ARG45482
anti-FAM40B antibody
anti-FAM40B antibody for Flow cytometry,IHC-Formalin-fixed paraffin-embedded sections,Western blot and Human,Mouse,Rat
概述
| 产品描述 | Rabbit Polyclonal antibody recognizes FAM40B |
|---|---|
| 反应物种 | Hu, Ms, Rat |
| 应用 | FACS, IHC-P, WB |
| 宿主 | Rabbit |
| 克隆 | Polyclonal |
| 同位型 | IgG |
| 靶点名称 | FAM40B |
| 抗原物种 | Human |
| 抗原 | Recombinant protein containing to human FAM40B. |
| 偶联标记 | Un-conjugated |
| 別名 | STRIP2; Striatin Interacting Protein 2; KIAA1170; FAR11B; FAM40B; Family With Sequence Similarity 40, Member B; Striatin-Interacting Protein 2; Protein FAM40B; FAR11 Factor Arrest 11 Homolog B (Yeast); FAR11 Factor Arrest 11 Homolog B; Homolog Of Yeast FAR11 Protein 2 |
应用说明
| 应用建议 |
|
||||||||
|---|---|---|---|---|---|---|---|---|---|
| 应用说明 | * The dilutions indicate recommended starting dilutions and the optimal dilutions or concentrations should be determined by the scientist. | ||||||||
| 实际分子量 | 100 kDa |
属性
| 形式 | Liquid |
|---|---|
| 纯化 | Affinity purified |
| 缓冲液 | 0.2% Na2HPO4, 0.9% NaCl and 4% Trehalose. |
| 稳定剂 | 4% Trehalose |
| 浓度 | 0.5 mg/ml |
| 存放说明 | For continuous use, store undiluted antibody at 2-8°C for up to a week. For long-term storage, aliquot and store at -20°C or below. Storage in frost free freezers is not recommended. Avoid repeated freeze/thaw cycles. Suggest spin the vial prior to opening. The antibody solution should be gently mixed before use. |
| 注意事项 | For laboratory research only, not for drug, diagnostic or other use. |
生物信息
| 数据库连接 | |
|---|---|
| 基因名称 | STRIP2 |
| 全名 | Striatin Interacting Protein 2 |
| 背景介绍 | Involved in cell migration; cytoskeleton organization; and regulation of cell shape. Located in cytosol. Part of FAR/SIN/STRIPAK complex. [provided by Alliance of Genome Resources, Feb 2025] |
| 生物功能 | Plays a role in the regulation of cell morphology and cytoskeletal organization. Required in the control of cell shape [UniProt] |
| 细胞定位 | Cytoplasm. [UniProt] |
| 预测分子量 | 95 kDa |
| 翻译后修饰 | Phosphoprotein. [UniProt] |
检测图片 (6) Click the Picture to Zoom In
-
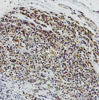
ARG45482 anti-FAM40B antibody IHC-P image
Immunohistochemistry: Human breast cancer stained with ARG45482 anti-FAM40B antibody at 2 μg/ml dilution.
-
ARG45482 anti-FAM40B antibody WB image
Western blot: K562 stained with ARG45482 anti-FAM40B antibody at 0.5 μg/ml dilution.
-
ARG45482 anti-FAM40B antibody FACS image
Flow Cytometry: U87 stained with ARG45482 anti-FAM40B antibody at 1 µg/10^6 cells dilution.
-
ARG45482 anti-FAM40B antibody IHC-P image
Immunohistochemistry: Rat cerebellum stained with ARG45482 anti-FAM40B antibody at 2 μg/ml dilution.
-
ARG45482 anti-FAM40B antibody WB image
Western blot: Rat testis stained with ARG45482 anti-FAM40B antibody at 0.5 μg/ml dilution.
-
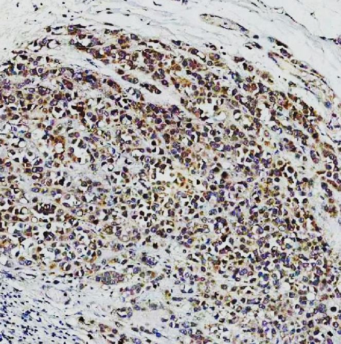
ARG45482 anti-FAM40B antibody IHC-P image
Immunohistochemistry: Mouse cerebellum stained with ARG45482 anti-FAM40B antibody at 2 μg/ml dilution.
