiluted antibody at 2-8°C for up to a week. For long-term storage, aliquot and store at -20°C or below. Storage in frost free freezers is not recommended. Avoid repeated freeze/thaw cycles. Suggest spin the vial prior to opening. The antibody solution should be gently mixed before use. |
| 注意事项 | For laboratory research only, not for drug, diagnostic or other use. |
生物信息
| 数据库连接 |
Swiss-port # O88561 Mouse Long-chain fatty acid transport protein 3 Swiss-port # Q5K4L6 Human Long-chain fatty acid transport protein 3 |
|---|---|
| 基因名称 | SLC27A3 |
| 全名 | Solute Carrier Family 27 Member 3 |
| 背景介绍 | This gene belongs to a family of integral membrane proteins and encodes a protein that is involved in lipid metabolism. The increased expression of this gene in human neural stem cells derived from induced pluripotent stem cells suggests that it plays an important role in early brain development. Naturally occurring mutations in this gene are associated with autism spectrum disorders. Alternative splicing results in multiple transcript variants. [provided by RefSeq, Feb 2017] |
| 生物功能 | Mainly functions as an acyl-CoA ligase catalyzing the ATP-dependent formation of fatty acyl-CoA using LCFA and very-long-chain fatty acids (VLCFA) as substrates. [UniProt] |
| 细胞定位 | Mitochondrion inner membrane [UniProt] |
| 预测分子量 | 74 kDa |
检测图片 (3) Click the Picture to Zoom In
-
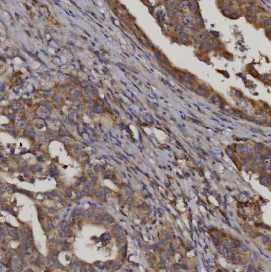
ARG45274 anti-FATP3 antibody IHC-P image
Immunohistochemistry: Human colorectal adenocarcinoma stained with ARG45274 anti-FATP3 antibody at 2 μg/ml dilution.
-
ARG45274 anti-FATP3 antibody WB image
Western blot: MCF-7 and Hacat stained with ARG45274 anti-FATP3 antibody at 0.5 μg/ml dilution.
-
ARG45274 anti-FATP3 antibody WB image
Western blot: NIH/3T3 stained with ARG45274 anti-FATP3 antibody at 0.5 μg/ml dilution.
